症例詳細
Case detail
変色した前歯を治したい。ジルコニアクラウンでの修復
治療症例の内容
- 診療科目
- 治療カテゴリ
- 担当医
- 岡田康成(ドクタープロフィール)
- 患者様
- 40代女性
- 治療期間
- 1ヶ月
- 治療回数
- 2-5回
- 治療計画
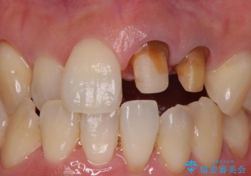
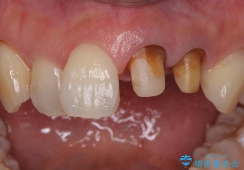
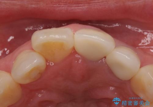
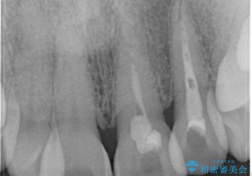
- 前歯の変色を主訴に来院された患者様です。
再根管治療からのやり直しも提案しましたが、特にご希望されなかったためクラウンでの修復処置のみ行います。
- 費用(概算)
- 左上12 : 仮歯 / 11,000円×2、ジルコニアクラウン(スタンダード) / 121,000円×2 合計264,000円費用は治療当時の料金となります
治療について
歯は根管治療が終了して時間が経つとだんだん茶色く変色していきます。
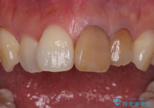
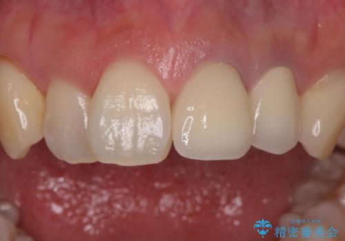
色調はクラウン修復により改善され、歯並びも術前より改善されたことで大変喜んでいただけました。
セラミック治療の注意事項(リスク・副作用など)
- 天然歯を削ります
- 硬い素材は天然歯を傷つけてしまう場合があります
- かみ合わせや歯ぎしりが強すぎる方はセラミックが割れてしまう可能性があります
- 自費診療(保険適用外治療)となります
当サイトの内容、テキスト、画像等の無断転載、複製、複写、盗用を固く禁じます。













