症例詳細
Case detail
【セラミッククラウン】歯を白くしたい
治療症例の内容
- 診療科目
- 治療カテゴリ
- 担当医
- 町田睦月(ドクタープロフィール)
- 患者様
- 30
- 治療期間
- 1ヶ月
- 治療回数
- 2-5回
- 治療計画
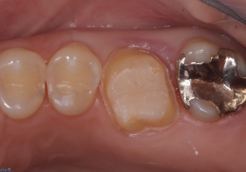
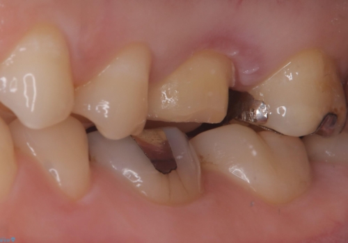
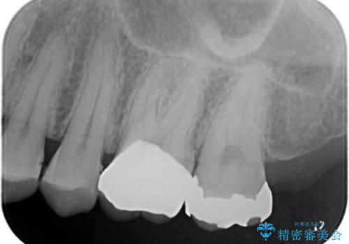
- 主訴:銀の詰め物を白くしたい
保険メタルインレーの入っている歯に虫歯が認められたため、セラミッククラウンでのやり替えとなりました。
- 費用(概算)
- 132,000円費用は治療当時の料金となります
治療について
保険のメタルインレーを白くしたいということで来院されました。
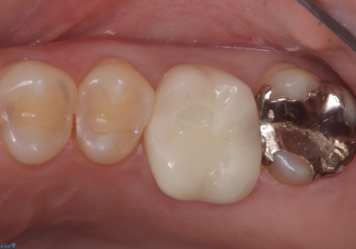
左上6の近心にカリエスを認め、残存歯質と破折リスクの観点からセラミッククラウンでのやり替えとなりました。
今後ホワイトニング行う予定のため、シェード明るめにしています。
治療費内訳
・仮歯 10,000円(税抜き)
・オールセラミッククラウン(スタンダード) 110,000円(税抜き)
セラミック治療の注意事項(リスク・副作用など)
- 天然歯を削ります
- 硬い素材は天然歯を傷つけてしまう場合があります
- かみ合わせや歯ぎしりが強すぎる方はセラミックが割れてしまう可能性があります
- 自費診療(保険適用外治療)となります
当サイトの内容、テキスト、画像等の無断転載、複製、複写、盗用を固く禁じます。











