症例詳細
Case detail
【モニター】オープンバイトをインビザライン矯正で治す
治療症例の内容
- 診療科目
- 治療カテゴリ
- 担当医
- 藤巻太一朗(ドクタープロフィール)
- 患者様
- 20代女性
- 矯正装置
- インビザライン
- 治療期間
- 1年10ヶ月
- 治療回数
- 5-10回
- 治療計画
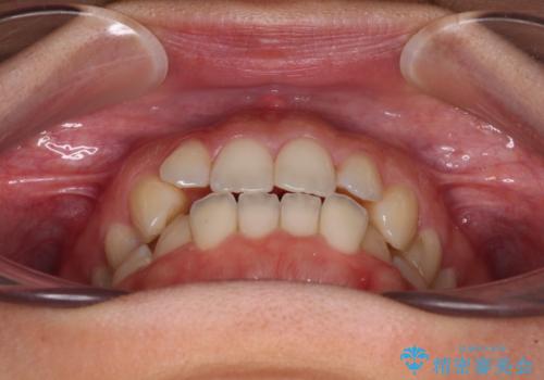
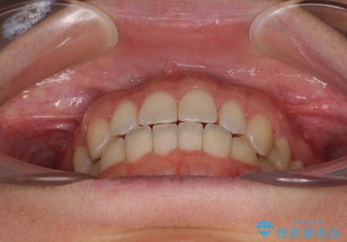
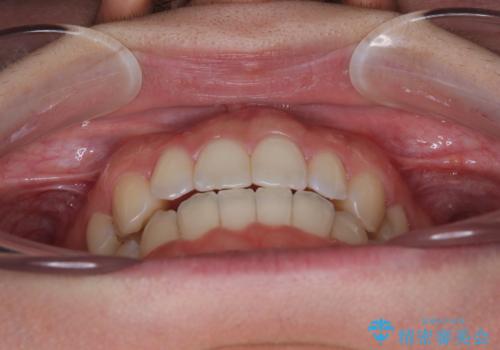
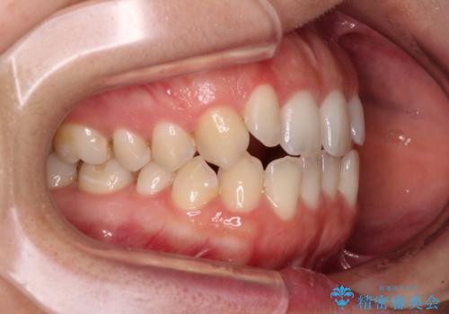
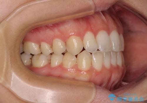
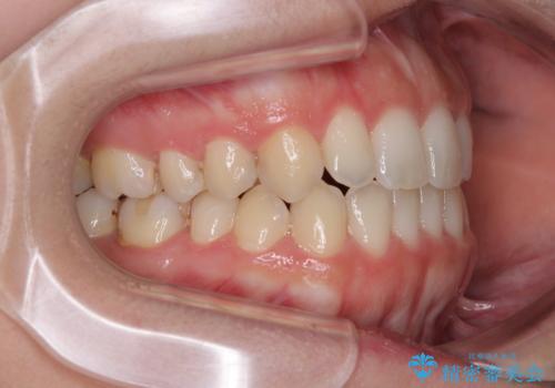
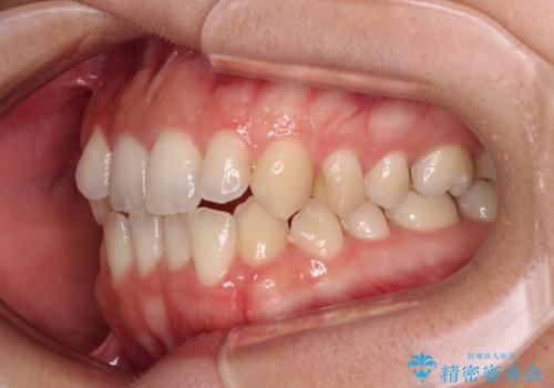
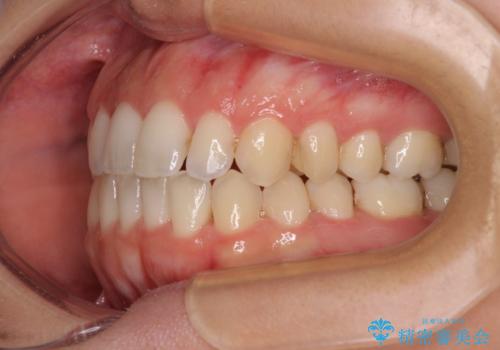
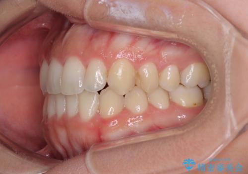
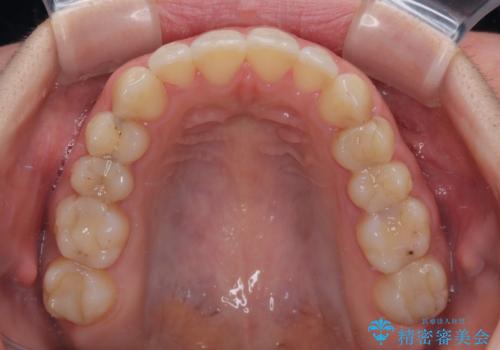
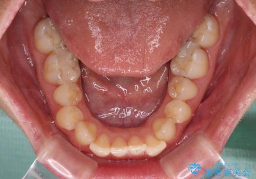
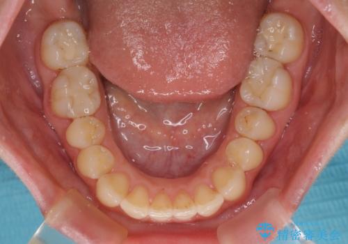
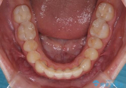
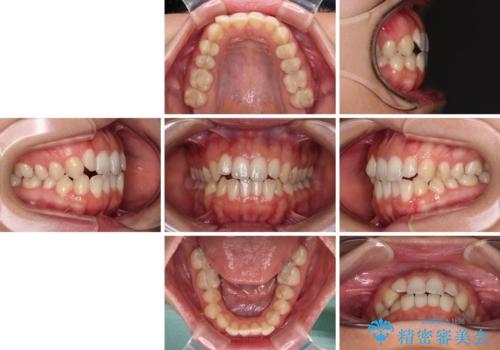
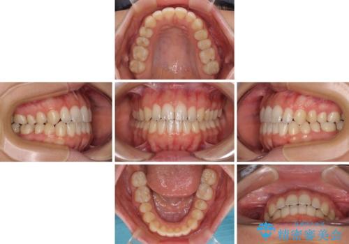
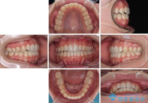
