症例詳細
Case detail
銀歯から精度の良い補綴物へ
治療症例の内容
- 診療科目
- 担当医
- 岡田康成(ドクタープロフィール)
- 患者様
- 50代女性
- 治療期間
- 治療回数
- 2-5回
- 治療計画
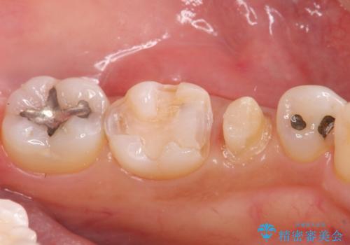
- 左下の奥歯に虫歯がある気がするとのことで来院された患者様です。
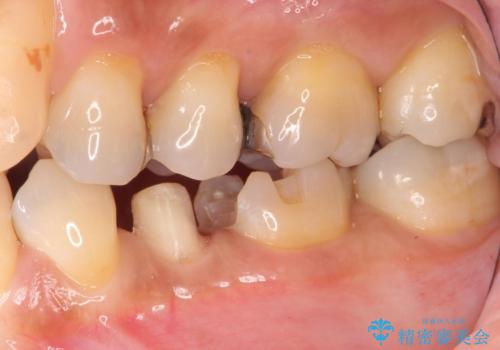
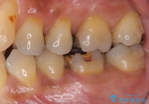
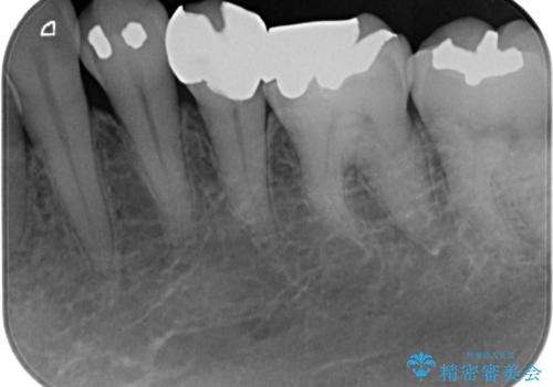
手前はジルコニアクラウンで白く、奥はゴールドアンレーでより適合の良いものを装着します。
- 費用(概算)
- 左下5:仮歯 11,000円、ジルコニアクラウン(スタンダード)121,000円 / 左下6:ゴールドアンレー110,000円 合計242,000円費用は治療当時の料金となります
治療について
銀歯の裏側に虫歯が確認されました。
小さな段差も虫歯のリスクにつながります。
精度の良い補綴物を入れることで今後の虫歯リスクを抑えることができます。
セラミック治療の注意事項(リスク・副作用など)
- 天然歯を削ります
- 硬い素材は天然歯を傷つけてしまう場合があります
- かみ合わせや歯ぎしりが強すぎる方はセラミックが割れてしまう可能性があります
- 自費診療(保険適用外治療)となります
PGA(ゴールド)クラウン、インレーの注意事項(リスク・副作用など)
- インレーおよびクラウンは脱離するリスクがあります
- 形成量はセラミックより少ないですが、歯の形成、修復後に歯に症状が出ることがあります
- 自費診療(保険適用外治療)となります
当サイトの内容、テキスト、画像等の無断転載、複製、複写、盗用を固く禁じます。











