症例詳細
Case detail
歯並びを治したい。インビザラインモデレート
治療症例の内容
- 診療科目
- 治療カテゴリ
- 担当医
- 青山卓弘(ドクタープロフィール)
- 患者様
- 20代男性
- 矯正装置
- インビザラインモデレート
- 治療期間
- 8ヶ月
- 治療回数
- 10-30回
- 治療計画
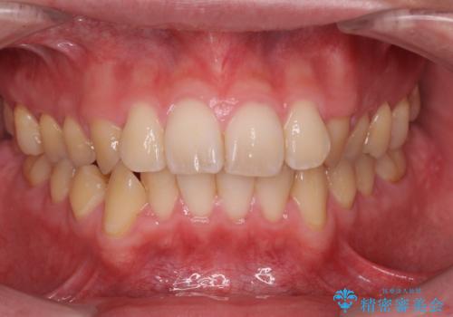
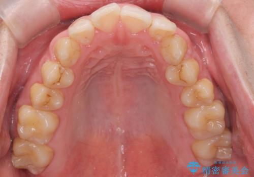
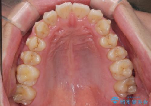
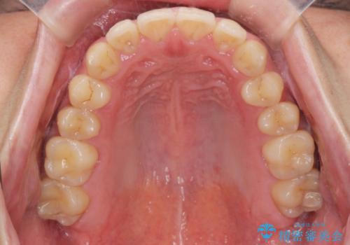
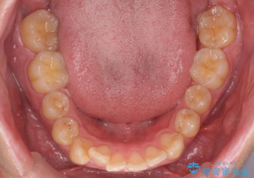
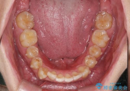
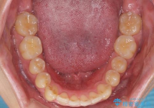
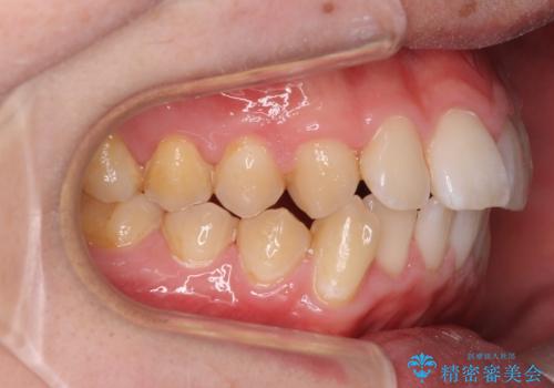
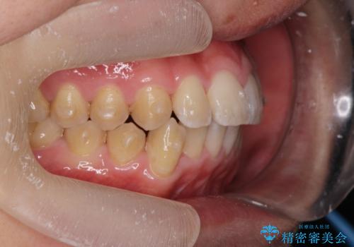
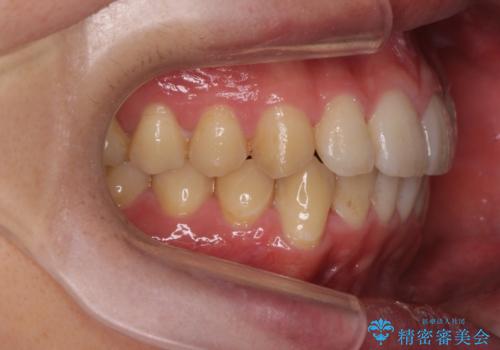
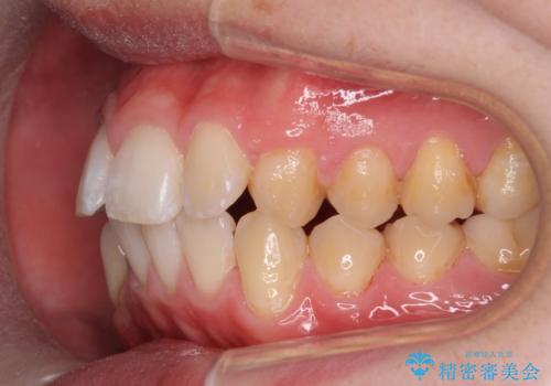
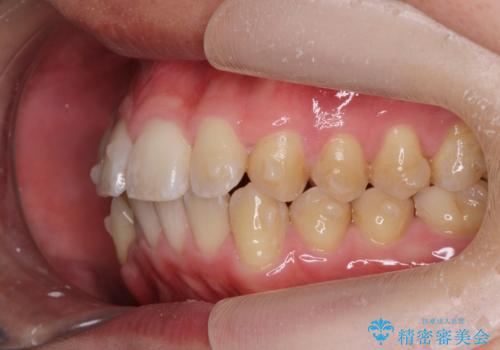
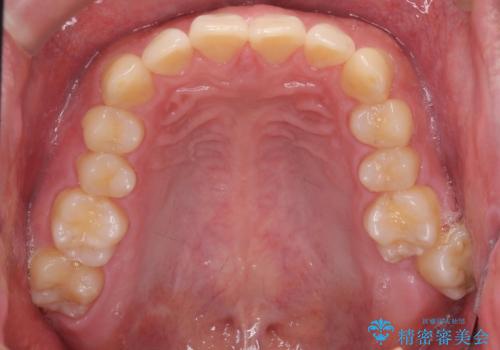
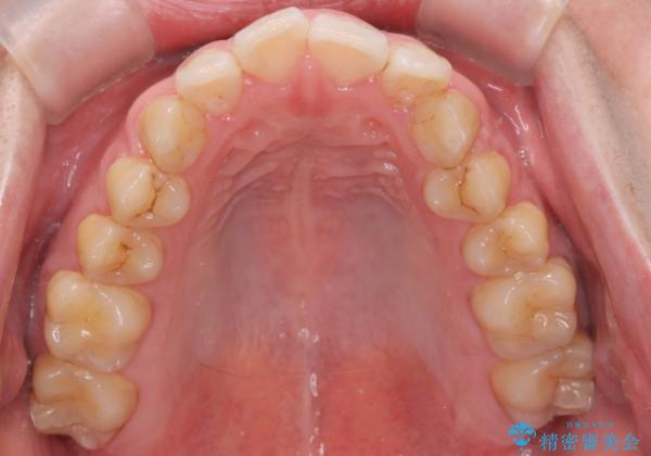
