症例詳細
Case detail
八重歯を確実に改善 補助装置を併用したインビザライン矯正治療
治療症例の内容
- 診療科目
- 治療カテゴリ
- 担当医
- 藤巻太一朗(ドクタープロフィール)
- 患者様
- 20代女性
- 矯正装置
- インビザライン
- 治療期間
- 1年11ヶ月
- 治療回数
- 10-30回
- 治療計画
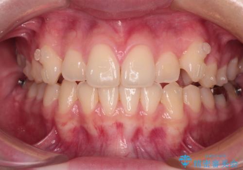
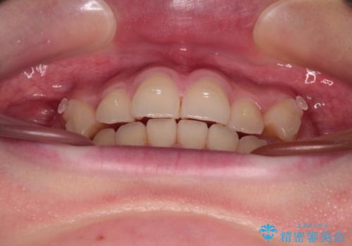
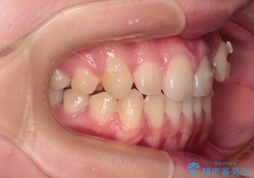
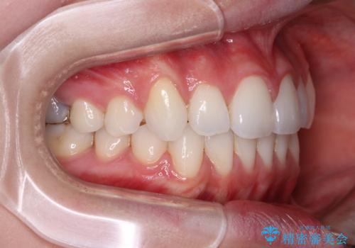
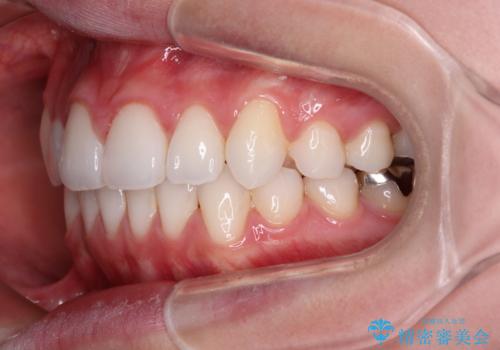
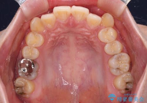
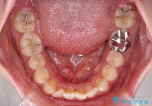
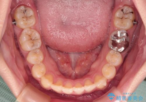
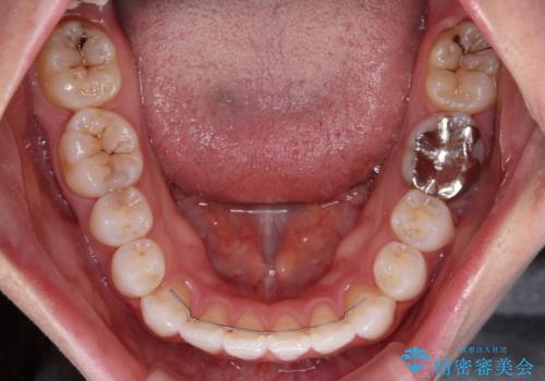
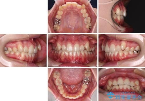
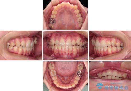
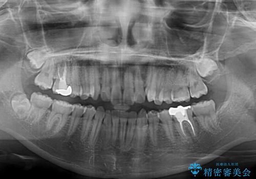
- 左右の八重歯を気にして来院された患者様です。
歯列としてはインビザラインでもワイヤー矯正でも対応できるものでしたが、インビザラインによる治療を希望されていました。
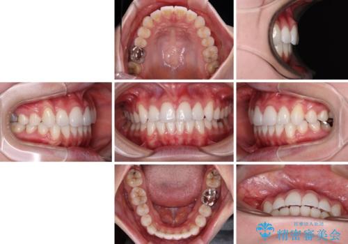
