症例詳細
Case detail
重度歯周病 抜歯後のブリッジ治療
治療症例の内容
- 診療科目
- 治療カテゴリ
- 担当医
- 大元洋佑(ドクタープロフィール)
- 患者様
- 30代女性
- 治療期間
- 4ヶ月
- 治療回数
- 2-5回
- 治療計画
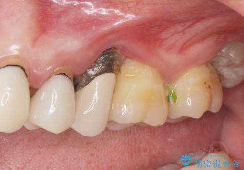
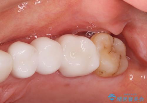
- 黒く変色し、ぐらぐらする歯の改善を求めて来院されました。
X線、歯周組織検査の結果、残すことができない歯周病の進行が左上小臼歯に認められました。
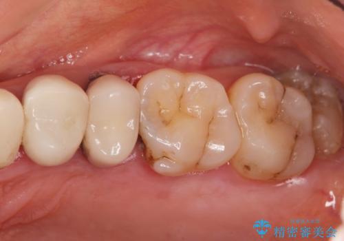
抜歯後は、インプラントではなくブリッジを選択されました。
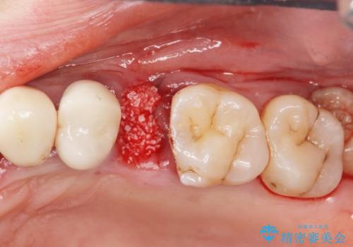
最終的なブリッジの清掃性を高めるため、歯ぐきのボリュームがこれ以上減少しないよう抜歯時に歯槽堤保存術を行うような工夫をしています。
- 費用(概算)
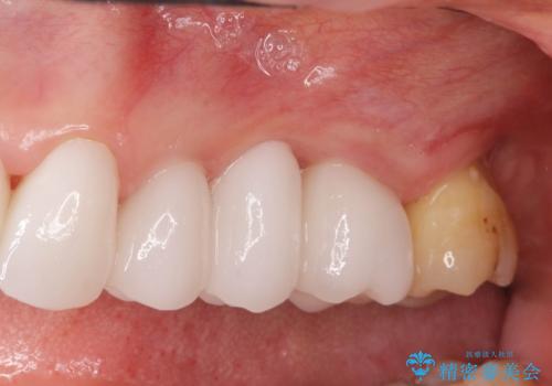
- 39.6万円(ジルコニアクラウン×3・仮歯×3)費用は治療当時の料金となります
治療について
治療前よりも高い位置で歯ぐきが保たれ、清掃性の高いブリッジ治療を行うことができました。
セラミック治療の注意事項(リスク・副作用など)
- 天然歯を削ります
- 硬い素材は天然歯を傷つけてしまう場合があります
- かみ合わせや歯ぎしりが強すぎる方はセラミックが割れてしまう可能性があります
- 自費診療(保険適用外治療)となります
当サイトの内容、テキスト、画像等の無断転載、複製、複写、盗用を固く禁じます。











