症例詳細
Case detail
後戻り治療 クロスバイトをマウスピース矯正
治療症例の内容
- 診療科目
- 治療カテゴリ
- 担当医
- 高悠莉(ドクタープロフィール)
- 患者様
- 20代女性
- 矯正装置
- マウスピース インビザライン
- 治療期間
- 1年
- 治療回数
- 5-10回
- 治療計画
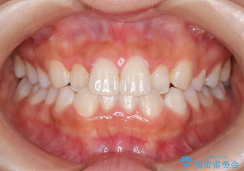
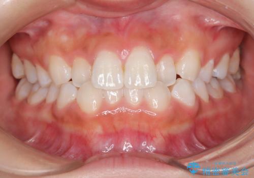
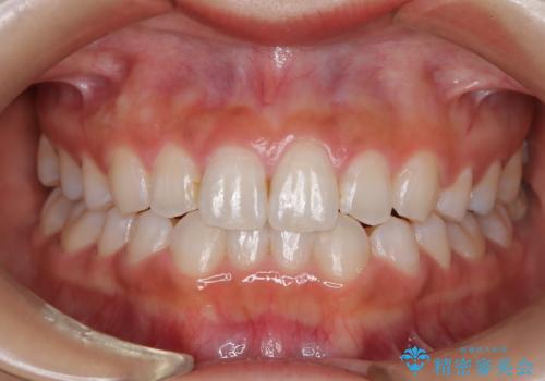
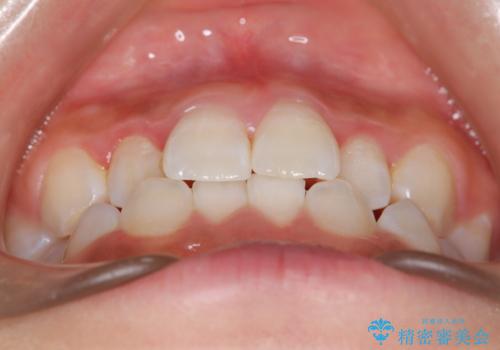
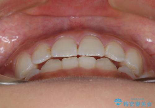
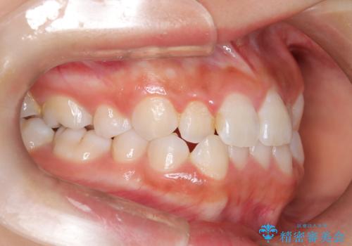
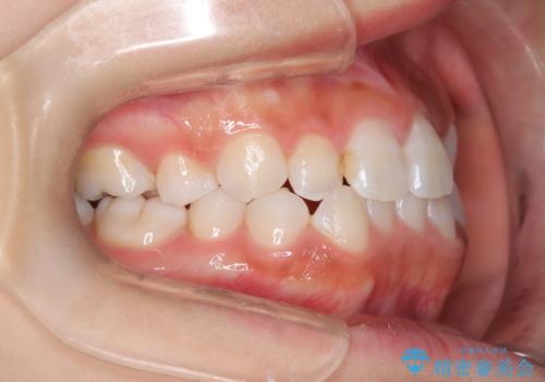
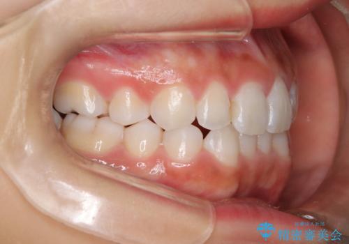
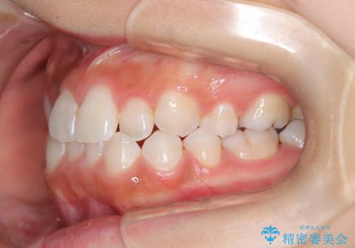
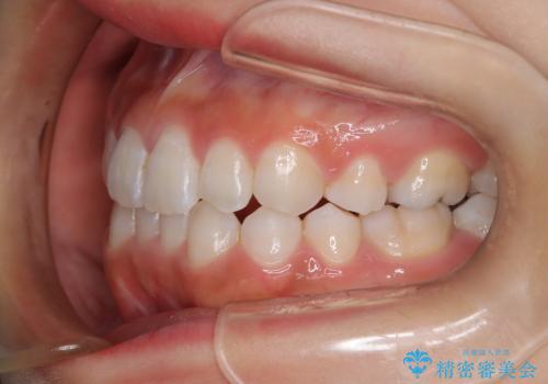
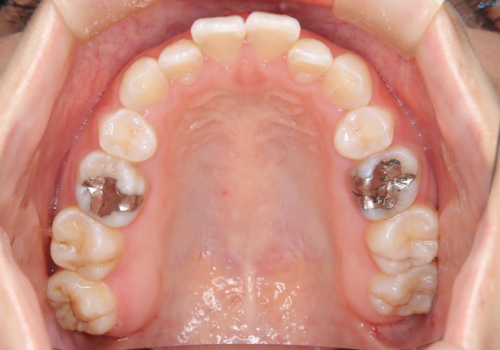
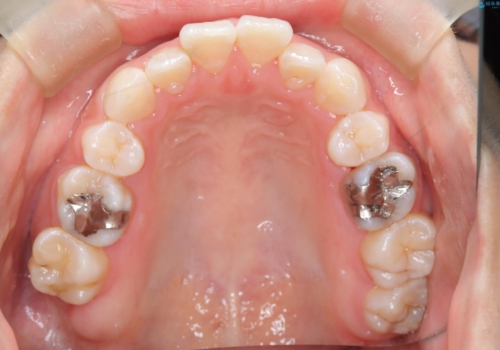
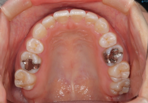
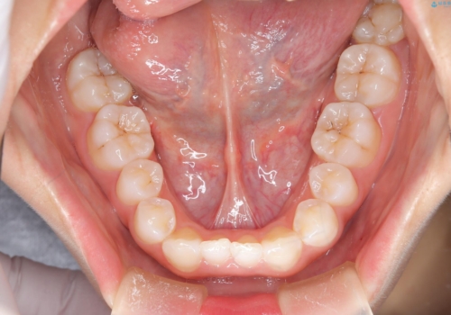
