症例詳細
Case detail
【モニター】上顎前突と奥歯の鋏状咬合 補助装置を用いたインビザライン矯正治療
治療症例の内容
- 診療科目
- 治療カテゴリ
- 担当医
- 藤巻太一朗(ドクタープロフィール)
- 患者様
- 30代女性
- 矯正装置
- インビザライン
- 治療期間
- 2年3ヶ月
- 治療回数
- 10-30回
- 治療計画
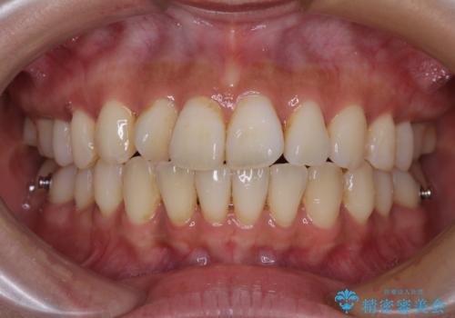
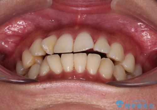
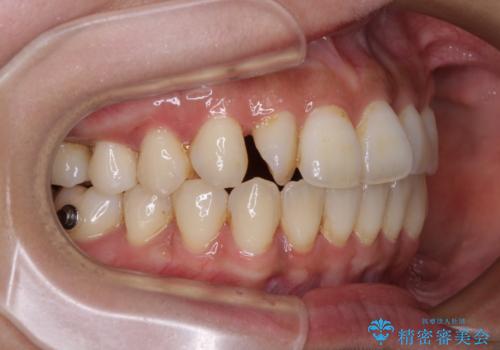
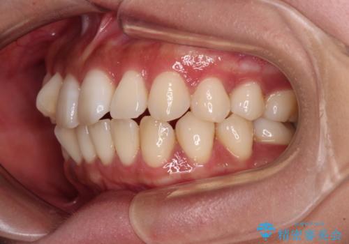
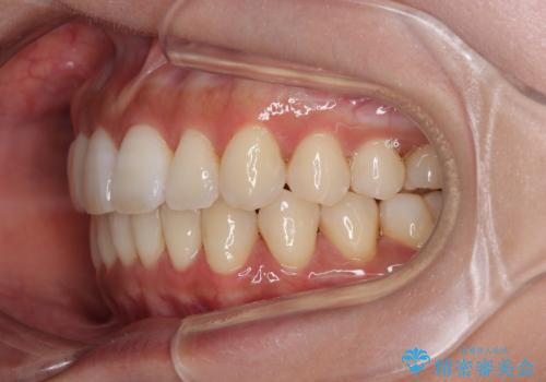
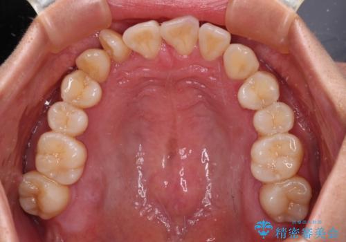
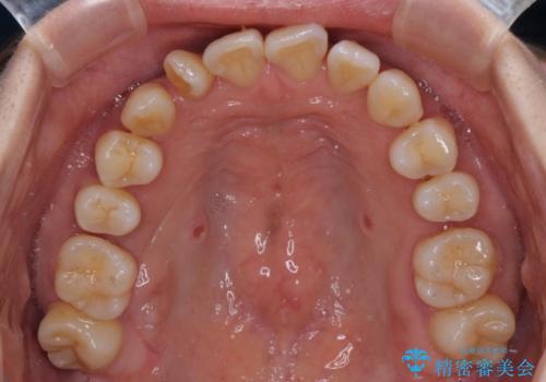
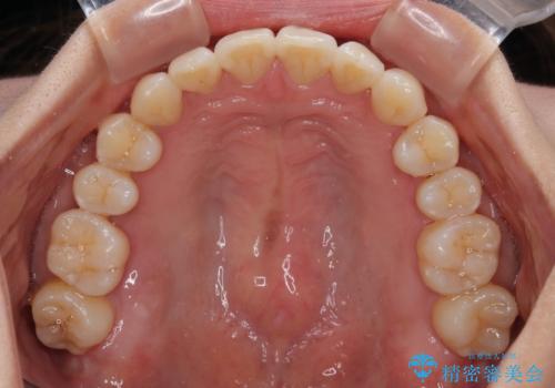
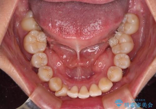
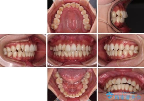
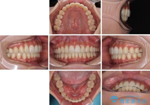
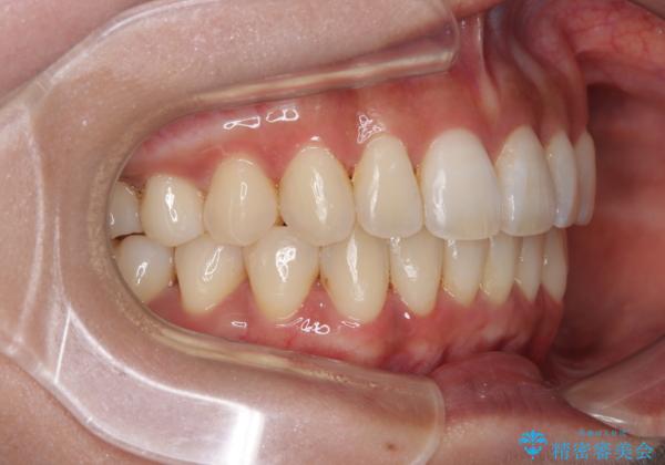
- 前歯の歯列不正と奥歯の咬みにくさを気にして来院された患者様です。
インビザラインでの矯正治療を希望されていましたが、奥歯の咬み合わせがインビザライン単独では改善困難と判断されたので、補助装置を併用することとしました。
