症例詳細
Case detail
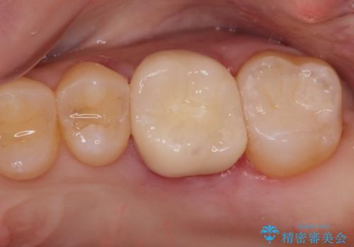
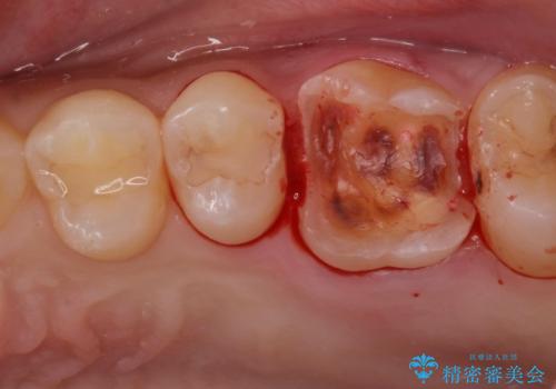
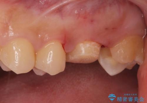
金の詰め物の中にある虫歯を除去してセラミック治療
治療症例の内容
- 診療科目
- 担当医
- 青山卓弘(ドクタープロフィール)
- 患者様
- 20代女性
- 治療期間
- 1ヶ月
- 治療回数
- 2-5回
- 治療計画
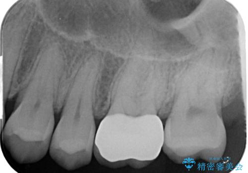
- 金の詰め物の中が黒く透けていて虫歯があるので拡大鏡下で外し、虫歯がない事を確認した後、被せ物で治療しました。
一番奥の歯は古い樹脂の治療の後がありましたのでセラミックの詰め物で治療しました。
- 費用(概算)
- ジルコニアクラウンスタンダード・仮歯 12.1万円 e-maxインレー 7.7万円費用は治療当時の料金となります
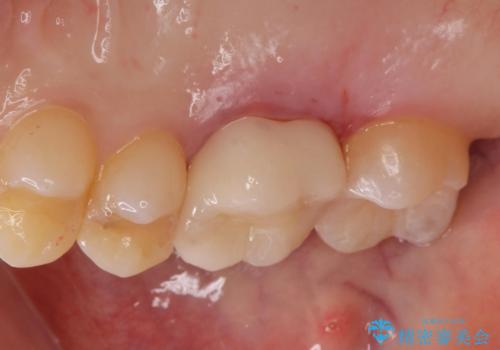
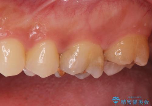
治療について
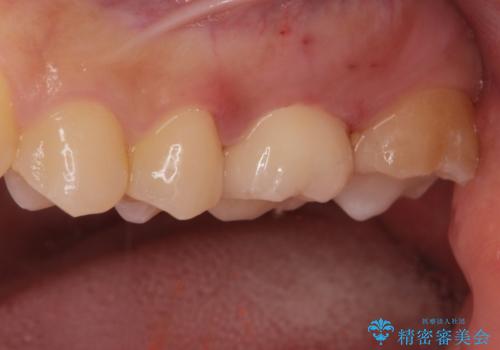
適合の良いクラウン、詰め物が入りました。
適合が良いことで虫歯の再発のリスクが低くなります。
その他の注意事項(リスク・副作用など)
- 担当歯科医師、歯科衛生士又は医院スタッフから受けた説明・注意事項をよくご確認ください
- 医療を提供するに当たり、適切な説明を行い、患者様の十分な理解を得るよう努めております
セラミック治療の注意事項(リスク・副作用など)
- 天然歯を削ります
- 硬い素材は天然歯を傷つけてしまう場合があります
- かみ合わせや歯ぎしりが強すぎる方はセラミックが割れてしまう可能性があります
- 自費診療(保険適用外治療)となります
当サイトの内容、テキスト、画像等の無断転載、複製、複写、盗用を固く禁じます。











