症例詳細
Case detail
銀歯を白くしたい。(インプラント治療)
治療症例の内容
- 患者様
- 20代男性
- 治療期間
- 1年
- 治療回数
- 5-10回
- 治療計画
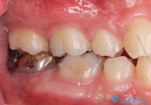
- 銀歯を白くしたいとのことで来院。
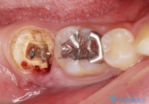
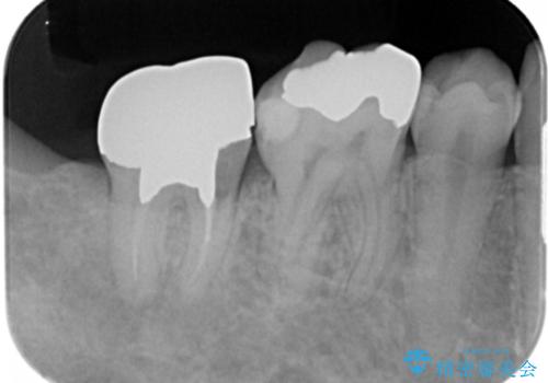
右下の被せ物を外し虫歯を除去したところ虫歯が深く保存が難しい状態だったので抜歯を行いました。
手前の銀の詰め物のところは除去して拡大鏡下で虫歯を取り除き、ジルコニアクラウンで治療を行いました。
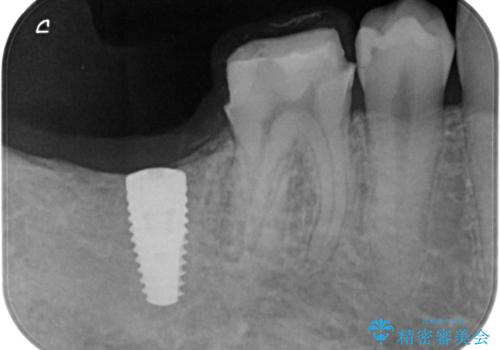
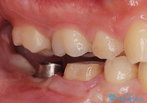
抜歯したところは抜歯後骨の治癒を待ち、CTを撮影しインプラント治療ができる事(骨の厚みなど)確認し治療を行いました。
- 費用(概算)
- ジルコニアクラウン・仮歯 12.1万円 ジルコニアクラウン・インプラント用仮歯 14.3万円 インプラント体 22万円 アバットメント 5万円費用は治療当時の料金となります
治療について
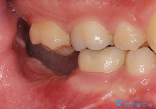
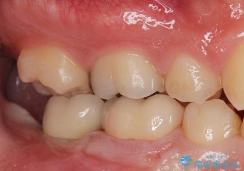
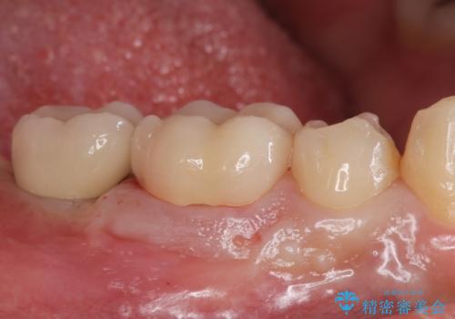
白くて綺麗な被せ物が入りました。
インプラントを入れた後は定期的なメンテナンスが必要になります。
外科処置の注意事項(リスク・副作用など)
- 外科手術のため、術後に出血、痛みや腫れ、違和感を伴います
- 口腔内の状態によっては適応できないことがあります
その他の注意事項(リスク・副作用など)
- 担当歯科医師、歯科衛生士又は医院スタッフから受けた説明・注意事項をよくご確認ください
- 医療を提供するに当たり、適切な説明を行い、患者様の十分な理解を得るよう努めております
インプラント治療の注意事項(リスク・副作用など)
- 外科手術のため、術後に痛みや腫れ、違和感を伴います
- メンテナンスを怠ったり喫煙により、お口の中に大きな悪影響を及ぼすインプラント周囲炎等にかかる可能性があります
- 糖尿病、肝硬変、心臓病等の場合、インプラント治療ができない可能性があります
- 高血圧、貧血・不整脈等の場合、インプラント治療後に治癒不全を招く可能性があります
- 自費診療(保険適用外治療)となります
セラミック治療の注意事項(リスク・副作用など)
- 天然歯を削ります
- 硬い素材は天然歯を傷つけてしまう場合があります
- かみ合わせや歯ぎしりが強すぎる方はセラミックが割れてしまう可能性があります
- 自費診療(保険適用外治療)となります
当サイトの内容、テキスト、画像等の無断転載、複製、複写、盗用を固く禁じます。






