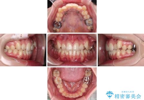
上顎の八重歯改善にインビザラインでは時間のかかってしまう可能性があり、更には口元が治療前よりも突出してしまう可能性があったため、補助装置により八重歯を事前に引き込んでおくことで、インビザラインによる治療をスムーズに行えるように計画しました。
- 費用(概算)
- 治療費の目安: 100万円(税込)費用は治療当時の料金となります
治療について
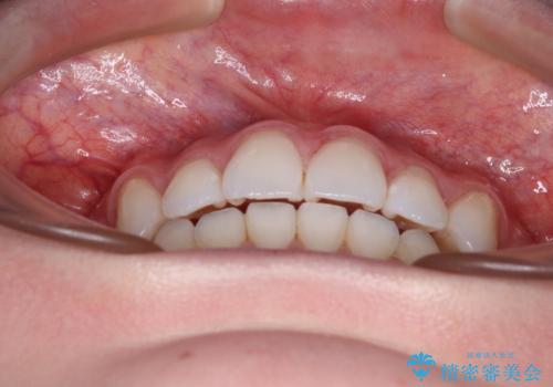
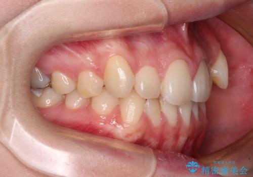
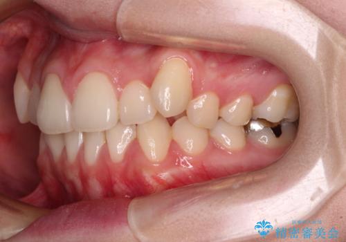
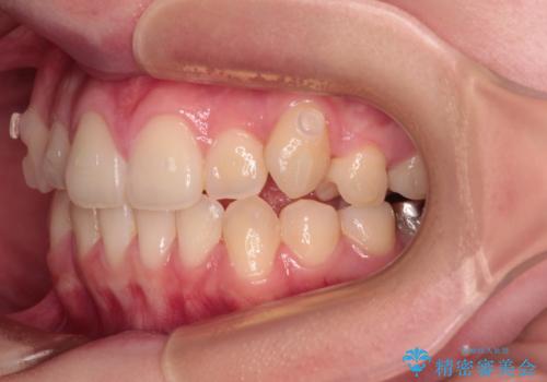
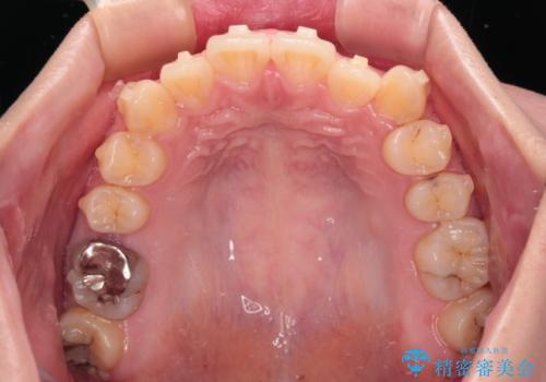
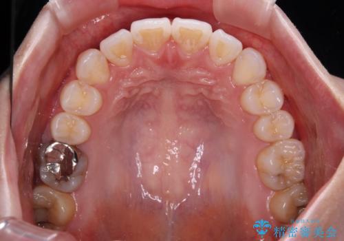
補助装置を使用したことで、口元が突出することもなく、スムーズに仕上げることができました。
マウスピース矯正の注意事項(リスク・副作用など)
- 口腔内・歯並びの状態によっては対応できない場合があります
- マウスピース型矯正装置の長時間装着(1日20時間以上)が必須です
- 治療計画通りに進めるためには、患者様の意志が重要になります
- 矯正治療後の保定が不十分だと後戻り(元の位置に戻ろうとする動き)をします
- 薬機法対象外の矯正歯科装置のため医薬品副作用被害救済制度の対象外となる場合があります
- 自費診療(保険適用外)となります
当サイトの内容、テキスト、画像等の無断転載、複製、複写、盗用を固く禁じます。




























