症例詳細
Case detail
前歯が暗く変色 ジルコニアクラウンでの修復
治療症例の内容
- 診療科目
- 治療カテゴリ
- 担当医
- 岡田康成(ドクタープロフィール)
- 患者様
- 20代女性
- 治療期間
- 1ヶ月
- 治療回数
- 2-5回
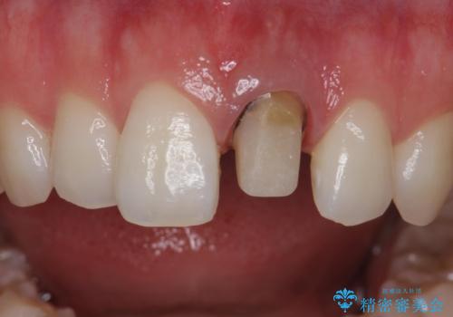
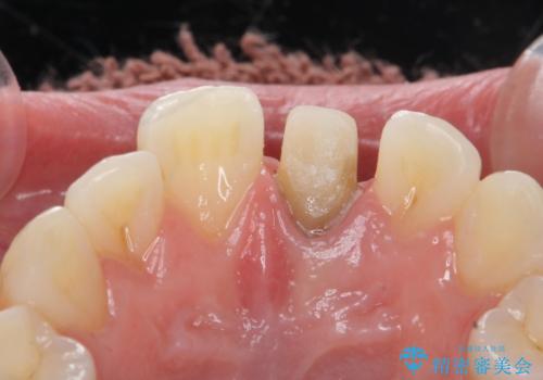
- 治療計画
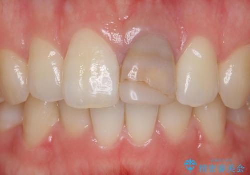
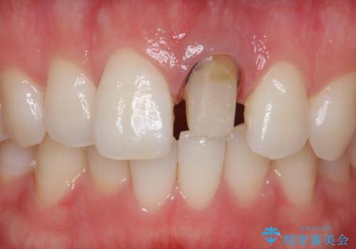
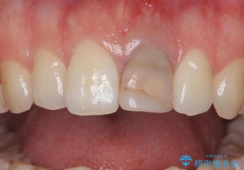
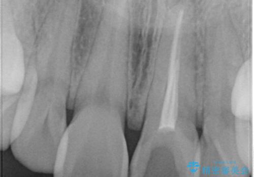
- 前歯の変色を主訴に来院された患者様です。
より審美的な修復を行いたいとのことであったため、ジルコニアクラウンでの修復を行います。
- 費用(概算)
- 左上1 : 仮歯 / 11,000円、ジルコニアクラウン(スペシャル) / 154,000円 合計165,000円(税込)費用は治療当時の料金となります
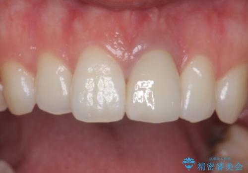
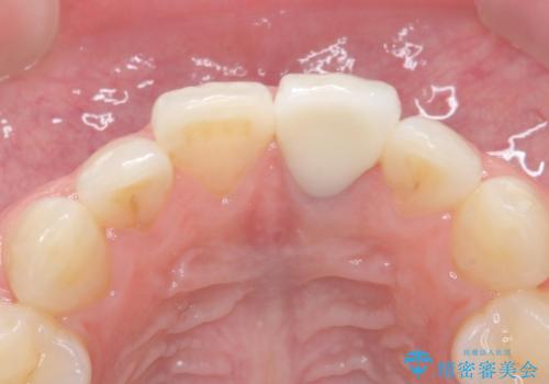
治療について
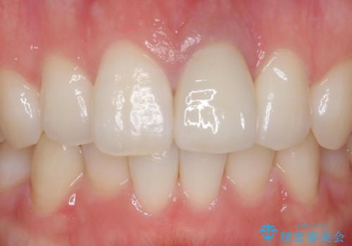
周囲の歯との色調に調和した審美的なクラウンを装着することができました。
歯茎の状態も良く、とても良い仕上がりになりました。
セラミック治療の注意事項(リスク・副作用など)
- 天然歯を削ります
- 硬い素材は天然歯を傷つけてしまう場合があります
- かみ合わせや歯ぎしりが強すぎる方はセラミックが割れてしまう可能性があります
- 自費診療(保険適用外治療)となります
当サイトの内容、テキスト、画像等の無断転載、複製、複写、盗用を固く禁じます。











