症例詳細
Case detail
非抜歯で短期間!ワイヤー矯正で理想の歯並びを実現
治療症例の内容
- 診療科目
- 担当医
- 患者様
- 20代女性
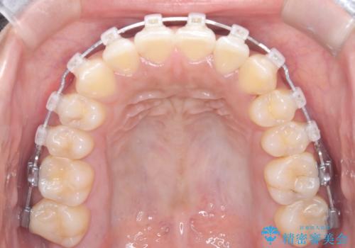
- 矯正装置
- ワイヤー矯正
- 治療期間
- 1年3ヶ月
- 治療回数
- 10-30回
- 治療計画
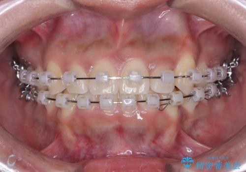
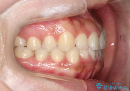
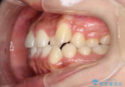
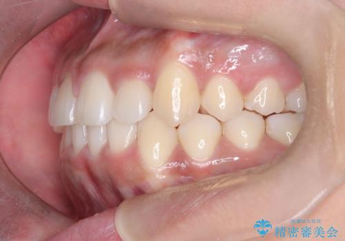
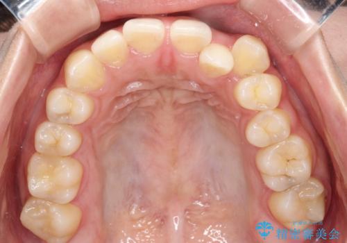
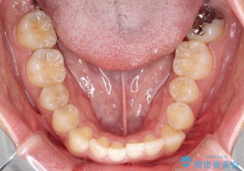
- 前歯のガタツキ、八重歯、すきっ歯を気にされて当院に来院されました。
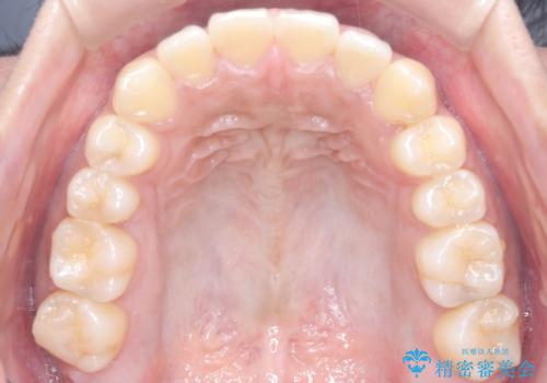
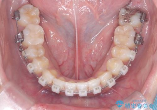
ワイヤー矯正による治療を選択し、非抜歯で短期間で改善しました。
- 費用(概算)
- 93.5万円費用は治療当時の料金となります
治療について
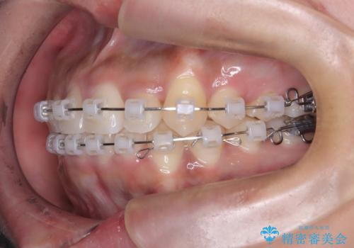
ワイヤー矯正による治療を提案し、非抜歯・短期間で終了することができました。ワイヤー矯正は、細かい調整が可能で、確実に歯並びを整えることができるのが特徴です。
ワイヤー矯正の注意事項(リスク・副作用など)
- 治療中は違和感や痛みが起こることがあります
- 症状により、抜歯が必要な場合があります
- 治療中は歯磨きがしにくくなるため、虫歯や歯周病になりやすくなります
- 矯正治療後の保定が不十分だと後戻り(元の位置に戻ろうとする動き)をします
- 自費診療(保険適用外)となります
当サイトの内容、テキスト、画像等の無断転載、複製、複写、盗用を固く禁じます。















