症例詳細
Case detail
金属のブリッジをやり替えたい
治療症例の内容
- 診療科目
- 治療カテゴリ
- 担当医
- 齋藤佑磨(ドクタープロフィール)
- 患者様
- 20代男性
- 治療期間
- 2ヶ月
- 治療回数
- 2-5回
- 治療計画
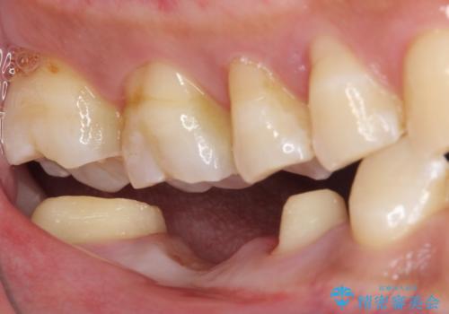
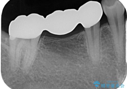
- 以前他院にて、保険診療で治療した金属のブリッジをやり替え希望の患者様です。
奥歯であっても、大きく笑うと金属色が目立ちます。
金属ブリッジを除去し、虫歯を完全に除去し、形を整え、
精度の高いシリコーン材料にて型どりをしました。
- 費用(概算)
- 30万円(税込)費用は治療当時の料金となります
治療について
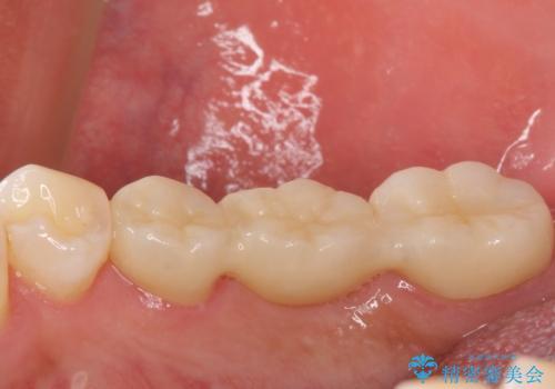
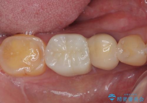
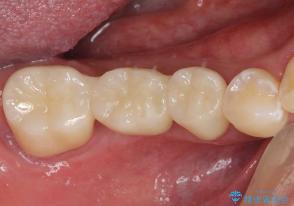
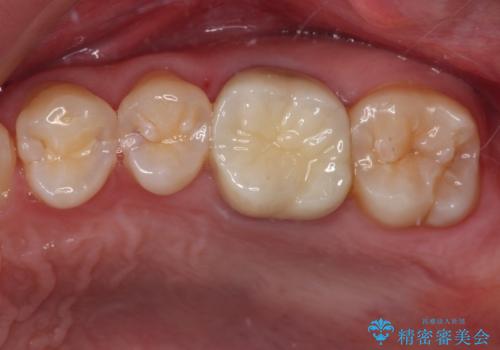
精度の高いブリッジなので、しみるなどの症状もなく経過も良好です。
セラミック治療の注意事項(リスク・副作用など)
- 天然歯を削ります
- 硬い素材は天然歯を傷つけてしまう場合があります
- かみ合わせや歯ぎしりが強すぎる方はセラミックが割れてしまう可能性があります
- 自費診療(保険適用外治療)となります
当サイトの内容、テキスト、画像等の無断転載、複製、複写、盗用を固く禁じます。











