症例詳細
Case detail
【オールセラミッククラウン】食事をしていたら歯が欠けた!
治療症例の内容
- 診療科目
- 治療カテゴリ
- 担当医
- 河野豊嘉(ドクタープロフィール)
- 患者様
- 40代男性
- 治療期間
- 治療回数
- 2-5回
- 治療計画
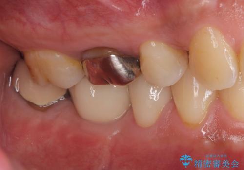
- 「食事をしていたら歯が欠けた」を主訴に来院された患者様です。
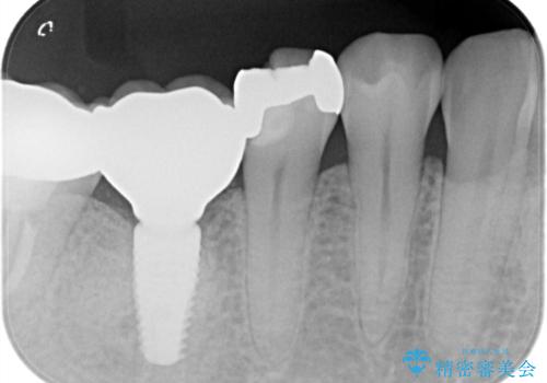
メタルインレーが入っており、インレーとの境の歯質が欠けている状態でした。
不幸中の幸いで欠けているところが根っこよりも上だったため、オールセラミッククラウンで治療を行いました。
銀歯を除去後、やはり銀歯の下は虫歯になっていましたので、虫歯を除去した後にオールセラミッククラウンで被せました。
- 費用(概算)
- 税込132,000円(オールセラミッククラウン.スタンダード121,000円+仮歯11,000円)費用は治療当時の料金となります
治療について
MOD窩洞のインレーは破折強度が弱くたびたび今回の症例のように歯が欠けてしまうケースがあります。破折ラインが歯根までいっていると抜歯となってしまう場合もあります。
破折から歯を守る為にはインレーよりもクラウンの方が優れています。
セラミック治療の注意事項(リスク・副作用など)
- 天然歯を削ります
- 硬い素材は天然歯を傷つけてしまう場合があります
- かみ合わせや歯ぎしりが強すぎる方はセラミックが割れてしまう可能性があります
- 自費診療(保険適用外治療)となります
当サイトの内容、テキスト、画像等の無断転載、複製、複写、盗用を固く禁じます。







