症例詳細
Case detail
【抜歯】口元を引っ込めたい ワイヤー矯正
治療症例の内容
- 担当医
- 今村大二郎(ドクタープロフィール)
- 患者様
- 20代 女性
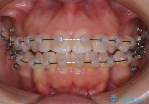
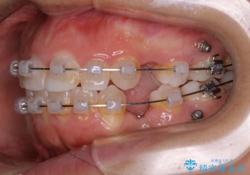
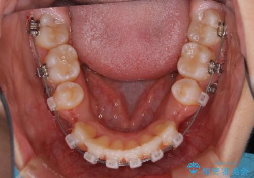
- 矯正装置
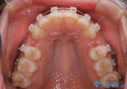
- ワイヤー(クリア装置)
- 治療期間
- 2年6ヶ月
- 治療回数
- 30回以上
- 治療計画
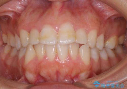
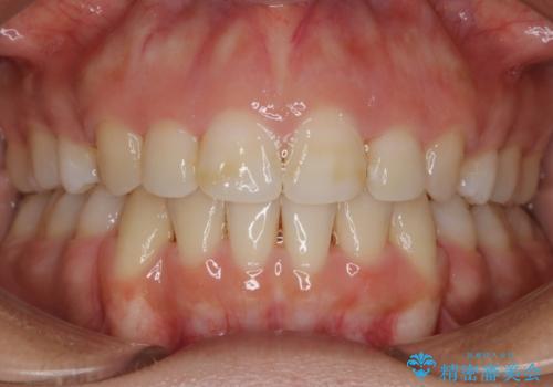
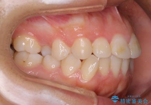
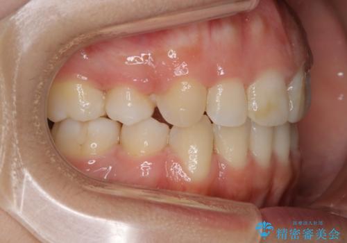
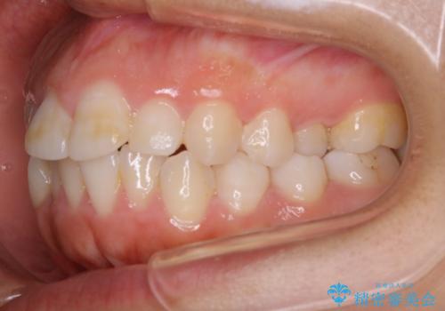
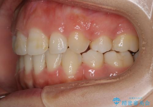
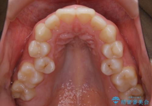
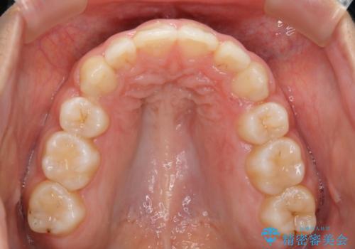
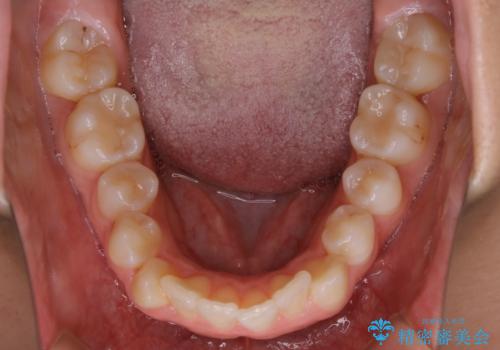
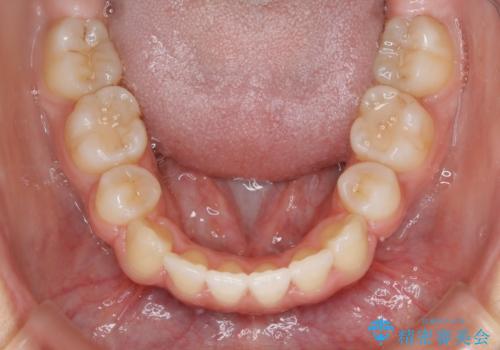
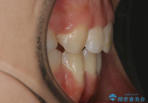
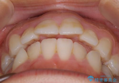
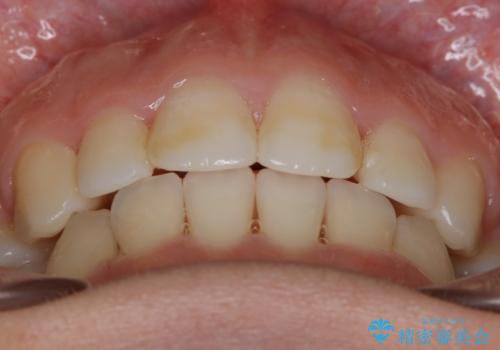
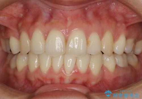
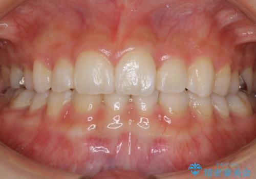
- 口元を下げたいという主訴でご来院されました。
ガタつきの度合いは軽度でしたが歯列の幅が狭く、その分前歯が上下とも前方に出てしまっていました。
しっかりと口元・顔貌まで変化を起こせるように上下左右の第一小臼歯を抜歯し、ワイヤー装置にて矯正を開始することとなりました。
- 費用(概算)
- 税込¥990,000 (ワイヤー装置+マイクロインプラント費用)費用は治療当時の料金となります
抜歯矯正
叢生(ガタつき)が強い場合や上下もしくはどちらかの歯が前方に出ている場合、その問題を解決するためのスペース作りのため抜歯をすることがあります。
多くのケースは第一小臼歯を抜歯することで並べたい前歯のすぐ近くにスペースを作りガタつきや出っ歯を改善していきます。
ワイヤー矯正の注意事項(リスク・副作用など)
- 治療中は違和感や痛みが起こることがあります
- 症状により、抜歯が必要な場合があります
- 治療中は歯磨きがしにくくなるため、虫歯や歯周病になりやすくなります
- 矯正治療後の保定が不十分だと後戻り(元の位置に戻ろうとする動き)をします
- 自費診療(保険適用外)となります
当サイトの内容、テキスト、画像等の無断転載、複製、複写、盗用を固く禁じます。





















