症例詳細
Case detail
【抜歯】ワイヤー装置で綺麗な歯並び!口元も劇的変化
治療症例の内容
- 診療科目
- 担当医
- 今村大二郎(ドクタープロフィール)
- 患者様
- 20代 女性
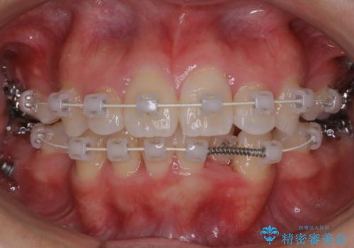
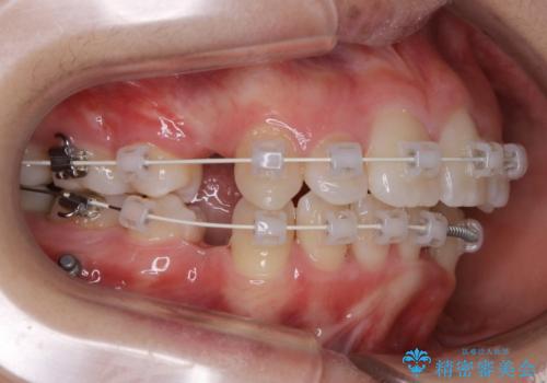
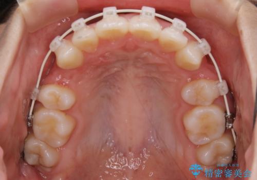
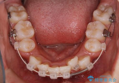
- 矯正装置
- ワイヤー(審美装置)
- 治療期間
- 2年3ヶ月
- 治療回数
- 10-30回
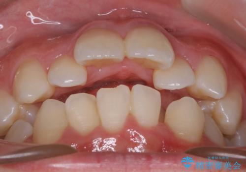
- 治療計画
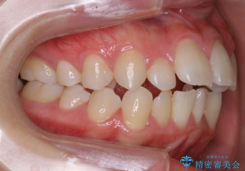
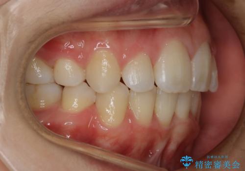
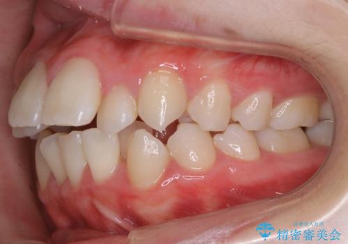
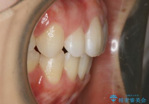
- 口元を下げるための矯正治療を希望してご来院されました。
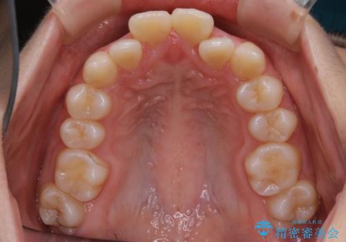
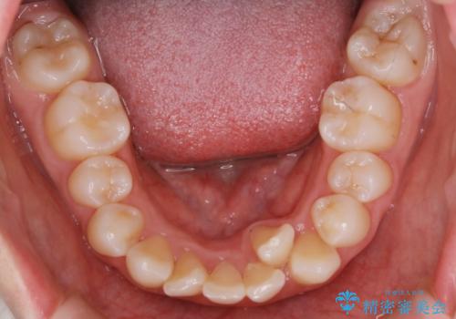
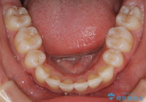
上顎・下顎ともに骨幅が小さくスペースが不足するため、歯の位置がガタついてしまったり前方に傾斜するという現象が起こっていました。
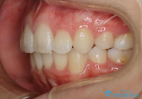
抜歯を行い歯の本数自体を減らしてあげることで、限られた顎骨スペースでもキレイな歯並びを獲得することができ、前に飛び出た前歯も後方に移動することができました。
- 費用(概算)
- 税込¥1,078,000‐費用は治療当時の料金となります
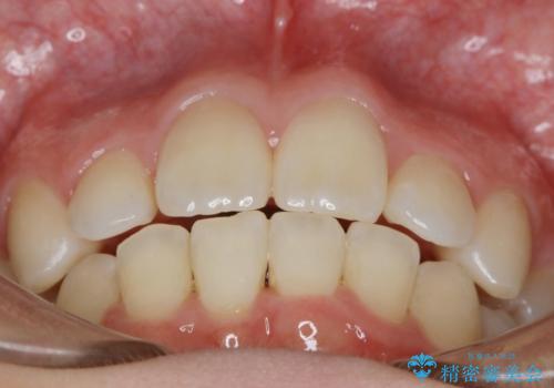
口元の変化
抜歯矯正を行い前歯を後方へ移動させることで、口元の出っ張り感がなくなり顔つきまで変化させることができる場合があります。
横顔や笑った時の印象も変わるため、自分はもとより、家族や友達からの印象もよくなります!
ワイヤー矯正の注意事項(リスク・副作用など)
- 治療中は違和感や痛みが起こることがあります
- 症状により、抜歯が必要な場合があります
- 治療中は歯磨きがしにくくなるため、虫歯や歯周病になりやすくなります
- 矯正治療後の保定が不十分だと後戻り(元の位置に戻ろうとする動き)をします
- 自費診療(保険適用外)となります
当サイトの内容、テキスト、画像等の無断転載、複製、複写、盗用を固く禁じます。





















