症例詳細
Case detail
【非抜歯】マウスピースでオープンバイトを治す
治療症例の内容
- 担当医
- 今村大二郎(ドクタープロフィール)
- 患者様
- 40代 女性
- 矯正装置
- マウスピース(インビザライン)
- 治療期間
- 1年
- 治療回数
- 5-10回
- 治療計画
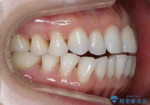
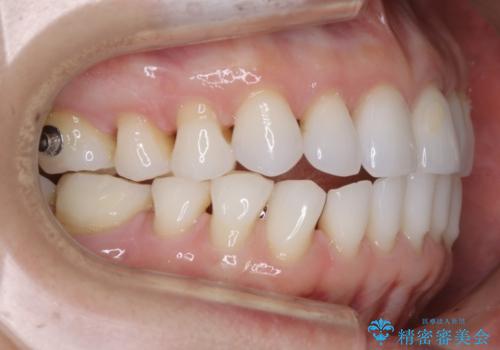
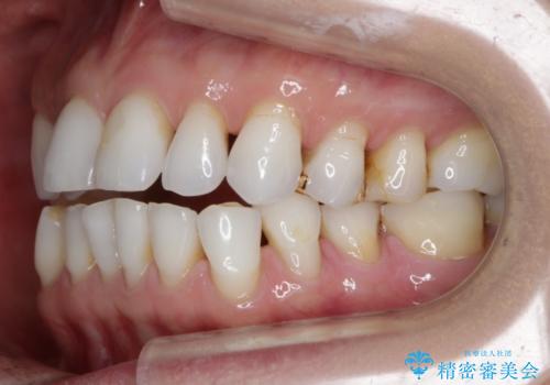
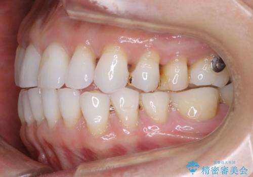
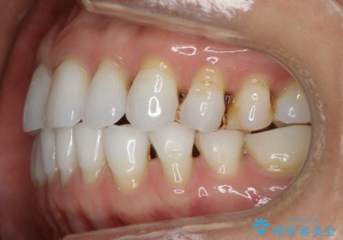
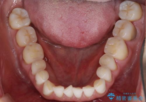
- 歯ぎしりや食いしばり、噛み合わせの治療とガタつきを治したいとのことでご来院されました。
検査の結果、前歯と臼歯の高さに差があり、前歯が全く当たらない状態になっているため歯ぎしりによって奥歯が削れてしまっているという状態でした。
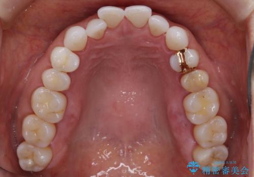
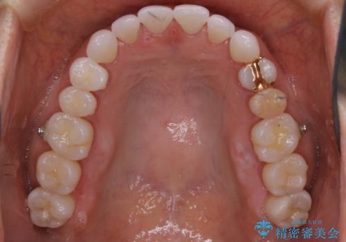
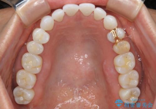
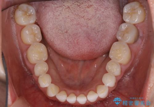
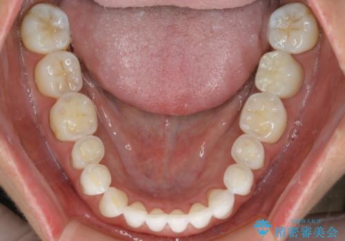
マウスピースの矯正装置を用い、ガタつきを治しつつ奥歯を沈めていくことで噛み合わせ全体の改善を図りました。
- 費用(概算)
- 税込 ¥880,000- (インビザライン コンプリヘンシブパッケージ)費用は治療当時の料金となります
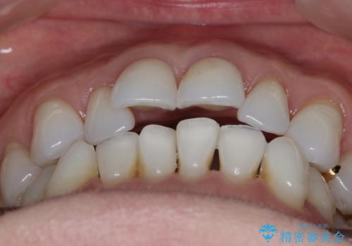
オープンバイト
噛み合わせや筋機能など様々な原因で前歯の噛み合わせが大きく開いている状態を開咬(オープンバイト)といいます。
原因の除去や歯牙の移動で噛み合わせの治療を行うことで改善できる場合があります。
マウスピース矯正の注意事項(リスク・副作用など)
- 口腔内・歯並びの状態によっては対応できない場合があります
- マウスピース型矯正装置の長時間装着(1日20時間以上)が必須です
- 治療計画通りに進めるためには、患者様の意志が重要になります
- 矯正治療後の保定が不十分だと後戻り(元の位置に戻ろうとする動き)をします
- 薬機法対象外の矯正歯科装置のため医薬品副作用被害救済制度の対象外となる場合があります
- 自費診療(保険適用外)となります
当サイトの内容、テキスト、画像等の無断転載、複製、複写、盗用を固く禁じます。





















