症例詳細
Case detail
【非抜歯】インビザラインでガタつきと口元を改善!非抜歯でも印象が変わる矯正治療
治療症例の内容
- 患者様
- 20代 女性
- 矯正装置
- マウスピース(インビザライン)
- 治療期間
- 2年3ヶ月
- 治療回数
- 10-30回
- 治療計画
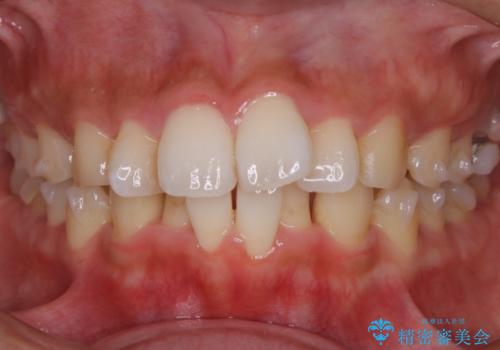
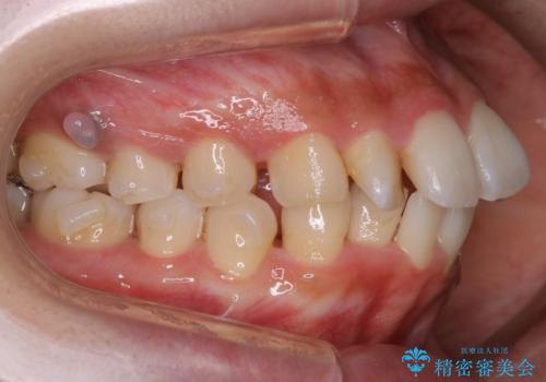
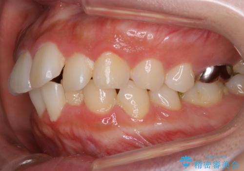
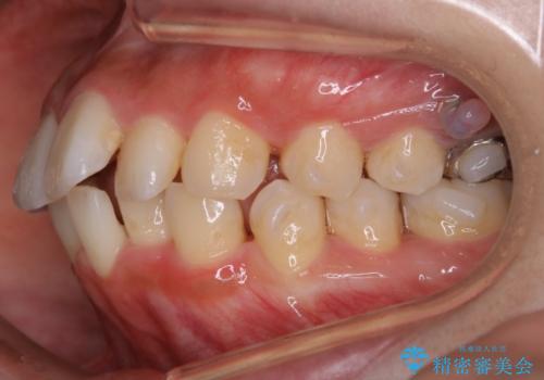
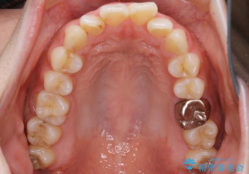
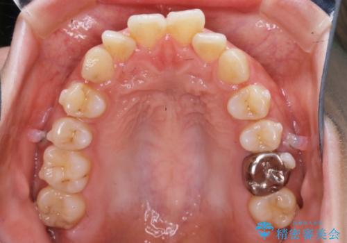
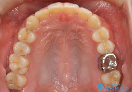
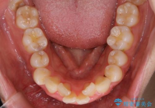
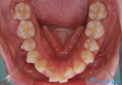
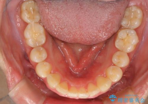
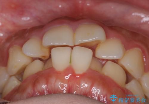
- 歯のガタつきと口元の突出感を主訴に来院されました。
装置の希望がインビザラインだったため、非抜歯でインビザラインの特徴を最大限に生かして行う矯正治療を選択しました。
顔貌写真でも明らかに口の閉じやすさやEラインが改善している様子が分かります。
- 費用(概算)
- 税込 ¥968,000- (インビザライン コンプリヘンシブパッケージ + マイクロインプラント)費用は治療当時の料金となります
インビザラインで口元の変化
一般的に口元を下げるための治療というと抜歯矯正を思い浮かべる方が多いかと思います。そもそもガタつきを治したり歯を引っ込めるためのスペースの作り方には大きく分けて4種類の方法があります。
①抜歯 ②歯列の幅の拡大 ③IPR(歯の幅を削って小さくする) ④歯の後方移動 です。
インビザラインの登場により抜歯以外の3種類の方法を効率よく活用することができるようになりました。
そのため、非抜歯でも口元の環境が改善するケースがあります。
マウスピース矯正の注意事項(リスク・副作用など)
- 口腔内・歯並びの状態によっては対応できない場合があります
- マウスピース型矯正装置の長時間装着(1日20時間以上)が必須です
- 治療計画通りに進めるためには、患者様の意志が重要になります
- 矯正治療後の保定が不十分だと後戻り(元の位置に戻ろうとする動き)をします
- 薬機法対象外の矯正歯科装置のため医薬品副作用被害救済制度の対象外となる場合があります
- 自費診療(保険適用外)となります
当サイトの内容、テキスト、画像等の無断転載、複製、複写、盗用を固く禁じます。























