症例詳細
Case detail
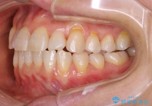
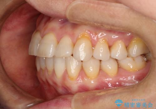
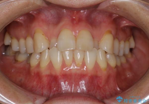
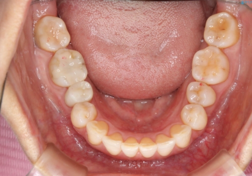
前歯の反対咬合、奥に引っ込んでしまっている歯をインビザラインで治療する
治療症例の内容
- 患者様
- 40代女性
- 矯正装置
- インビザライン
- 治療期間
- 1年6ヶ月
- 治療回数
- 10-30回
- 治療計画
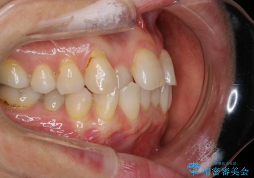
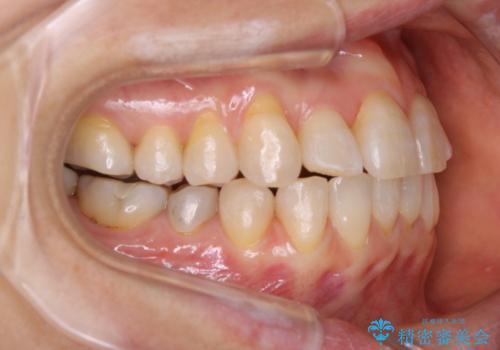
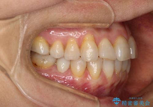
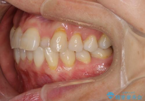
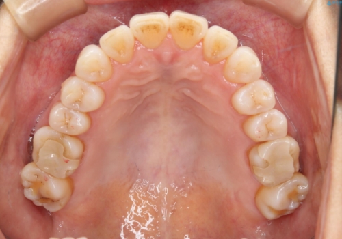
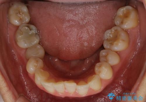
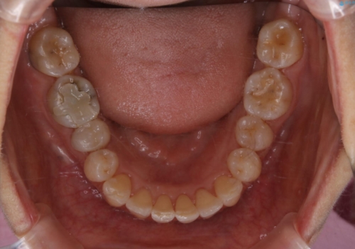
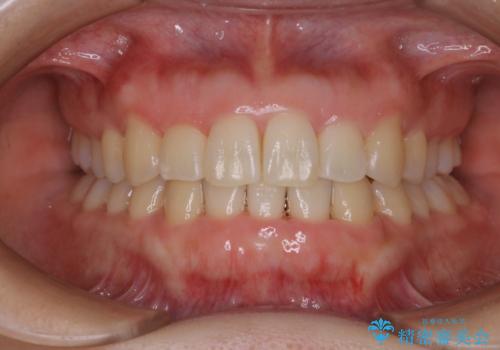
- インビザラインでの治療を希望した患者様です。
上の前歯の反対咬合があり、治療の途中で下の前歯を乗り越える必要があります。
インビザラインでこのような症例を行う場合、乗り越えるのに必要な期間が長くなります。
その為、奥歯で咬みにくい期間が長くなってしまいやすいです。
- 費用(概算)
- 83万円費用は治療当時の料金となります
治療について
前歯を乗り越える治療はワイヤーの方が有利ではありますが、インビザライン単独でも行うことができます。
患者様によっては乗り越えるタイミングだけワイヤーを装着し、そのあとでまたインビザラインに戻るという方もいらっしゃいます。
咬みにくい時期を最小限にしたい方はお勧めです。
マウスピース矯正の注意事項(リスク・副作用など)
- 口腔内・歯並びの状態によっては対応できない場合があります
- マウスピース型矯正装置の長時間装着(1日20時間以上)が必須です
- 治療計画通りに進めるためには、患者様の意志が重要になります
- 矯正治療後の保定が不十分だと後戻り(元の位置に戻ろうとする動き)をします
- 薬機法対象外の矯正歯科装置のため医薬品副作用被害救済制度の対象外となる場合があります
- 自費診療(保険適用外)となります
当サイトの内容、テキスト、画像等の無断転載、複製、複写、盗用を固く禁じます。















