症例詳細
Case detail
インビザラインが続けられない 忍耐のマウスピース矯正
治療症例の内容
- 診療科目
- 治療カテゴリ
- 担当医
- 藤巻太一朗(ドクタープロフィール)
- 患者様
- 40代女性
- 矯正装置
- インビザライン
- 治療期間
- 7年5ヶ月
- 治療回数
- 10-30回
- 治療計画
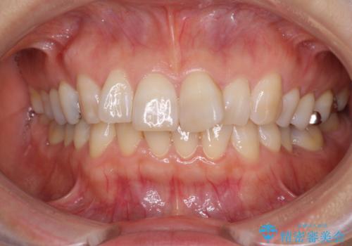
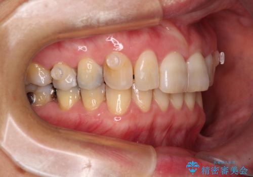
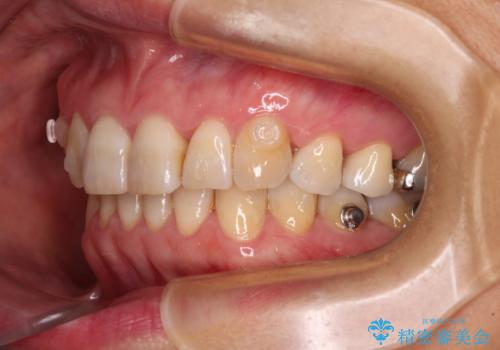
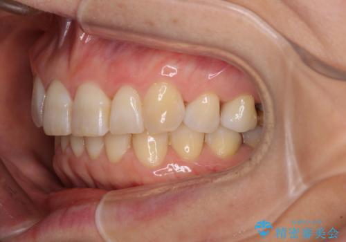
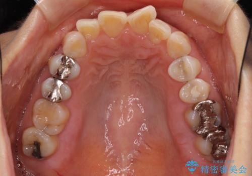
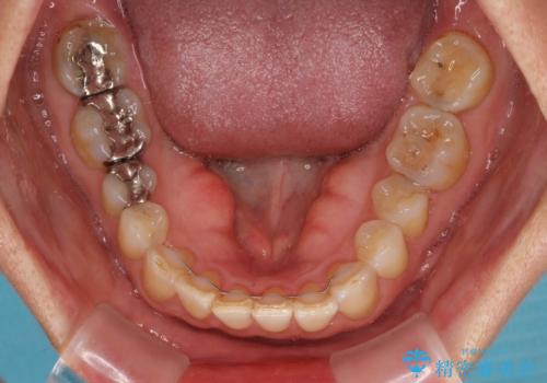
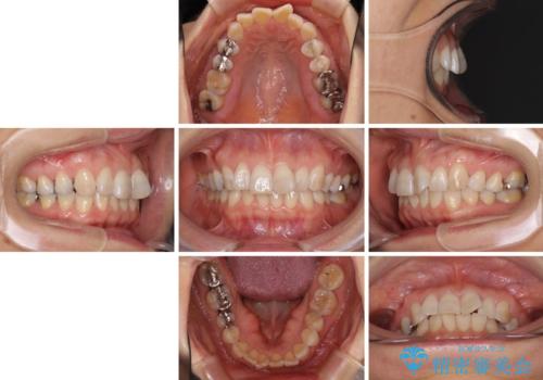
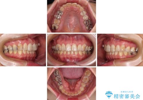
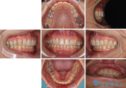
- 前歯のデコボコと上下正中のずれを気にして来院された患者様です。
下顎骨が骨格的にずれがあったため、しっかりと正中を合わせるとなるとワイヤー矯正が必要でしたが、マウスピース矯正を希望されたため、極力正中を合わせることを目標に、インビザラインにて矯正治療を行うこととしました。
- 費用(概算)
- 治療費の目安: 110万円(税込)費用は治療当時の料金となります
治療について
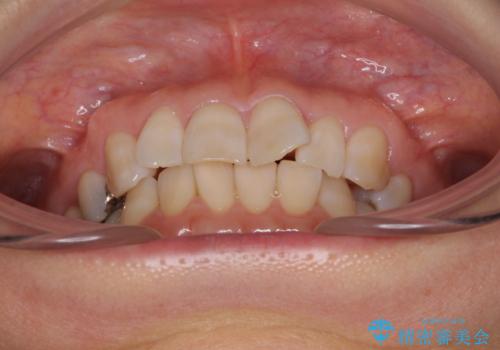
インビザラインは、ワイヤー矯正と異なり、患者様がしっかりと使うということが治療成功の絶対必須条件となります。
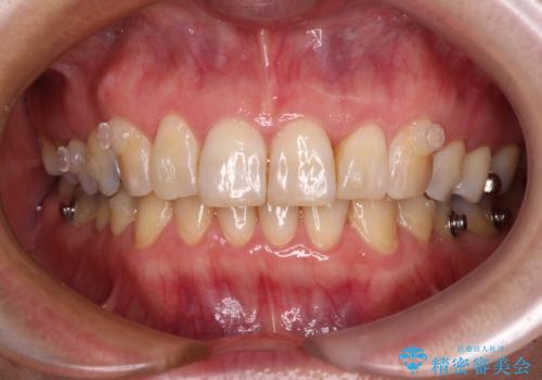
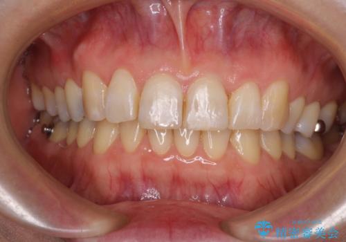
十分な装着時間が達成できず、治療途中で後戻りを起こすことがあり、インビザラインの有効期限内に終了させることができませんでした。
ワイヤー矯正や別システムのマウスピース矯正を利用することで、何とか終了させることができました。
マウスピース矯正の注意事項(リスク・副作用など)
- 口腔内・歯並びの状態によっては対応できない場合があります
- マウスピース型矯正装置の長時間装着(1日20時間以上)が必須です
- 治療計画通りに進めるためには、患者様の意志が重要になります
- 矯正治療後の保定が不十分だと後戻り(元の位置に戻ろうとする動き)をします
- 薬機法対象外の矯正歯科装置のため医薬品副作用被害救済制度の対象外となる場合があります
- 自費診療(保険適用外)となります
当サイトの内容、テキスト、画像等の無断転載、複製、複写、盗用を固く禁じます。


























