症例詳細
Case detail
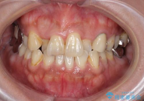
前歯が気になる。ブリッジによる治療。
治療症例の内容
- 診療科目
- 治療カテゴリ
- 担当医
- 青山卓弘(ドクタープロフィール)
- 患者様
- 40代女性
- 治療期間
- 7ヶ月
- 治療回数
- 2-5回
- 治療計画
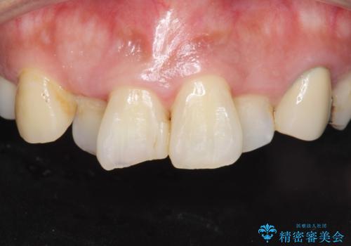
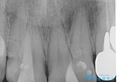
- 前歯のがたつきが気になるとの事で来院。
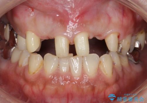
①矯正を行う(費用と時間がかかる)
②左右2番の歯を抜歯してブリッジの被せ物を入れる(矯正ほど費用、時間はかからない)
という計画を立てて患者様に選んでもらいました。
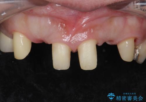
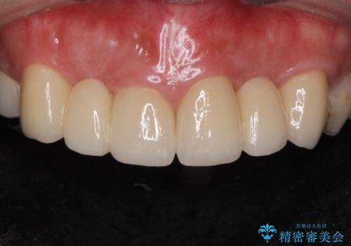
②の方を選択されましたので被せ物治療を行いました。
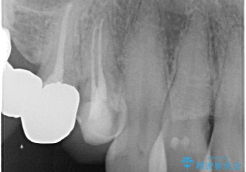
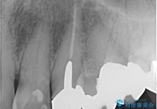
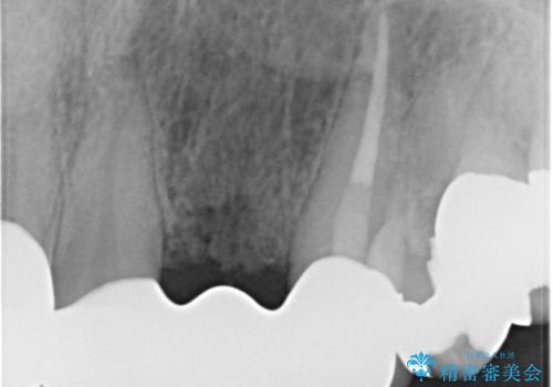
また、左上の犬歯の根の再治療も行いました。
- 費用(概算)
- ジルコニアクラウンスタンダード・仮歯 13.2万円×6 左上3精密根管治療(リトリートメント)・ファイバーコア 12.1万円費用は治療当時の料金となります
治療について
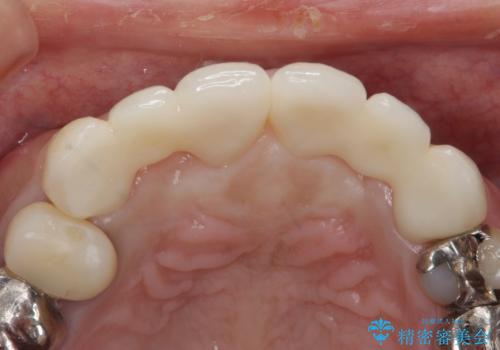
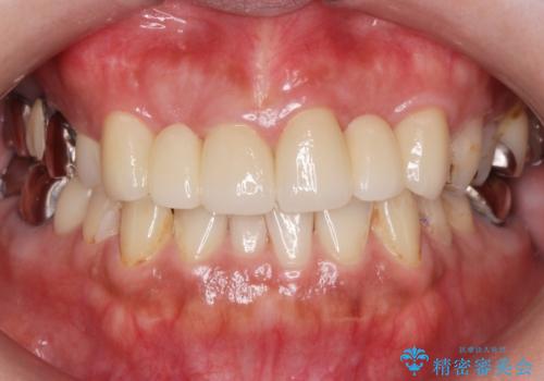
綺麗な被せ物が入りました。
最終的な被せ物は抜歯を行なってから半年経ってから形を整えて型取りを行います。
その他の注意事項(リスク・副作用など)
- 担当歯科医師、歯科衛生士又は医院スタッフから受けた説明・注意事項をよくご確認ください
- 医療を提供するに当たり、適切な説明を行い、患者様の十分な理解を得るよう努めております
根管治療の注意事項(リスク・副作用など)
- 根管治療により類似の全ての症例の問題が解決するわけではなく、症例はあくまでも一例です
- 根管治療により痛みや腫れがひかない事や、術後に痛みや腫れが生じる事、治療によるファイル破折やパーフォレーションなどの偶発症、術後の歯根破折を生じる可能性もあります
- 自費診療(保険適用外)となります
外科処置の注意事項(リスク・副作用など)
- 外科手術のため、術後に出血、痛みや腫れ、違和感を伴います
- 口腔内の状態によっては適応できないことがあります
セラミック治療の注意事項(リスク・副作用など)
- 天然歯を削ります
- 硬い素材は天然歯を傷つけてしまう場合があります
- かみ合わせや歯ぎしりが強すぎる方はセラミックが割れてしまう可能性があります
- 自費診療(保険適用外治療)となります
当サイトの内容、テキスト、画像等の無断転載、複製、複写、盗用を固く禁じます。


