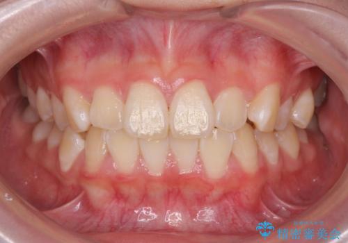
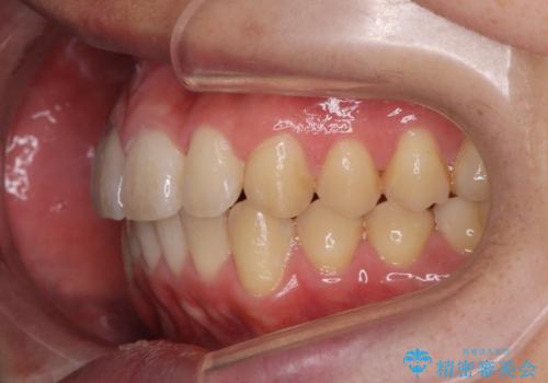
- 歯のがたつきが気になるとの事で来院。
マウスピース矯正(インビザラインモデレート)で治療を行いました。
- 費用(概算)
- インビザラインモデレート 60.5万円費用は治療当時の料金となります
治療について
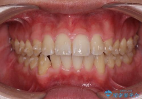
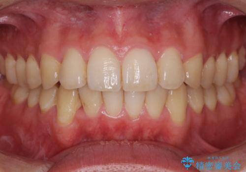
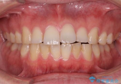
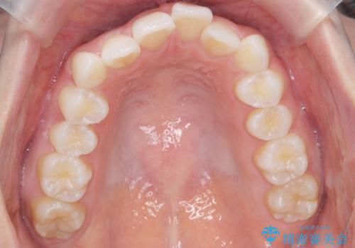
がたつきが無くなり満足して頂けました。
マウスピース矯正は透明な装置を使うので目立ちません。
ワイヤー矯正の注意事項(リスク・副作用など)
- 治療中は違和感や痛みが起こることがあります
- 症状により、抜歯が必要な場合があります
- 治療中は歯磨きがしにくくなるため、虫歯や歯周病になりやすくなります
- 矯正治療後の保定が不十分だと後戻り(元の位置に戻ろうとする動き)をします
- 自費診療(保険適用外)となります
その他の注意事項(リスク・副作用など)
- 担当歯科医師、歯科衛生士又は医院スタッフから受けた説明・注意事項をよくご確認ください
- 医療を提供するに当たり、適切な説明を行い、患者様の十分な理解を得るよう努めております
当サイトの内容、テキスト、画像等の無断転載、複製、複写、盗用を固く禁じます。















