症例詳細
Case detail
転んで前歯が折れた 色合いの難しい歯のセラミック修復
治療症例の内容
- 診療科目
- 治療カテゴリ
- 担当医
- 井上季実子(ドクタープロフィール)
- 患者様
- 40代女性
- 治療期間
- 2ヶ月
- 治療回数
- 2-5回
- 治療計画
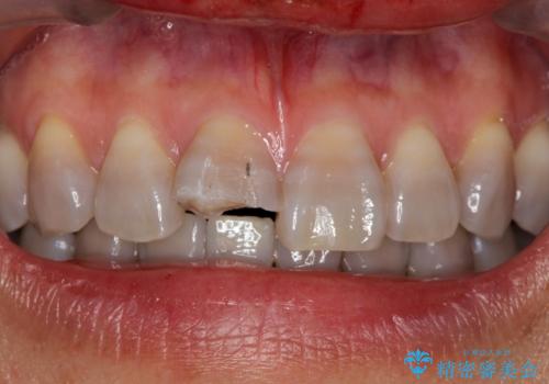
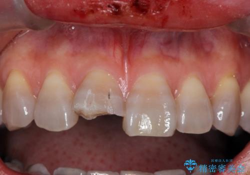
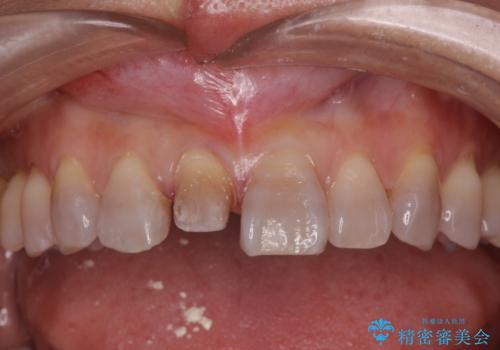
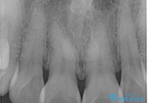
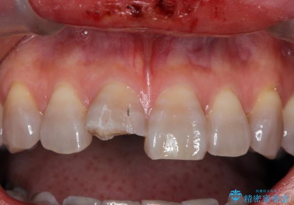
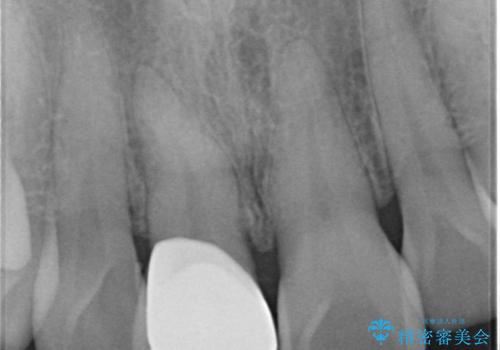
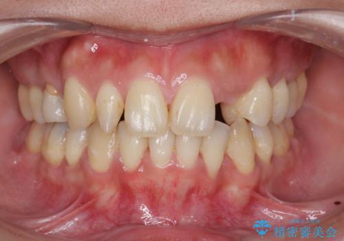
- 転倒し前歯を地面に強打して折れたとのことで来院。
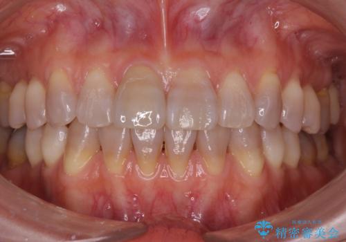
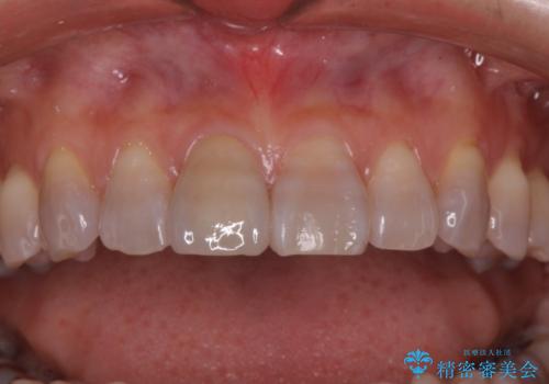
幸い神経は生きており、セラミックでかぶせることになりました。
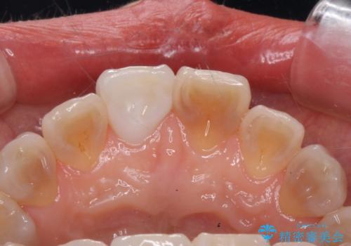
テトラサイクリン歯といって縞模様の強い歯の色調再現を行いました。
- 費用(概算)
- 16.5万円(内訳:仮歯1万円、ジルコニアクラウン(スペシャル)14万円)費用は治療当時の料金となります
治療について
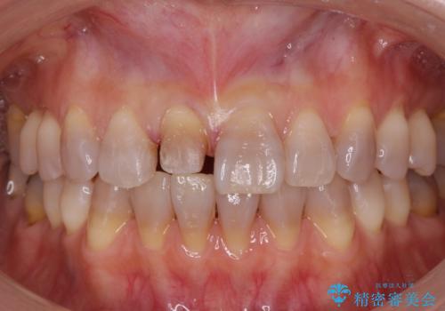
まず保険治療でコンポジットレジン修復を行い、神経の状態を確認した後、クラウンによる修復を行いました。
将来神経が失活する可能性もありますので経過観察する必要があります。
セラミック治療の注意事項(リスク・副作用など)
- 天然歯を削ります
- 硬い素材は天然歯を傷つけてしまう場合があります
- かみ合わせや歯ぎしりが強すぎる方はセラミックが割れてしまう可能性があります
- 自費診療(保険適用外治療)となります
当サイトの内容、テキスト、画像等の無断転載、複製、複写、盗用を固く禁じます。











