症例詳細
Case detail
犬歯が歯ぐきにうまっている 真ん中のずれ、出っ歯を治したい
治療症例の内容
- 担当医
- 井上季実子(ドクタープロフィール)
- 患者様
- 30代女性
- 治療期間
- 2年10ヶ月
- 治療回数
- 30回以上
- 治療計画
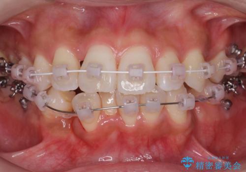
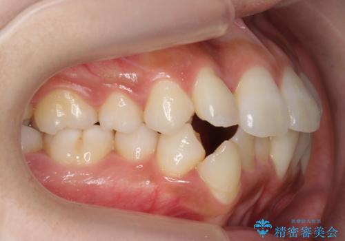
- 出っ歯を主訴に来院。
右上の犬歯が内側に生えていました。
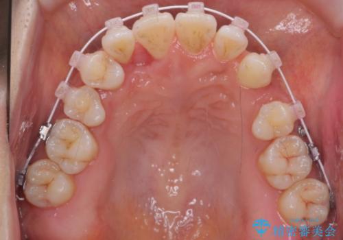
右上の半分埋まっている犬歯を抜歯し、残り上下左右3本抜歯してワイヤー矯正を行いました。
- 費用(概算)
- 110万円費用は治療当時の料金となります
治療について
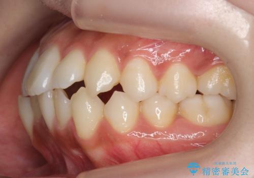
前歯が斜めになっているのもだいぶ改善しました。
犬歯の抜歯後は骨が少ない状態なのでブラックトライアングルは出てしまいましたが事前に説明をしております。
ワイヤー矯正の注意事項(リスク・副作用など)
- 治療中は違和感や痛みが起こることがあります
- 症状により、抜歯が必要な場合があります
- 治療中は歯磨きがしにくくなるため、虫歯や歯周病になりやすくなります
- 矯正治療後の保定が不十分だと後戻り(元の位置に戻ろうとする動き)をします
- 自費診療(保険適用外)となります
当サイトの内容、テキスト、画像等の無断転載、複製、複写、盗用を固く禁じます。
























