症例詳細
Case detail
奥歯の銀歯をゴールドでしっかりと治療
治療症例の内容
- 診療科目
- 治療カテゴリ
- 担当医
- 藤巻太一朗(ドクタープロフィール)
- 患者様
- 40代女性
- 治療期間
- 2ヶ月
- 治療回数
- 2-5回
- 治療計画
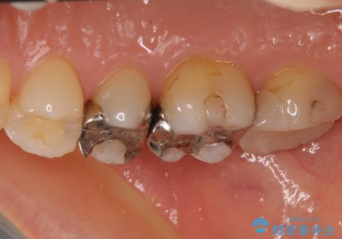
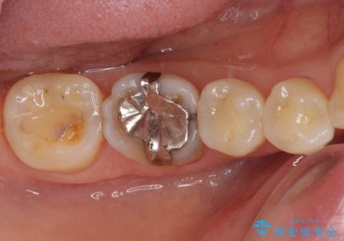
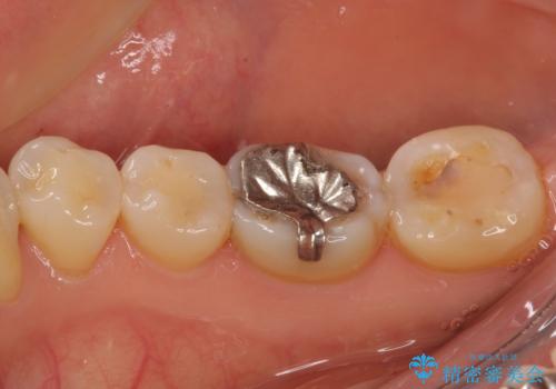
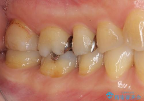
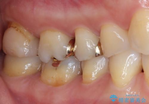
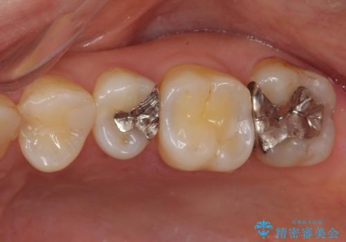
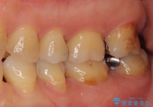
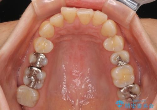
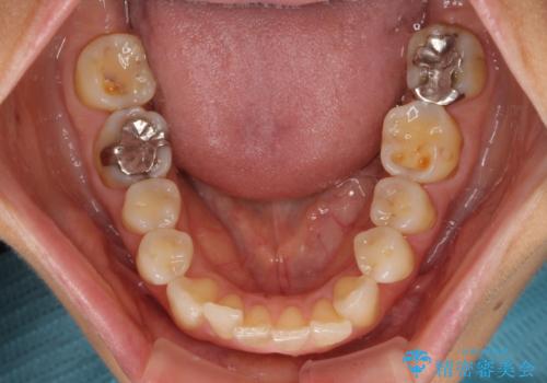
- 奥歯の銀歯をすべてゴールドにすることを希望された患者様です。
セラミックインレーによる補綴治療も提案しましたが、ご自身で強い咬合力を認識しており、歯にもインレーにもダメージの少ないゴールドインレーにて処置することとしました。
- 費用(概算)
- 治療費の目安: 48万円(税込)費用は治療当時の料金となります
治療について
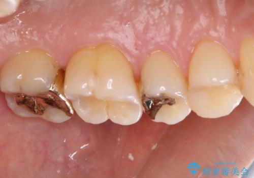
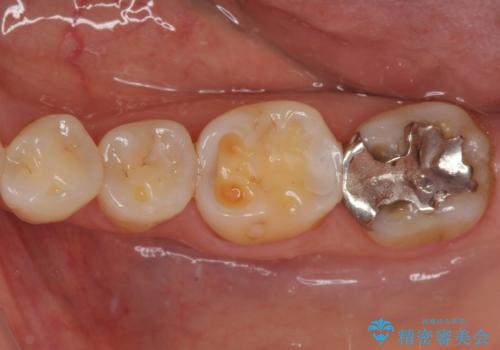
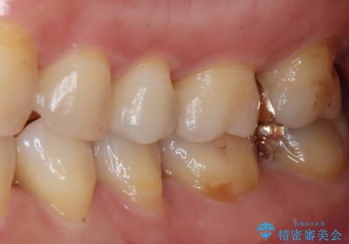
ゴールドは「白い歯」ではありませんが、銀歯の金属色とは異なり、非常にきれいな色合いが特徴です。
もちろん、適合が極めて良いという圧倒的メリットもゴールドクラウンやゴールドインレーの特徴です。
PGA(ゴールド)クラウン、インレーの注意事項(リスク・副作用など)
- インレーおよびクラウンは脱離するリスクがあります
- 形成量はセラミックより少ないですが、歯の形成、修復後に歯に症状が出ることがあります
- 自費診療(保険適用外治療)となります
当サイトの内容、テキスト、画像等の無断転載、複製、複写、盗用を固く禁じます。


























