症例詳細
Case detail
目立たない裏側装置でデコボコをきれいに解消
治療症例の内容
- 診療科目
 
- 担当医
 - 藤巻太一朗(ドクタープロフィール)
 
- 患者様
 - 30代女性
 
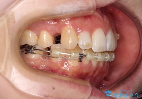
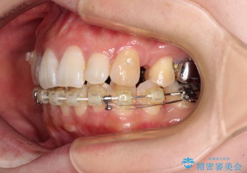
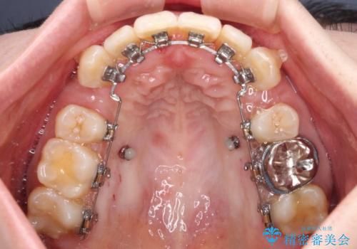
- 矯正装置
 - ハーフリンガル
 
- 治療期間
 - 4年
 
- 治療回数
 - 30回以上
 
- 治療計画
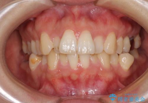
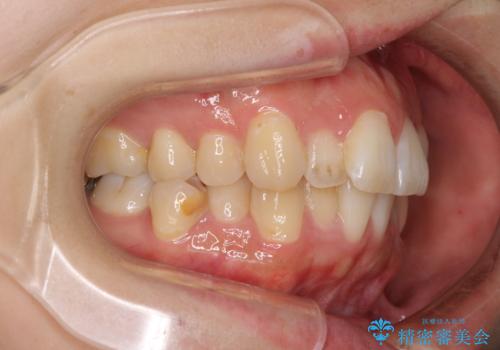
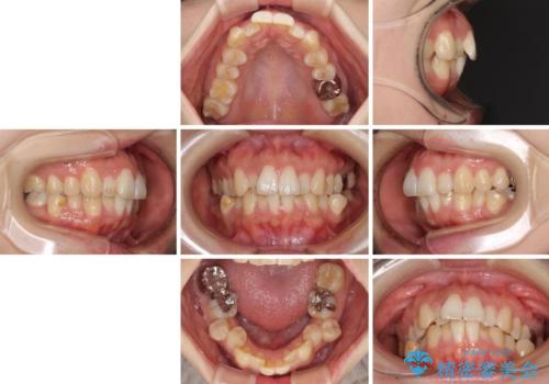
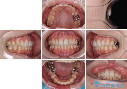
 - 前歯のデコボコを気にして来院された患者様です。
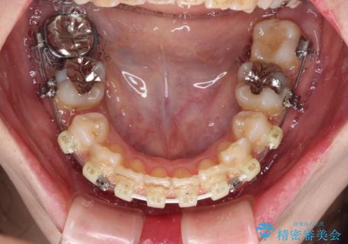
非抜歯矯正にて治療を行うと、仕上がりで口元が突出する可能性があったため、小臼歯抜歯での矯正治療を行うこととしました。
上顎は左右の第一小臼歯2本を、下顎は左右の第二小臼歯2本を抜歯して、口元が突出しないようにしながら、奥歯の咬み合わせを改善していく治療計画としました。
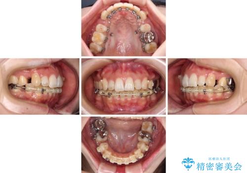
目立たない装置が希望であったため、上顎が裏側装置である、ハーフリンガル装置を選択されました。 
- 費用(概算)
 - 治療費の目安: 130万円(税込)費用は治療当時の料金となります
 
治療について
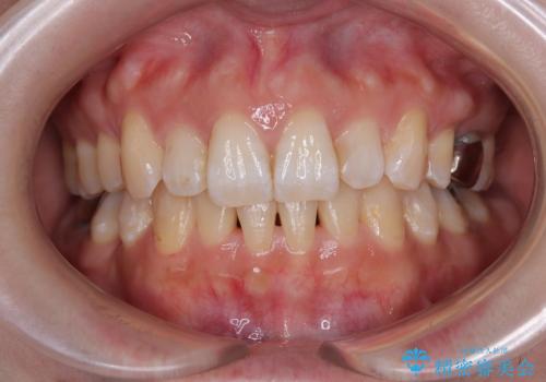
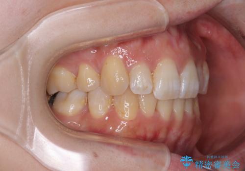
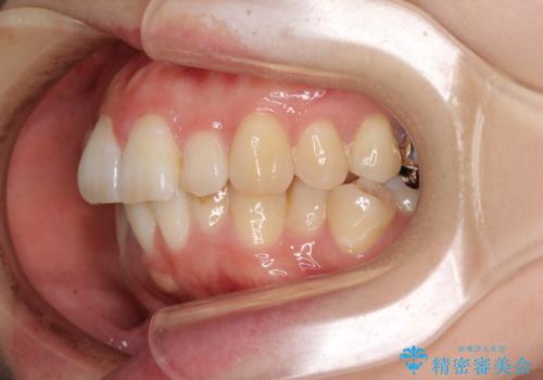
第二小臼歯抜歯としたため、治療期間は長くなりましたが、満足のいく仕上がりとなりました。
ワイヤー矯正の注意事項(リスク・副作用など)
- 治療中は違和感や痛みが起こることがあります
 - 症状により、抜歯が必要な場合があります
 - 治療中は歯磨きがしにくくなるため、虫歯や歯周病になりやすくなります
 - 矯正治療後の保定が不十分だと後戻り(元の位置に戻ろうとする動き)をします
 - 自費診療(保険適用外)となります
 
当サイトの内容、テキスト、画像等の無断転載、複製、複写、盗用を固く禁じます。

                      
                                                          
























