症例詳細
Case detail
【セラミッククラウン】歯並びも綺麗になったし歯も白くしたい
治療症例の内容
- 診療科目
- 治療カテゴリ
- 担当医
- 町田睦月(ドクタープロフィール)
- 患者様
- 20代女性
- 治療期間
- 1ヶ月
- 治療回数
- 2-5回
- 治療計画
- 主訴:矯正で歯並びが綺麗になったので、歯自体も綺麗にしたい
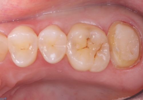
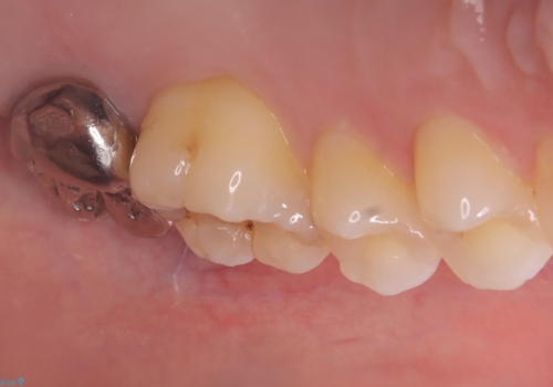
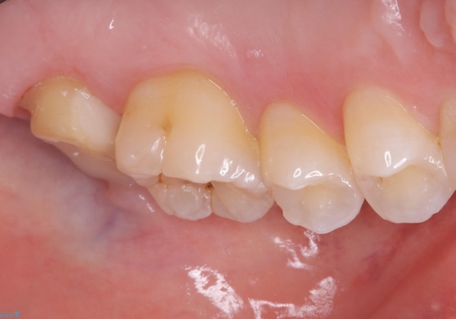
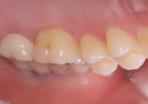
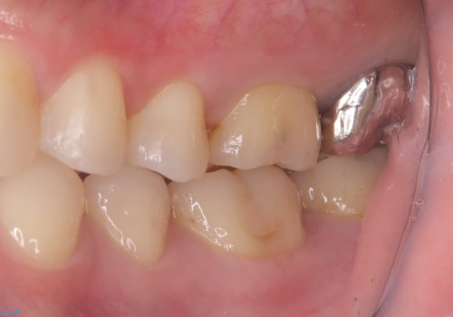
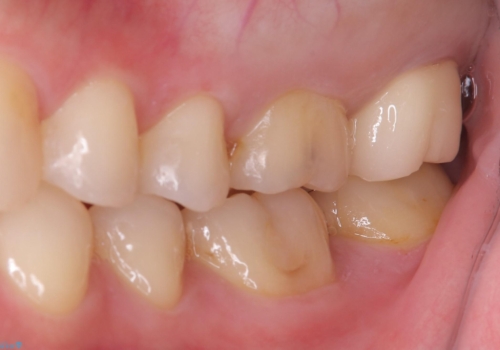
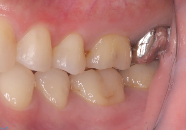
左上7番に入っている保険適用のメタルクラウンを審美性、適合性、清掃性を考慮しセラミッククラウンでのやり替えとしました。
- 費用(概算)
- 132,000円費用は治療当時の料金となります
治療について
当院にて動的矯正治療を終了し、保定期間中の患者さんです。
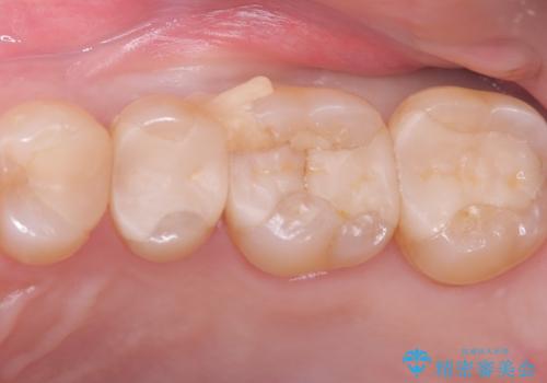
メタルクラウンを除去し、セラミッククラウンに必要な厚みを形成し直しクラウンを作成しています。
治療費内訳
・オールセラミッククラウン(スタンダード) 121,000円(税込み)
・仮歯 11,000円(税込み)
セラミック治療の注意事項(リスク・副作用など)
- 天然歯を削ります
- 硬い素材は天然歯を傷つけてしまう場合があります
- かみ合わせや歯ぎしりが強すぎる方はセラミックが割れてしまう可能性があります
- 自費診療(保険適用外治療)となります
当サイトの内容、テキスト、画像等の無断転載、複製、複写、盗用を固く禁じます。











