症例詳細
Case detail
膿の出口が気になるセラミッククラウンの前歯 歯根端切除術で解決
治療症例の内容
- 診療科目
- 治療カテゴリ
- 担当医
- 藤巻太一朗(ドクタープロフィール)
- 患者様
- 50代女性
- 治療期間
- 6ヶ月
- 治療回数
- 2-5回
- 治療計画
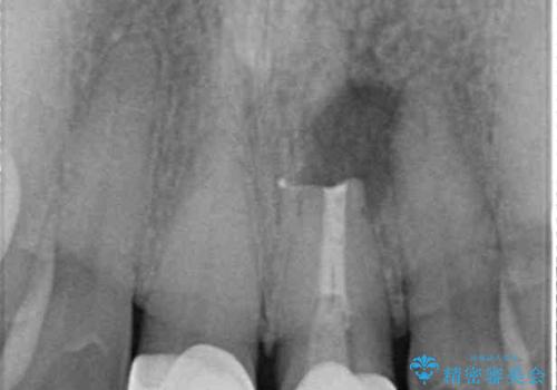
- 他院にて前歯2本をセラミッククラウンにしたものの、膿の出口ができて気になるとのことで来院された患者様です。
治療の選択肢としては、①セラミッククラウンを壊して再度根管治療を行い、その後セラミッククラウンを製作する、②当該歯の歯根端切除術を行う、のいずれかとなります。
歯根端切除術では、術後に歯肉ラインが偏位し、セラミッククラウンと歯の境目が目立つことがありますが、患者様と相談の上、②歯根端切除術にて治療を行うこととしました。
- 費用(概算)
- 治療費の目安: 6万円(税込)費用は治療当時の料金となります
治療について
半年強経過した際のレントゲン写真では、処置前のレントゲン透過像と切除した歯根部分がしっかりと歯槽骨となっている様子が認められました。
外科処置の注意事項(リスク・副作用など)
- 外科手術のため、術後に出血、痛みや腫れ、違和感を伴います
- 口腔内の状態によっては適応できないことがあります
当サイトの内容、テキスト、画像等の無断転載、複製、複写、盗用を固く禁じます。








