症例詳細
Case detail
【オールセラミッククラウン】虫歯治療!再治療を減らす治療!
治療症例の内容
- 診療科目
- 治療カテゴリ
- 担当医
- 河野豊嘉(ドクタープロフィール)
- 患者様
- 50代女性
- 治療期間
- 1ヶ月
- 治療回数
- 2-5回
- 治療計画
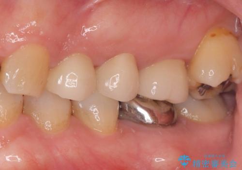
- 歯に穴が開くような虫歯があり銀歯の適合も悪く虫歯になっていたので、虫歯を除去後オールセラミッククラウンで治療を行いました。
左上5、6番の間に隙間もあったのでオールセラミッククラウンで隙間も閉じました。
- 費用(概算)
- 税込 396,000円(オールセラミッククラウン121,000円×3+11,000円×3)費用は治療当時の料金となります
治療について
歯に穴が開くような虫歯があり、銀歯と歯の堺に隙間があり(適合が悪い)そこが虫歯になっていたので適合良く(歯と被せ物の間に隙間が無い)作れるオールセラミッククラウンで治療を行いました。
セラミック治療の注意事項(リスク・副作用など)
- 天然歯を削ります
- 硬い素材は天然歯を傷つけてしまう場合があります
- かみ合わせや歯ぎしりが強すぎる方はセラミックが割れてしまう可能性があります
- 自費診療(保険適用外治療)となります
当サイトの内容、テキスト、画像等の無断転載、複製、複写、盗用を固く禁じます。







