症例詳細
Case detail
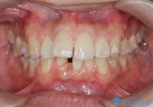
マウスピース矯正で前歯の角度、ガタガタをきれいに
治療症例の内容
- 診療科目
- 治療カテゴリ
- 担当医
- 大元洋佑(ドクタープロフィール)
- 患者様
- 20代男性
- 矯正装置
- インビザライン
- 治療期間
- 1年6ヶ月
- 治療回数
- 10-30回
- 治療計画
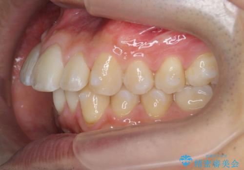
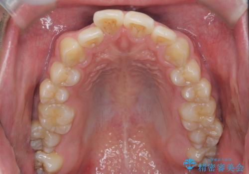
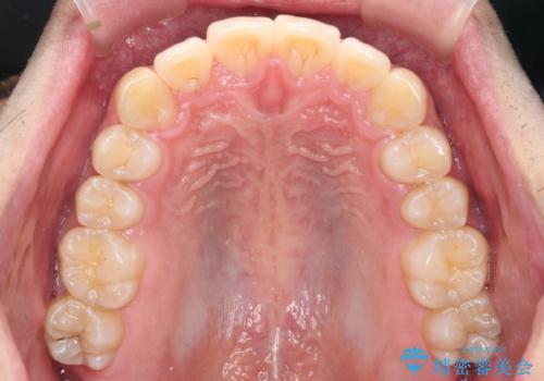
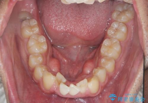
- 突き出た前歯の角度、歯ブラシのしづらい前歯のがたつきの改善を希望され来院されました。
4本の小臼歯を抜きワイヤー矯正治療、下顎前歯を1本抜去しマウスピース治療のメリットデメリットを検討・相談し、より歯を抜く本数の少ないマウスピース矯正を行うこととなりました。
- 費用(概算)
- 99万円費用は治療当時の料金となります
治療について
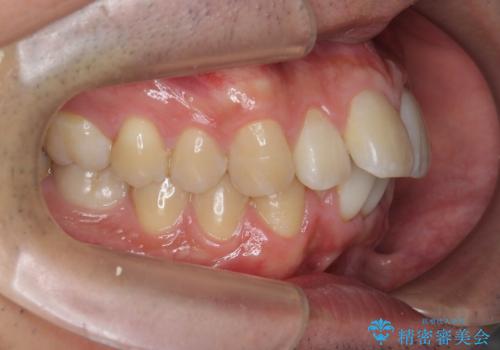
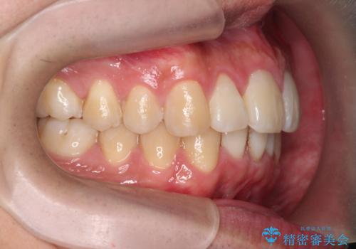
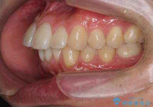
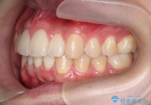
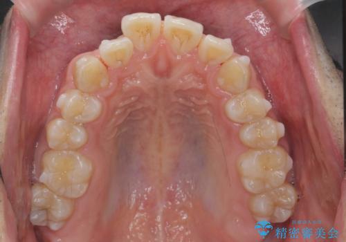
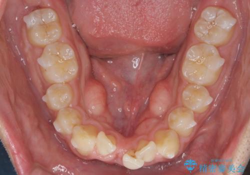
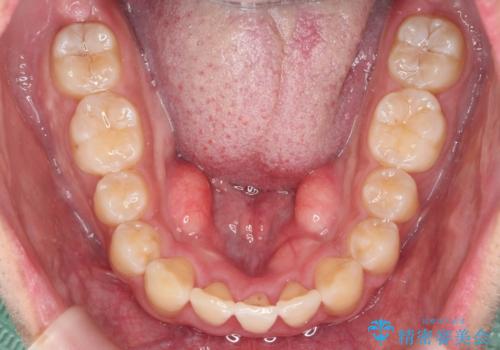
下顎の前歯は1本だけ抜去せざるをえませんでしたが、4本の小臼歯抜去とマルチブラケット矯正を回避することができ、治療結果・過程に満足いただくことができました。
マウスピース矯正の注意事項(リスク・副作用など)
- 口腔内・歯並びの状態によっては対応できない場合があります
- マウスピース型矯正装置の長時間装着(1日20時間以上)が必須です
- 治療計画通りに進めるためには、患者様の意志が重要になります
- 矯正治療後の保定が不十分だと後戻り(元の位置に戻ろうとする動き)をします
- 薬機法対象外の矯正歯科装置のため医薬品副作用被害救済制度の対象外となる場合があります
- 自費診療(保険適用外)となります
当サイトの内容、テキスト、画像等の無断転載、複製、複写、盗用を固く禁じます。















