症例詳細
Case detail
前歯が取れてしまった ジルコニアクラウンでの修復
治療症例の内容
- 診療科目
- 治療カテゴリ
- 担当医
- 岡田康成(ドクタープロフィール)
- 患者様
- 40代女性
- 治療期間
- 1ヶ月
- 治療回数
- 2-5回
- 治療計画
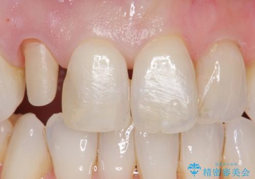
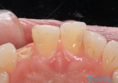
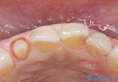
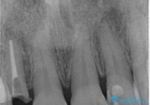
- 右上の前歯が取れたとのことで来院された患者様です。
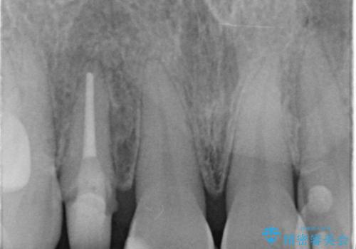
再根管治療からのやり直しをご提案しましたが、ご希望されなかったため土台(コア)のやりかえからとなりました。
- 費用(概算)
- 右上2 仮歯/11,000円 ファイバーコア/22,000円 ジルコニアクラウン(スペシャル)/154,000円 合計187,000円費用は治療当時の料金となります
治療について
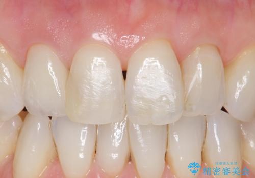
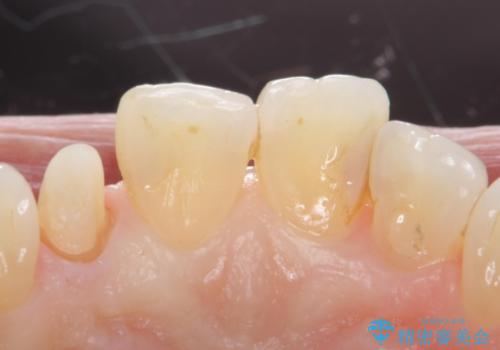
他の歯との調和のとれたクラウンを装着することができ大変喜んでいただけました。
セラミック治療の注意事項(リスク・副作用など)
- 天然歯を削ります
- 硬い素材は天然歯を傷つけてしまう場合があります
- かみ合わせや歯ぎしりが強すぎる方はセラミックが割れてしまう可能性があります
- 自費診療(保険適用外治療)となります
当サイトの内容、テキスト、画像等の無断転載、複製、複写、盗用を固く禁じます。













