症例詳細
Case detail
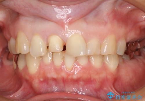
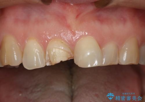
前歯が欠けたので治してほしい
治療症例の内容
- 診療科目
- 治療カテゴリ
- 担当医
- 小澤俊哉(ドクタープロフィール)
- 患者様
- 40代女性
- 治療期間
- 2ヶ月
- 治療回数
- 2-5回
- 治療計画
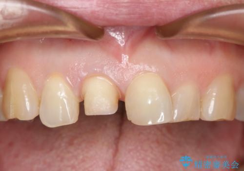
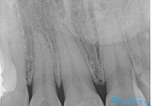
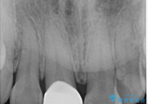
- 上顎前歯の歯冠部が破折した患者様です。神経にまでは到達していなかったので精密根管治療は行わず、審美性を考慮し、オールセラミッククラウンでの治療を選択しました。
- 費用(概算)
- 121000円(オールセラミッククラウン・スタンダード)費用は治療当時の料金となります
治療について
歯ぎしりのある患者様なので、就寝時にマウスピースを着用するようにお伝えしています。
セラミック治療の注意事項(リスク・副作用など)
- 天然歯を削ります
- 硬い素材は天然歯を傷つけてしまう場合があります
- かみ合わせや歯ぎしりが強すぎる方はセラミックが割れてしまう可能性があります
- 自費診療(保険適用外治療)となります
当サイトの内容、テキスト、画像等の無断転載、複製、複写、盗用を固く禁じます。