上顎最後臼歯は極端に外側を向いており、下顎骨に対して上顎骨が前方に位置していたため、補助装置により最後臼歯を一気に内側に引き込むとともに、上顎臼歯を後方移動させ、奥歯の咬み合わせが改善した後に、上下インビザラインにより歯列全体を整えていくこととしました。
- 費用(概算)
- 治療費の目安: 90万円(税込)費用は治療当時の料金となります
※顔写真掲載にあたり、患者様の了解を得ております
治療について
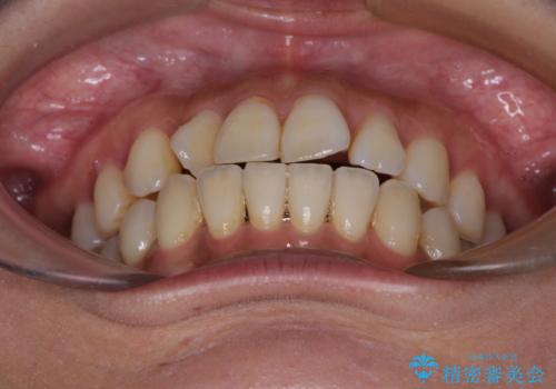
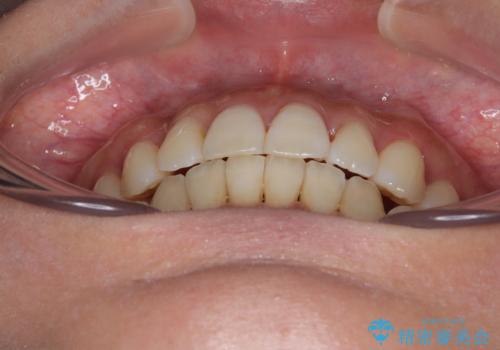
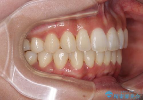
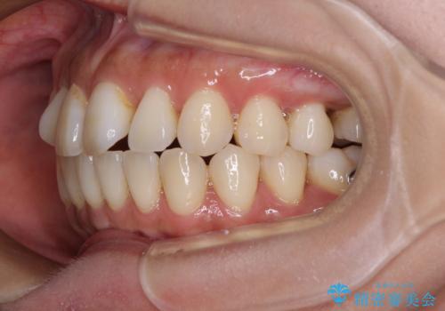
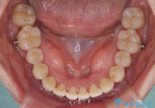
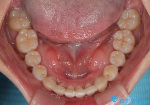
奥歯の咬み合わせを事前に望ましい位置に改善したことで、インビザライン単独では改善が最も困難な状況を排除することができ、非常に理想的な仕上がりとなりました。
マウスピース矯正の注意事項(リスク・副作用など)
- 口腔内・歯並びの状態によっては対応できない場合があります
- マウスピース型矯正装置の長時間装着(1日20時間以上)が必須です
- 治療計画通りに進めるためには、患者様の意志が重要になります
- 矯正治療後の保定が不十分だと後戻り(元の位置に戻ろうとする動き)をします
- 薬機法対象外の矯正歯科装置のため医薬品副作用被害救済制度の対象外となる場合があります
- 自費診療(保険適用外)となります
当サイトの内容、テキスト、画像等の無断転載、複製、複写、盗用を固く禁じます。




























