症例詳細
Case detail
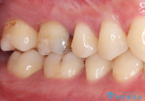
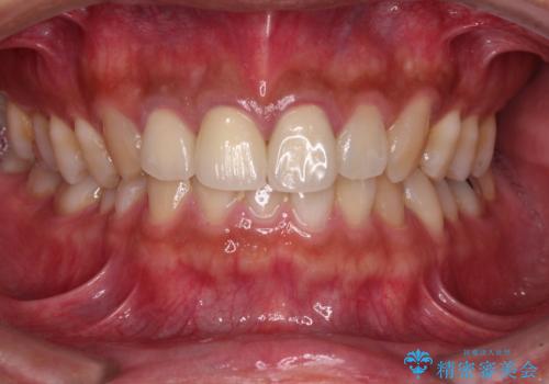
銀歯を白くしたい
治療症例の内容
- 診療科目
- 治療カテゴリ
- 担当医
- 齋藤佑磨(ドクタープロフィール)
- 患者様
- 20代男性
- 治療期間
- 1ヶ月
- 治療回数
- 2-5回
- 治療計画
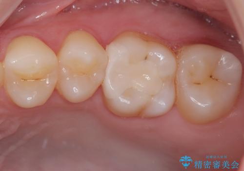
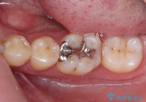
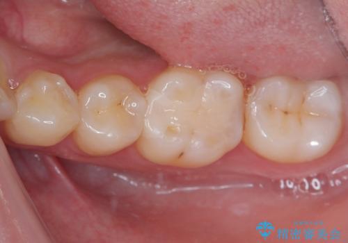
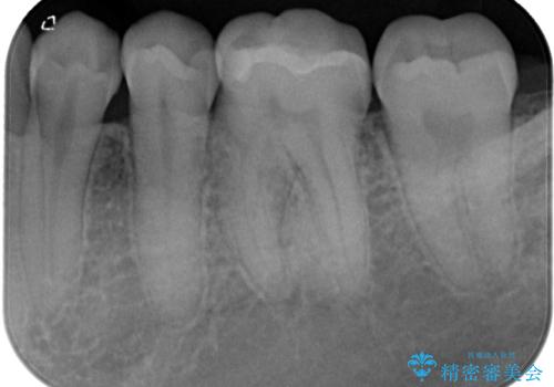
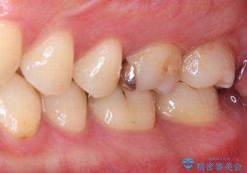
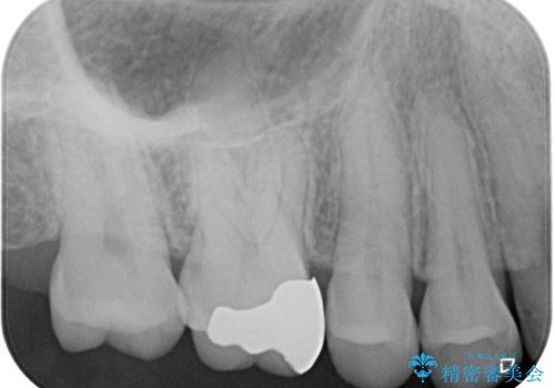
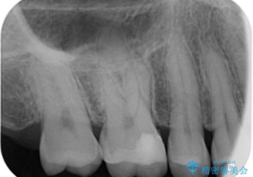
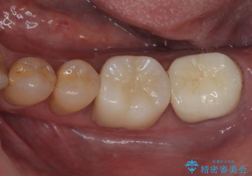
- 数年前他院にて治療した銀歯をやり替え希望の患者様です。
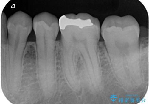
拡大鏡下で、銀歯、むし歯の除去を行い、セラミックインレーに適した形に整えました。
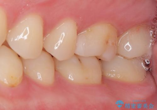
精度の良いインレーを製作するために、シリコーンにて型どりしました。
また確実な接着操作を行うために、インレーを接着する際にはラバーダム防湿を行いました。
- 費用(概算)
- 21万円(税込) ※3歯費用は治療当時の料金となります
治療について
銀歯を気にせずに笑うことができると満足していただきました。
セラミック治療の注意事項(リスク・副作用など)
- 天然歯を削ります
- 硬い素材は天然歯を傷つけてしまう場合があります
- かみ合わせや歯ぎしりが強すぎる方はセラミックが割れてしまう可能性があります
- 自費診療(保険適用外治療)となります
当サイトの内容、テキスト、画像等の無断転載、複製、複写、盗用を固く禁じます。



















