症例詳細
Case detail
出っ歯、がたつきを治したい マウスピース矯正
治療症例の内容
- 診療科目
- 治療カテゴリ
- 担当医
- 高悠莉(ドクタープロフィール)
- 患者様
- 20代女性
- 矯正装置
- インビザライン
- 治療期間
- 1年5ヶ月
- 治療回数
- 5-10回
- 治療計画
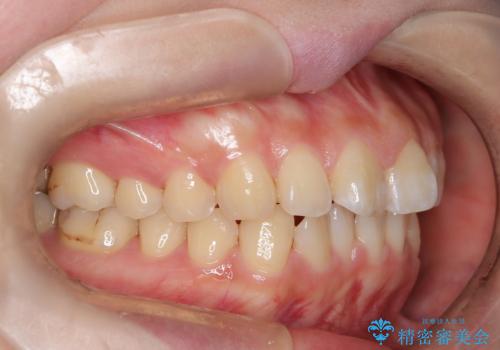
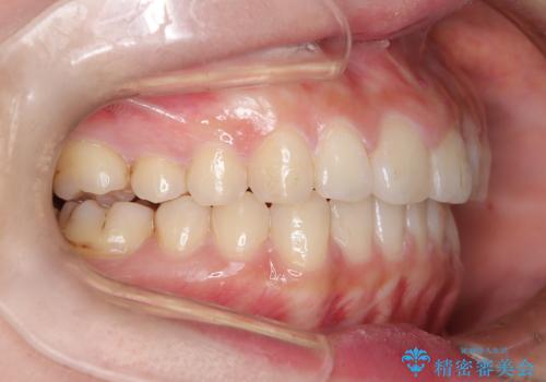
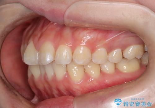
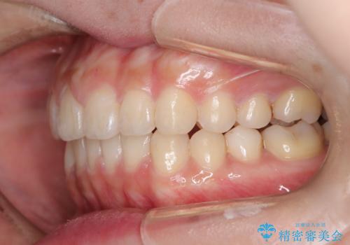
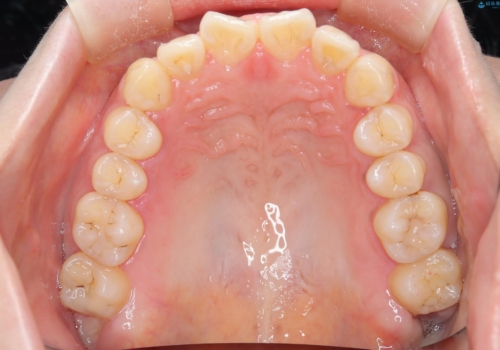
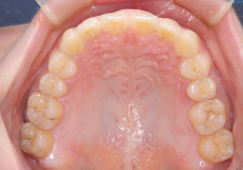
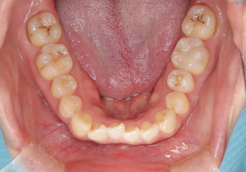
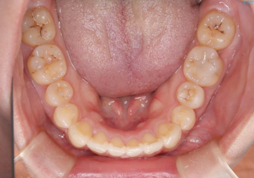
- 口元の突出感、歯のがたつきを主訴に来院された患者様です。非抜歯にて口元を下げるような治療計画を立案しました。非常に治療に対して真面目で協力的な患者様で、一緒に理想形を相談しながら治療を進めました。矯正前には、虫歯治療や親知らず抜歯を行っています。噛みしめ癖が強く、終盤は奥歯の噛み合わせのためにゴム掛けにご協力いただきました。
- 費用(概算)
- 660,000円(税込)費用は治療当時の料金となります
もし、矯正途中に虫歯になったらどうすればいいの?
マウスピース矯正・ワイヤー矯正いずれの場合でも、歯列矯正途中は歯が磨きにくいことが多く、場合によっては虫歯ができてしまうことがあるかもしれません。当院では矯正治療以外の一般歯科治療も日ごろから承っておりますので、矯正中もしっかりと矯正以外の観点からも診察いたしますので、安心して治療を受けていただくことができます。
マウスピース矯正の注意事項(リスク・副作用など)
- 口腔内・歯並びの状態によっては対応できない場合があります
- マウスピース型矯正装置の長時間装着(1日20時間以上)が必須です
- 治療計画通りに進めるためには、患者様の意志が重要になります
- 矯正治療後の保定が不十分だと後戻り(元の位置に戻ろうとする動き)をします
- 薬機法対象外の矯正歯科装置のため医薬品副作用被害救済制度の対象外となる場合があります
- 自費診療(保険適用外)となります
当サイトの内容、テキスト、画像等の無断転載、複製、複写、盗用を固く禁じます。















