症例詳細
Case detail
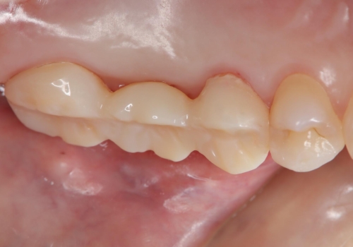
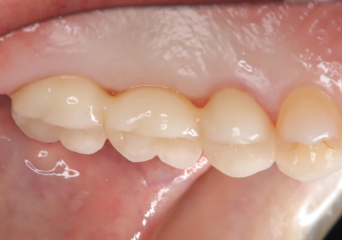
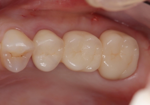
メタルフリー治療 保険の金属ブリッジから、自費のセラミックブリッジへ
治療症例の内容
- 診療科目
- 担当医
- 高悠莉(ドクタープロフィール)
- 患者様
- 20代女性
- 治療期間
- 2ヶ月
- 治療回数
- 2-5回
- 治療計画
- 定期メンテナンスに来院された患者様です。口元が暗く見える金属を外したいとのことで、保険治療の金属ブリッジから自費治療のセラミックブリッジへやりかえを行いました。
- 費用(概算)
- 363,000円(税込み)費用は治療当時の料金となります
型どりの材料について
今回の型どりには、ひずみの少ないシリコン材料を使用しています。保険診療で一般的に用いられる寒天アルジネート印象では、口腔内からの撤去の際に永久変形が生じやすいというデメリットがあります。そのため完成品に寸法の狂いが生じやすいといわれています。特にブリッジのような大型の修復物については、自費診療のシリコン材料でしっかりと精度の良いものを使用することが望ましいです。
セラミック治療の注意事項(リスク・副作用など)
- 天然歯を削ります
- 硬い素材は天然歯を傷つけてしまう場合があります
- かみ合わせや歯ぎしりが強すぎる方はセラミックが割れてしまう可能性があります
- 自費診療(保険適用外治療)となります
当サイトの内容、テキスト、画像等の無断転載、複製、複写、盗用を固く禁じます。











