症例詳細
Case detail
保険の白い詰め物が割れた ハイブリッドインレー
治療症例の内容
- 診療科目
- 治療カテゴリ
- 担当医
- 有澤哲郎(ドクタープロフィール)
- 患者様
- 20代女性
- 治療期間
- 1ヶ月
- 治療回数
- 2-5回
- 治療計画
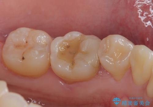
- 他院で保険の詰め物を行い、割れたためやり替えたいとのことで来院された患者様です。
セラミックの詰め物(セラミックインレー)とセラミックにプラスチックを混ぜた詰め物(ハイブリッドインレー)の二種類のメリット、デメリットを説明したうえで、患者様のご希望でハイブリッドインレーで治療をしていくことになりました。
拡大鏡視野下で、保険の詰め物、虫歯の除去を行い、ハイブリッドインレーに適した形に整えました。
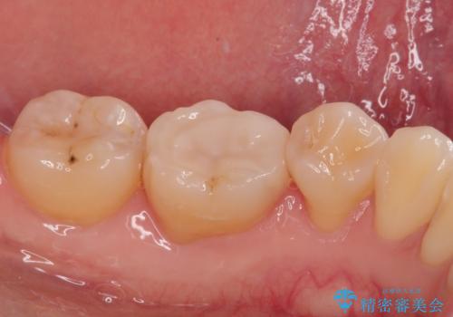
歯と歯茎の間に圧排糸と言われる糸を入れてシリコーン印象材にて型どりをしました。
ハイブリッドインレーの装着時には、唾液の侵入を防ぐために、ラバーダム防湿を行いました。
- 費用(概算)
- 6万円(税込み)費用は治療当時の料金となります
治療について
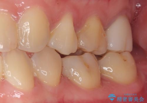
治療後、特に異常もなく見た目、噛み合わせともに満足していただけました。
ラバーダム防湿を行い、セラミックの接着をすることで、唾液や血液などの接着阻害因子を排除することができます。
今後は矯正後の後戻りのチェックとメインテナンスで通院してもらう予定です。
セラミック治療の注意事項(リスク・副作用など)
- 天然歯を削ります
- 硬い素材は天然歯を傷つけてしまう場合があります
- かみ合わせや歯ぎしりが強すぎる方はセラミックが割れてしまう可能性があります
- 自費診療(保険適用外治療)となります
当サイトの内容、テキスト、画像等の無断転載、複製、複写、盗用を固く禁じます。









