症例詳細
Case detail
【セラミックインレー】銀の詰め物を白くしていきたい
治療症例の内容
- 診療科目
- 治療カテゴリ
- 担当医
- 町田睦月(ドクタープロフィール)
- 患者様
- 40代女性
- 治療期間
- 1ヶ月
- 治療回数
- 2-5回
- 治療計画
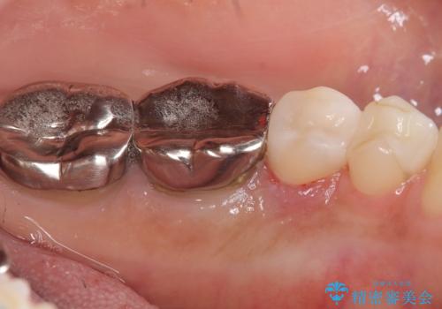
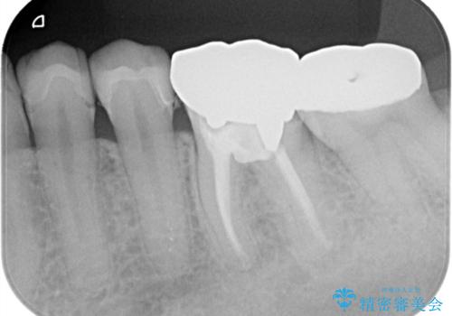
- 主訴:銀の詰め物が何本か入っているので白くしていきたい
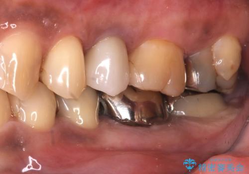
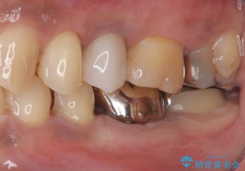
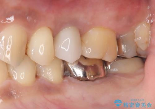
保険適用のメタルインレーのやり替え希望だったため、審美性・適合性の良いセラミックインレーでのやり替えとなりました。
- 費用(概算)
- 77,000円費用は治療当時の料金となります
治療について
メタルインレーを除去したところ、二次カリエスうを確認したため除去・CR裏層の後、形成・印象しています。
セラミックインレーの接着操作時にはラバーダム防湿を行っています。
セラミック治療の注意事項(リスク・副作用など)
- 天然歯を削ります
- 硬い素材は天然歯を傷つけてしまう場合があります
- かみ合わせや歯ぎしりが強すぎる方はセラミックが割れてしまう可能性があります
- 自費診療(保険適用外治療)となります
当サイトの内容、テキスト、画像等の無断転載、複製、複写、盗用を固く禁じます。











