症例詳細
Case detail
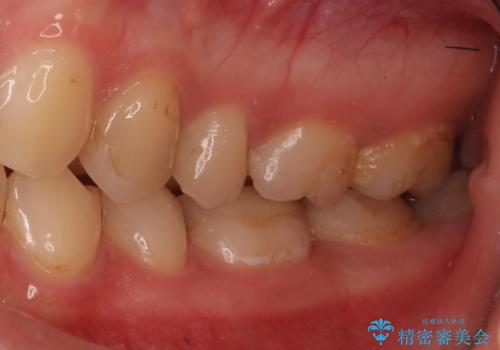
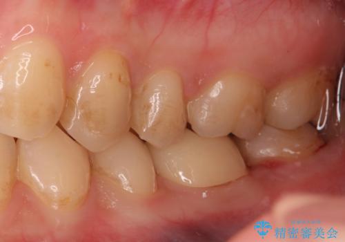
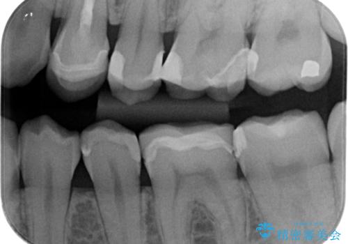
精度の低い詰め物のやり替え
治療症例の内容
- 診療科目
- 担当医
- 井上季実子(ドクタープロフィール)
- 患者様
- 30代女性
- 治療期間
- 1ヶ月
- 治療回数
- 2-5回
- 治療計画
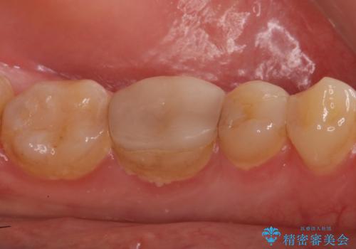
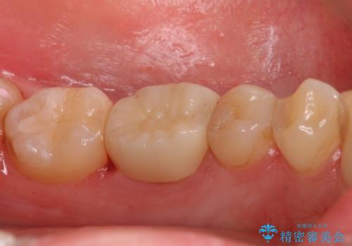
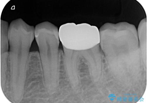
- セラミックのつめものの精度が低かったためやり直しを行いました。
歯の高さがなく、またセラミックアンレーは割れるリスクが高いため、セラミックのアンレーとはせず、クラウンとし、さらに割れにくいようにヴェレッツァクラウンとしました。
- 費用(概算)
- 合計 17.6万円(内訳 左下7:e-max インレー 7.7万円、左下6:セラミッククラウン(ヴェレッツア 8.8万円)、仮歯 1.1万円)費用は治療当時の料金となります
治療について
裏側の歯ブラシも当たっておらずプラークが多く付着していたため合わせて歯磨き練習も行いました。
セラミック治療の注意事項(リスク・副作用など)
- 天然歯を削ります
- 硬い素材は天然歯を傷つけてしまう場合があります
- かみ合わせや歯ぎしりが強すぎる方はセラミックが割れてしまう可能性があります
- 自費診療(保険適用外治療)となります
当サイトの内容、テキスト、画像等の無断転載、複製、複写、盗用を固く禁じます。








