症例詳細
Case detail
前歯を綺麗にしたい e-maxクラウンでの修復
治療症例の内容
- 診療科目
- 治療カテゴリ
- 担当医
- 岡田康成(ドクタープロフィール)
- 患者様
- 30代男性
- 治療期間
- 1ヶ月
- 治療回数
- 2-5回
- 治療計画
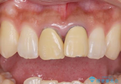
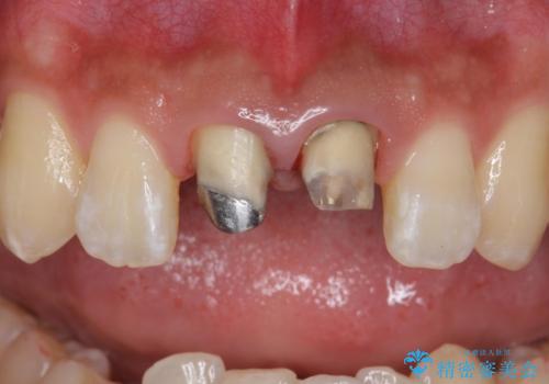
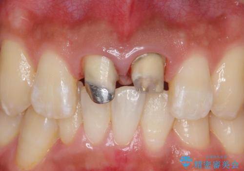
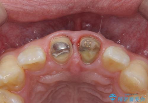
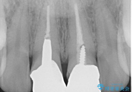
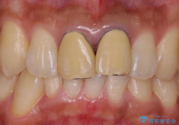
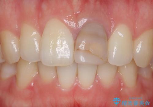
- 前歯のかぶせ物の変色を主訴に来院された患者様です。
根管治療からのやり直しはご希望されませんでした。
今回はe-maxクラウンで修復していきます。
- 費用(概算)
- 仮歯:11,000円×2本 / e-maxクラウン:77,000円 合計176,000円費用は治療当時の料金となります
治療について
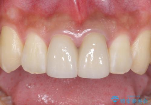
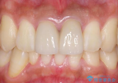
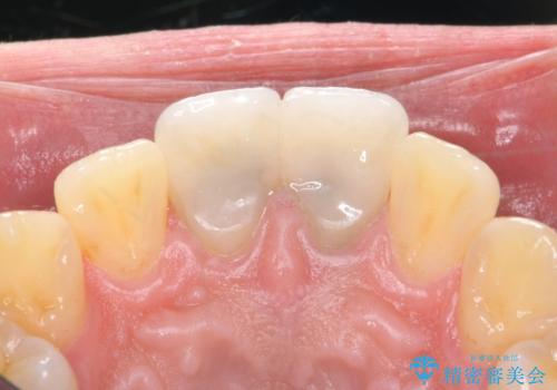
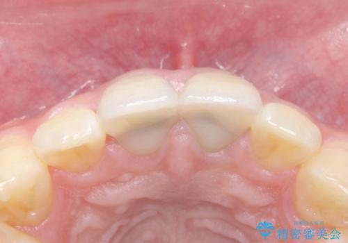
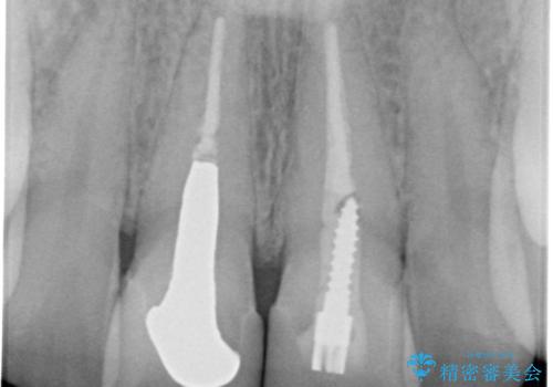
歯のガタつきも解消することができました。
e-maxクラウンでは仮着ができませんが、今回は一回でご満足いただける修復ができました。
セラミック治療の注意事項(リスク・副作用など)
- 天然歯を削ります
- 硬い素材は天然歯を傷つけてしまう場合があります
- かみ合わせや歯ぎしりが強すぎる方はセラミックが割れてしまう可能性があります
- 自費診療(保険適用外治療)となります
当サイトの内容、テキスト、画像等の無断転載、複製、複写、盗用を固く禁じます。














