症例詳細
Case detail
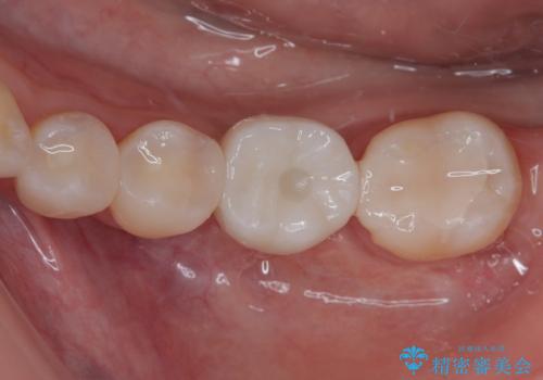
銀歯を白くしたい セラミックインレー修復
治療症例の内容
- 診療科目
- 治療カテゴリ
- 担当医
- 齋藤佑磨(ドクタープロフィール)
- 患者様
- 20代男性
- 治療期間
- 1ヶ月
- 治療回数
- 2-5回
- 治療計画
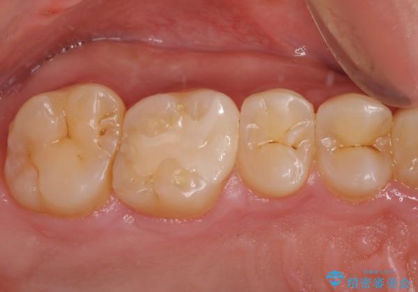
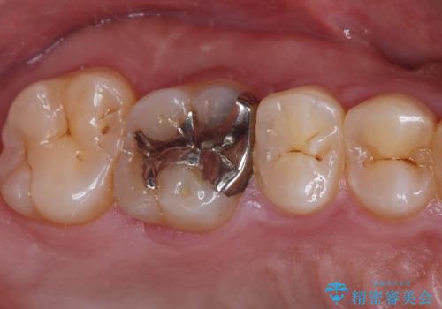
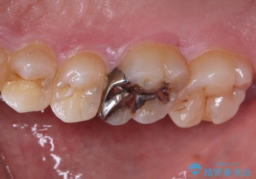
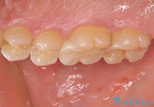
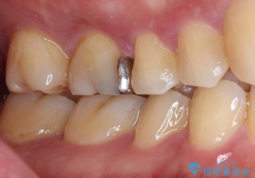
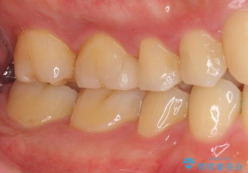
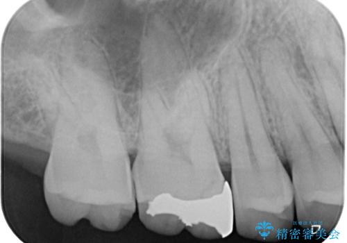
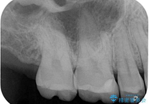
- 保険診療で治療した銀歯のやり替え希望の患者様です。
 銀歯とその下の虫歯を除去し、形を整え、精度の良いシリコーンによる型どりを行いました。
 セラミックインレーを接着する際は、ラバーダム防湿を行いました。
- 費用(概算)
- 9万円(税込)費用は治療当時の料金となります
治療について
精度の高い詰め物は、二次う蝕になりにくいです。
セラミック治療の注意事項(リスク・副作用など)
- 天然歯を削ります
- 硬い素材は天然歯を傷つけてしまう場合があります
- かみ合わせや歯ぎしりが強すぎる方はセラミックが割れてしまう可能性があります
- 自費診療(保険適用外治療)となります
当サイトの内容、テキスト、画像等の無断転載、複製、複写、盗用を固く禁じます。








 
                       
                                                          








 
                   
                   
                  