症例詳細
Case detail
歯を抜かないで出っ歯を治したい
治療症例の内容
- 担当医
- 井上季実子(ドクタープロフィール)
- 患者様
- 20代女性
- 矯正装置
- インビザライン
- 治療期間
- 11ヶ月
- 治療回数
- 10-30回
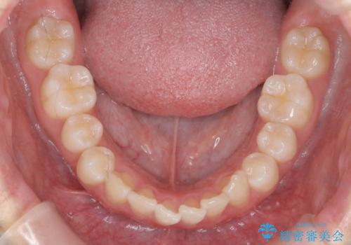
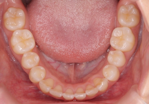
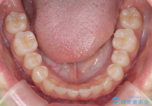
- 治療計画
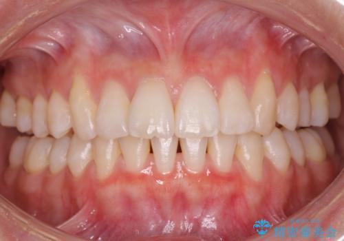
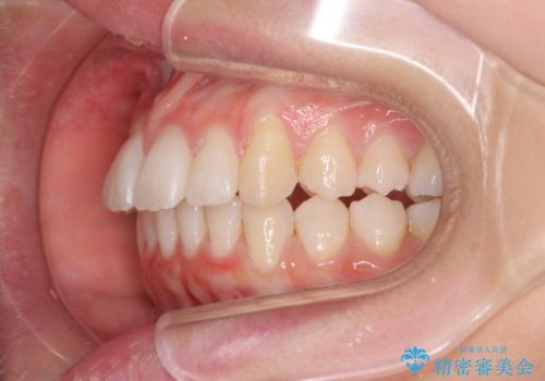
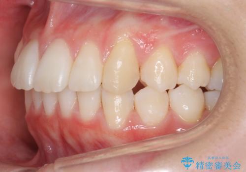
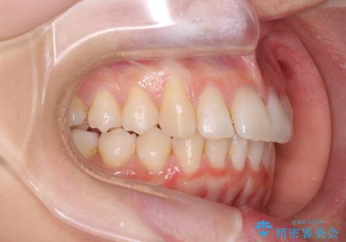
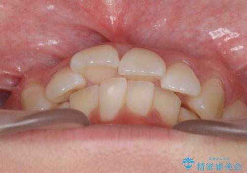
- 前歯が出ていることを主訴に来院。
歯を抜かずにマウスピース矯正をご希望でした。
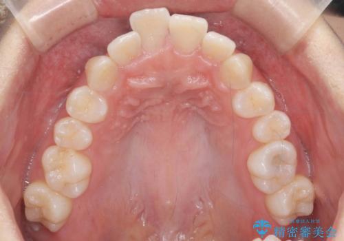
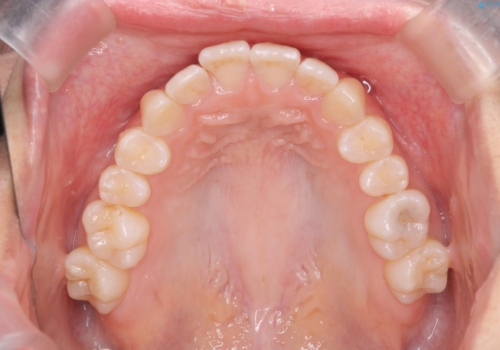
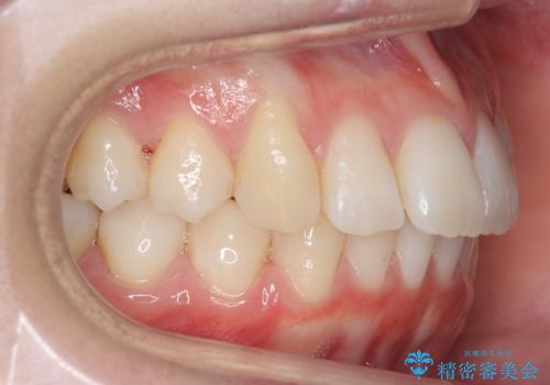
歯と歯の間をわずかに削り、歯並びを少し横に拡大して並べました。
奥にすき間がなかったため後ろには下げていません。
- 費用(概算)
- 93.5万円費用は治療当時の料金となります
治療について
沢山ひっこめるには4本抜歯でワイヤーの選択肢もありましたが、抜かないでできる範囲をご希望されました。
とがった形の歯列を整えるだけでもだいぶ印象は変わると思います。
今回歯列を広げた結果、上顎犬歯の歯肉は多少退縮しています。
マウスピース矯正の注意事項(リスク・副作用など)
- 口腔内・歯並びの状態によっては対応できない場合があります
- マウスピース型矯正装置の長時間装着(1日20時間以上)が必須です
- 治療計画通りに進めるためには、患者様の意志が重要になります
- 矯正治療後の保定が不十分だと後戻り(元の位置に戻ろうとする動き)をします
- 薬機法対象外の矯正歯科装置のため医薬品副作用被害救済制度の対象外となる場合があります
- 自費診療(保険適用外)となります
当サイトの内容、テキスト、画像等の無断転載、複製、複写、盗用を固く禁じます。




