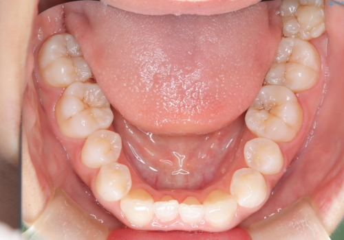
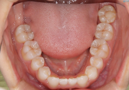
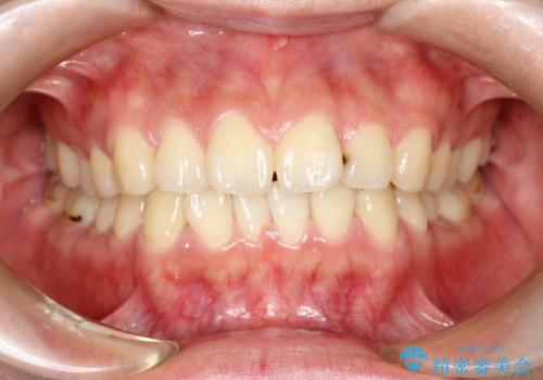
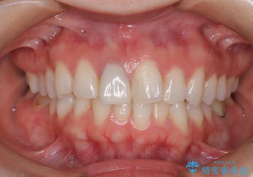
- 子供のころに矯正治療をされていたが、後戻りをしてしまったという20代女性の患者様です。上顎左右の2番が、咬合時に下顎の歯よりも内側に入っているクロスバイトという状態でした。奥歯の咬合関係は変えずに、マウスピース矯正にて前歯の並びを綺麗なアーチに仕上げました。再度後戻りしてしまうリスクを軽減させるために、リテーナー(保定装置)をお渡ししています。
- 費用(概算)
- 660,000円(税込)費用は治療当時の料金となります
リテーナーについて
矯正治療後は後戻り防止のために、リテーナー(保定装置)を装着していただきます。目安は半年は昼も夜も、半年以降は夜のみと指示させていただくことが多いですが、症例ごとに決定していきます。
マウスピース矯正の注意事項(リスク・副作用など)
- 口腔内・歯並びの状態によっては対応できない場合があります
- マウスピース型矯正装置の長時間装着(1日20時間以上)が必須です
- 治療計画通りに進めるためには、患者様の意志が重要になります
- 矯正治療後の保定が不十分だと後戻り(元の位置に戻ろうとする動き)をします
- 薬機法対象外の矯正歯科装置のため医薬品副作用被害救済制度の対象外となる場合があります
- 自費診療(保険適用外)となります
当サイトの内容、テキスト、画像等の無断転載、複製、複写、盗用を固く禁じます。



















