症例詳細
Case detail
ラミネートべニアが取れた ジルコニアクラウンでの修復
治療症例の内容
- 診療科目
- 治療カテゴリ
- 担当医
- 岡田康成(ドクタープロフィール)
- 患者様
- 40代女性
- 治療期間
- 2ヶ月
- 治療回数
- 2-5回
- 治療計画
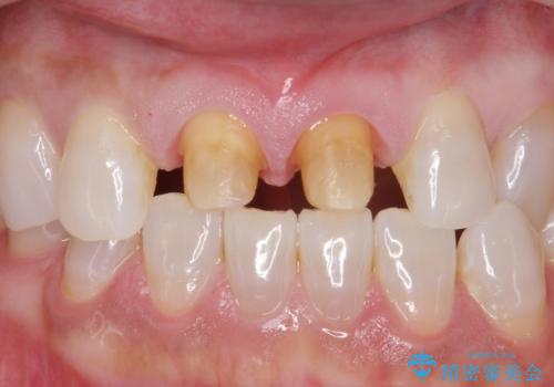
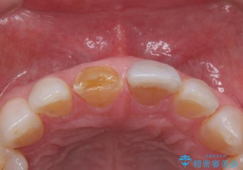
- 前歯につけていたべニアが取れたとのことで来院された患者様です。
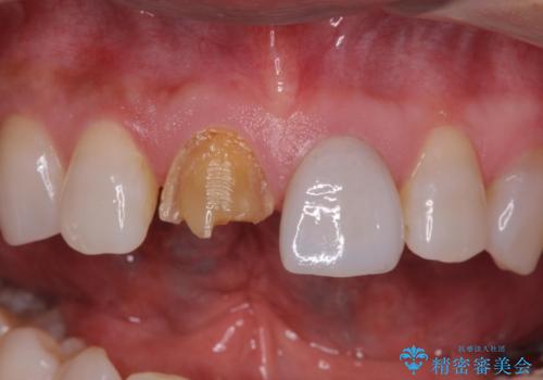
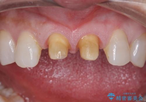
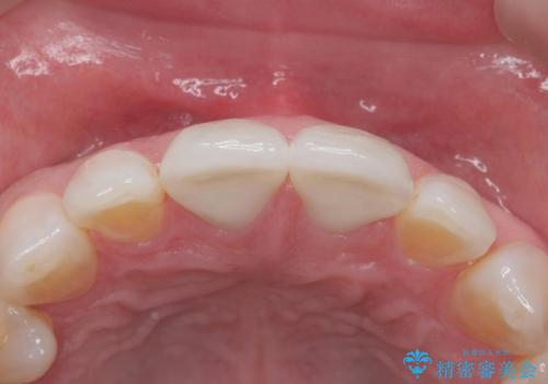
より脱離リスクの低いクラウンでの修復を行います。
- 費用(概算)
- 右上1左上1 : 仮歯/11,000円×2、ジルコニアクラウン(スペシャル)/154,000円×2 合計330,000円(税込)費用は治療当時の料金となります
治療について
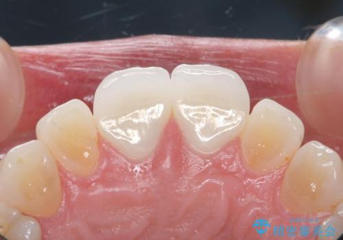
取れていない方のべニアも周囲の歯と色調が合っていなかったため、一緒にやり替えました。
脱離リスクを抑えつつ、審美性も確保できたことで大変喜んでいただけました。
セラミック治療の注意事項(リスク・副作用など)
- 天然歯を削ります
- 硬い素材は天然歯を傷つけてしまう場合があります
- かみ合わせや歯ぎしりが強すぎる方はセラミックが割れてしまう可能性があります
- 自費診療(保険適用外治療)となります
当サイトの内容、テキスト、画像等の無断転載、複製、複写、盗用を固く禁じます。














