症例詳細
Case detail
奥歯のブリッジが痛い オールセラミックブリッジでのむし歯治療
治療症例の内容
- 診療科目
- 治療カテゴリ
- 担当医
- 藤巻太一朗(ドクタープロフィール)
- 患者様
- 50代男性
- 治療期間
- 5ヶ月
- 治療回数
- 5-10回
- 治療計画
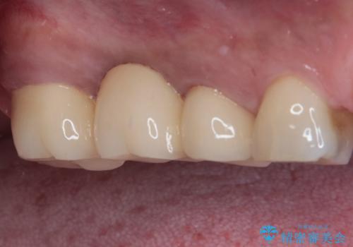
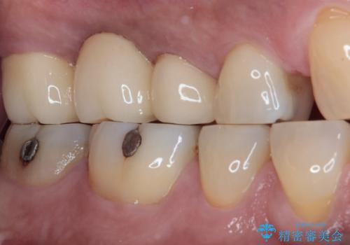
- 奥歯のブリッジに違和感があるとのことで来院された患者様です。
土台となっている最後方の歯に痛みがあるようで、むし歯処置あるいは根管治療を行う前提で金属ブリッジを除去することとしました。
ブリッジ除去後痛みが引いたことを確認し、オールセラミックブリッジによる補綴治療を行うこととしました。
- 費用(概算)
- 治療費の目安: 55万円(税込)費用は治療当時の料金となります
治療について
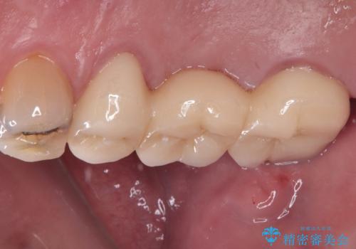
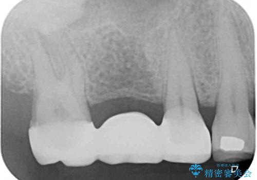
銀歯に隠れていて術前のレントゲンでははっきりと分かりませんでしたが、元々非常に大きなむし歯があったようで、銀歯の中で神経組織が壊死を起こしていました。
速やかに根管治療を行い、無事に痛みを取り除くことができました。
セラミック治療の注意事項(リスク・副作用など)
- 天然歯を削ります
- 硬い素材は天然歯を傷つけてしまう場合があります
- かみ合わせや歯ぎしりが強すぎる方はセラミックが割れてしまう可能性があります
- 自費診療(保険適用外治療)となります
当サイトの内容、テキスト、画像等の無断転載、複製、複写、盗用を固く禁じます。










