症例詳細
Case detail
デコボコを治したい インビザラインによる矯正治療
治療症例の内容
- 診療科目
- 治療カテゴリ
- 担当医
- 藤巻太一朗(ドクタープロフィール)
- 患者様
- 30代男性
- 矯正装置
- インビザライン
- 治療期間
- 5年
- 治療回数
- 10-30回
- 治療計画
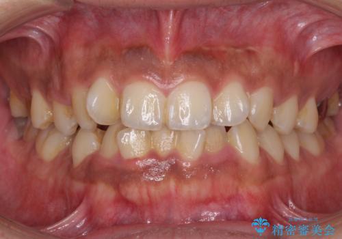
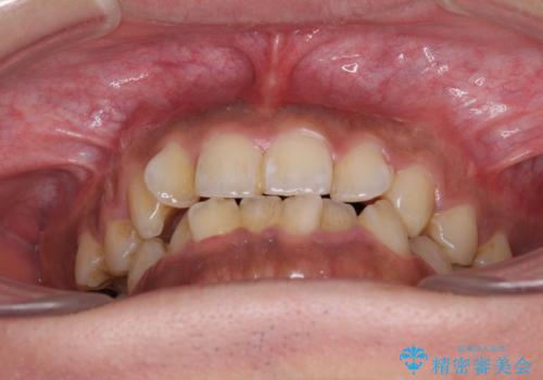
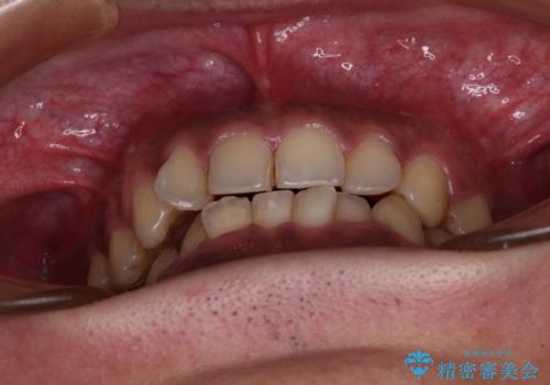
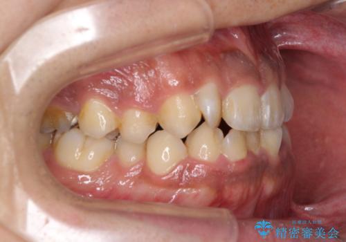
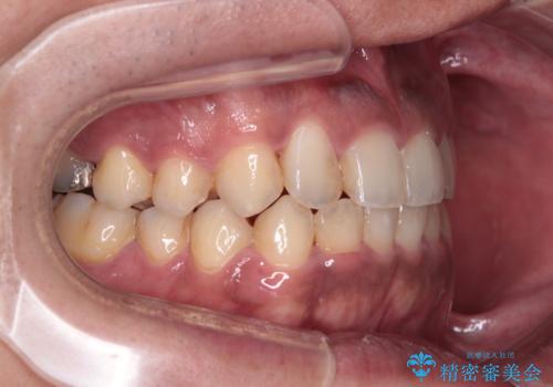
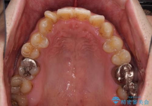
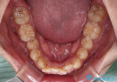
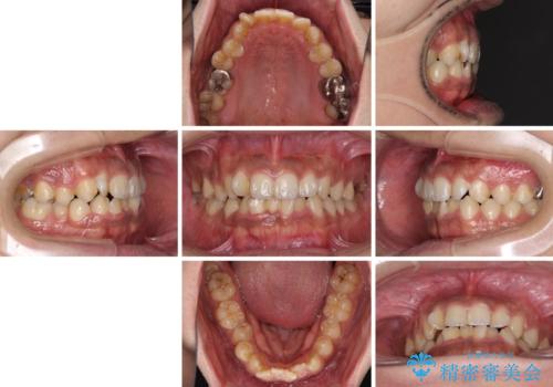
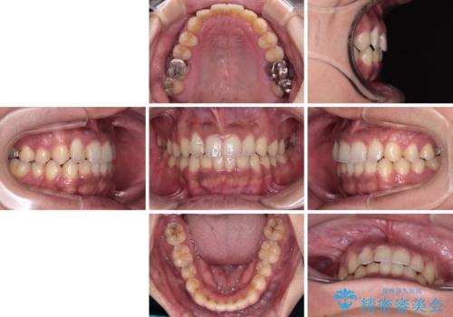
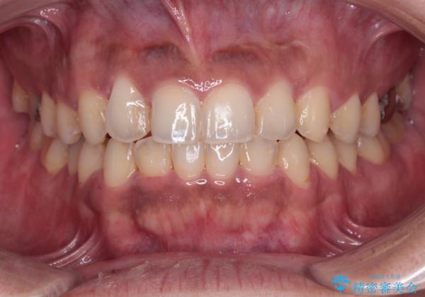
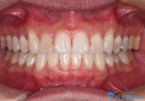
- 前歯のデコボコを気にして来院された患者様です。
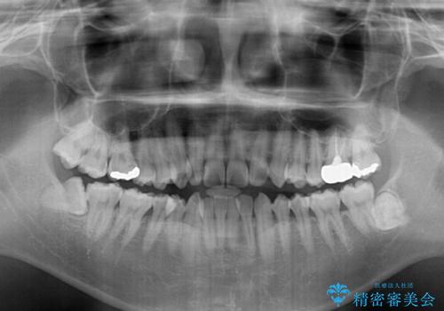
前歯が90度近く捻れていたため、しっかりと治すことを考えるとワイヤー矯正の方がおすすめではありましたが、本人の希望によりインビザラインを用いて矯正治療を行うこととしました。
インビザラインは、十分な装着時間が達成されると前歯のデコボコをしっかりと改善できますが、1日の装着時間が20時間に達しなくなると、不十分な仕上がりとなるため、しっかりと装着するよう指示をしました。
- 費用(概算)
- 治療費の目安: 90万円(税込)費用は治療当時の料金となります
