症例詳細
Case detail
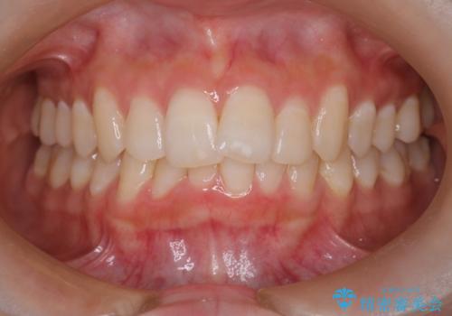
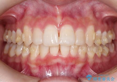
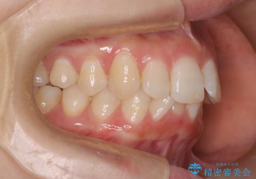
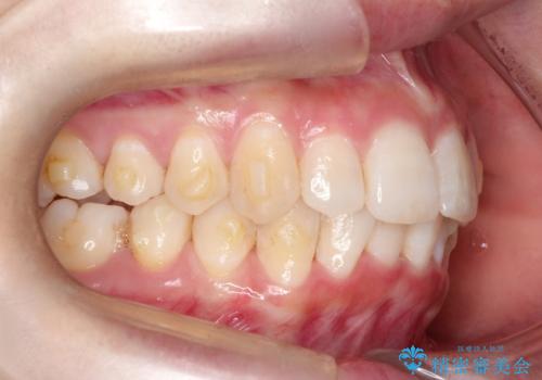
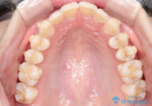
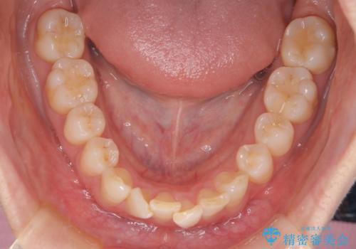
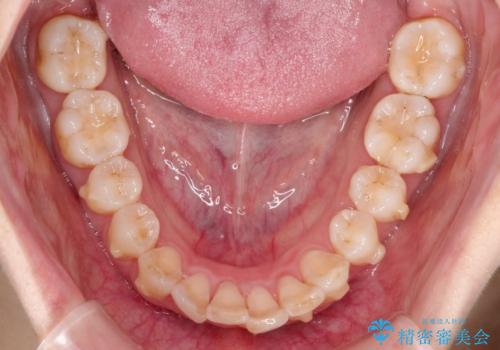
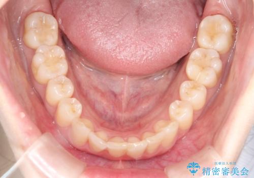
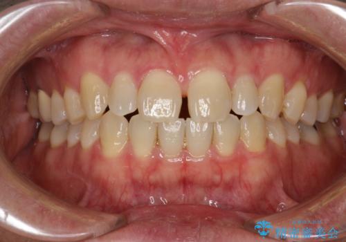
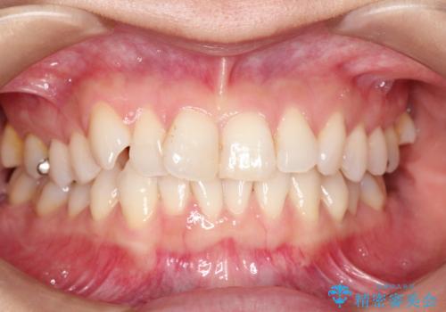
透明なマウスピースで前歯のガタツキを改善
治療症例の内容
- 診療科目
- 治療カテゴリ
- 担当医
- 患者様
- 20代女性
- 矯正装置
- インビザライン
- 治療期間
- 1年4ヶ月
- 治療回数
- 10-30回
- 治療計画
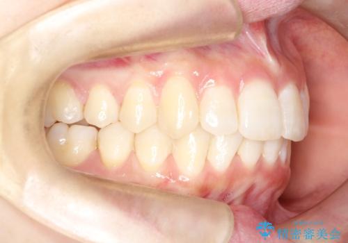
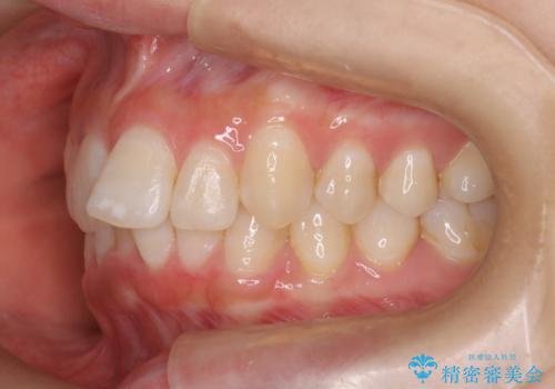
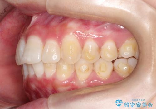
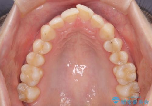
- 前歯のガタツキが気になると来院されました。
マウスピース矯正治療を選択しました。
- 費用(概算)
- 85.8万円費用は治療当時の料金となります
治療について
透明なアライナーを用いることで、矯正中も自然な笑顔を保ちつつ、快適に過ごすことができました。マウスピース矯正は、食事や歯磨きの際に取り外せるため、日常生活の質を保ちながら治療を進めることが可能です。歯並びに関するお悩みをお持ちの方、ぜひ一度ご相談にお越しください。専門のスタッフが丁寧に対応いたします。
マウスピース矯正の注意事項(リスク・副作用など)
- 口腔内・歯並びの状態によっては対応できない場合があります
- マウスピース型矯正装置の長時間装着(1日20時間以上)が必須です
- 治療計画通りに進めるためには、患者様の意志が重要になります
- 矯正治療後の保定が不十分だと後戻り(元の位置に戻ろうとする動き)をします
- 薬機法対象外の矯正歯科装置のため医薬品副作用被害救済制度の対象外となる場合があります
- 自費診療(保険適用外)となります
当サイトの内容、テキスト、画像等の無断転載、複製、複写、盗用を固く禁じます。