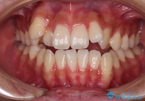
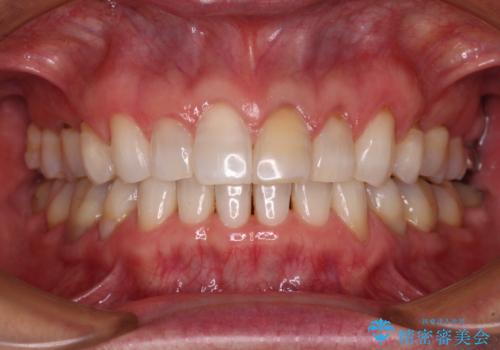
- 前歯の開咬を気にして来院された患者様です。
 開咬の治療は、前歯を閉じるように動かすとともに、上下臼歯を圧下(骨内にめり込ませる)させることで進めて行きます。
 インビザラインは臼歯の圧下を効果的に行えるため、インビザラインを用いて矯正治療を行うこととしました。
- 費用(概算)
- 治療費の目安: 75万円(税込)費用は治療当時の料金となります
※顔写真掲載にあたり、患者様の了解を得ております
治療について
オープンバイトは舌の突出癖により誘発され、治療後も突出癖が残っている容易に後戻りしてしまいます。
治療期間を短縮するためにも、舌突出癖の改善が極めて重要となります。
マウスピース矯正の注意事項(リスク・副作用など)
- 口腔内・歯並びの状態によっては対応できない場合があります
- マウスピース型矯正装置の長時間装着(1日20時間以上)が必須です
- 治療計画通りに進めるためには、患者様の意志が重要になります
- 矯正治療後の保定が不十分だと後戻り(元の位置に戻ろうとする動き)をします
- 薬機法対象外の矯正歯科装置のため医薬品副作用被害救済制度の対象外となる場合があります
- 自費診療(保険適用外)となります
当サイトの内容、テキスト、画像等の無断転載、複製、複写、盗用を固く禁じます。








 
                       
                                                          


























 
                   
                   
                  