治療について
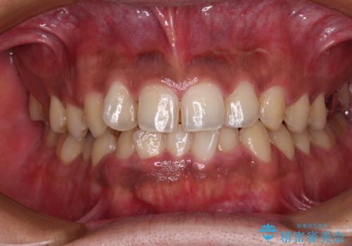
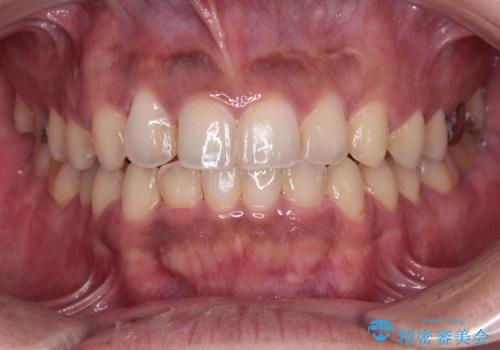
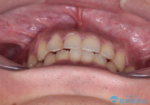
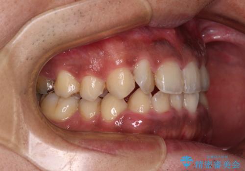
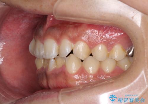
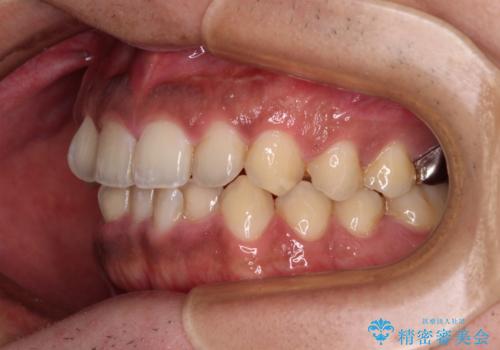
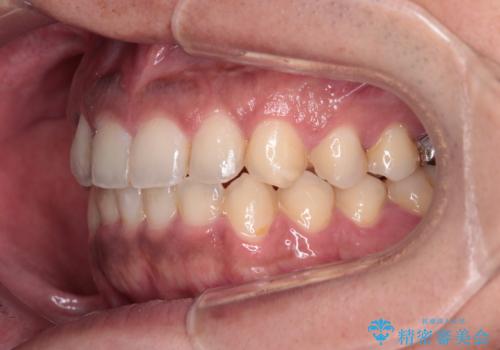
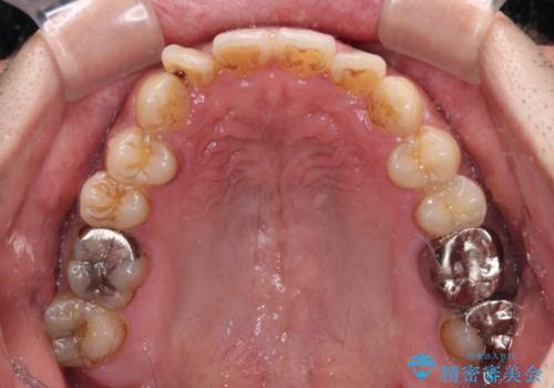
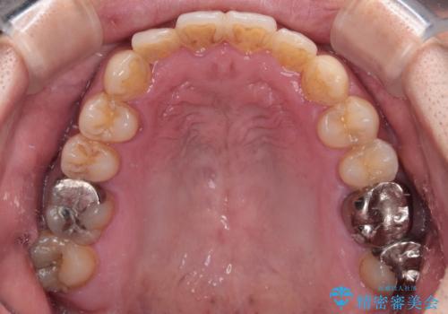
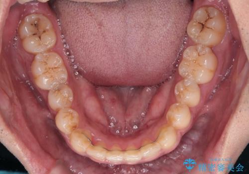
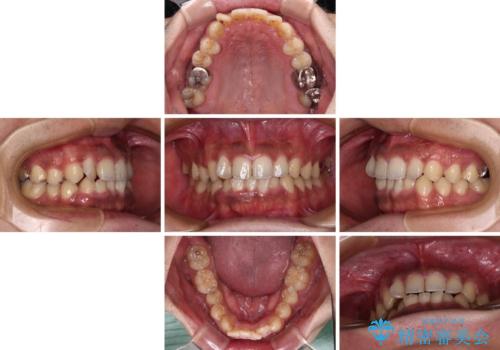
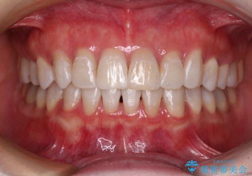
途中2年強の来院がなく、改善されていたデコボコが元に戻ったり、装着時間が不足しており前歯のデコボコは十分に改善することはできませんでしたが、5年間の有効期限内で可能な限り歯列を整えることができました。
マウスピース矯正の注意事項(リスク・副作用など)
- 口腔内・歯並びの状態によっては対応できない場合があります
- マウスピース型矯正装置の長時間装着(1日20時間以上)が必須です
- 治療計画通りに進めるためには、患者様の意志が重要になります
- 矯正治療後の保定が不十分だと後戻り(元の位置に戻ろうとする動き)をします
- 薬機法対象外の矯正歯科装置のため医薬品副作用被害救済制度の対象外となる場合があります
- 自費診療(保険適用外)となります
当サイトの内容、テキスト、画像等の無断転載、複製、複写、盗用を固く禁じます。



























