症例詳細
Case detail
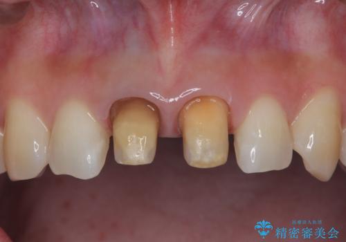
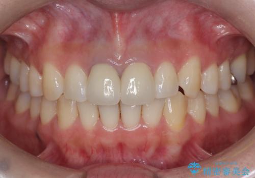
セラミッククラウンで前歯の変色を改善
治療症例の内容
- 診療科目
- 治療カテゴリ
- 担当医
- 患者様
- 30代女性
- 治療期間
- 4ヶ月
- 治療回数
- 5-10回
- 治療計画
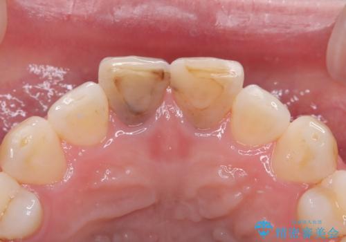
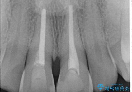
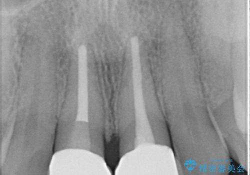
- 前歯の変色が気になるというご相談をいただき、セラミッククラウンによる治療を行いました。
- 費用(概算)
- 33万円費用は治療当時の料金となります
治療について
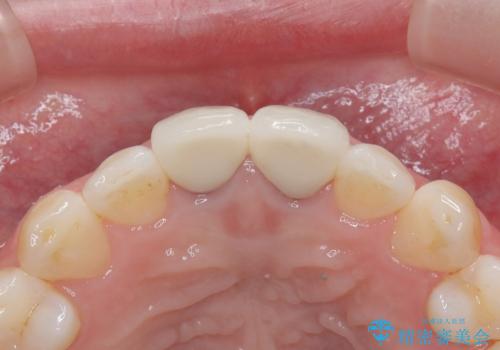
セラミッククラウンによって前歯の変色が改善され、また歯の形も希望の形態へ修正しました。
セラミック治療の注意事項(リスク・副作用など)
- 天然歯を削ります
- 硬い素材は天然歯を傷つけてしまう場合があります
- かみ合わせや歯ぎしりが強すぎる方はセラミックが割れてしまう可能性があります
- 自費診療(保険適用外治療)となります
当サイトの内容、テキスト、画像等の無断転載、複製、複写、盗用を固く禁じます。










