症例詳細
Case detail
非抜歯で劇的に出っ歯を改善!インビザラインとカリエールの組み合わせ治療
治療症例の内容
- 担当医
- 福本健生(ドクタープロフィール)
- 患者様
- 10代男性
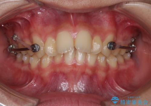
- 矯正装置
- インビザライン カリエール
- 治療期間
- 2年
- 治療回数
- 10-30回
- 治療計画
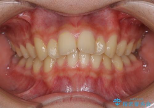
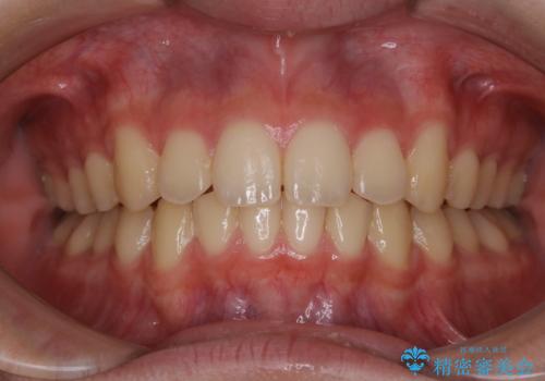
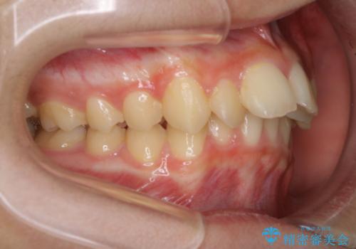
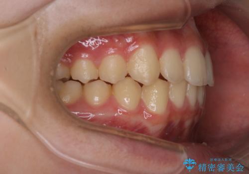
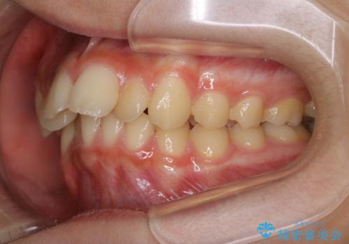
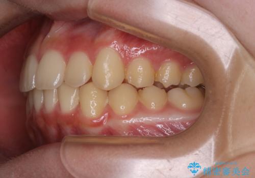
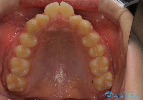
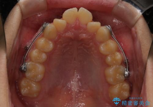
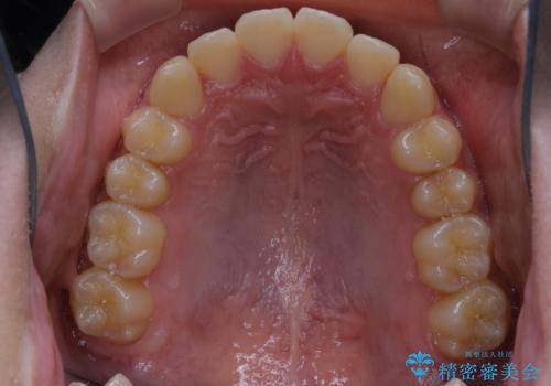
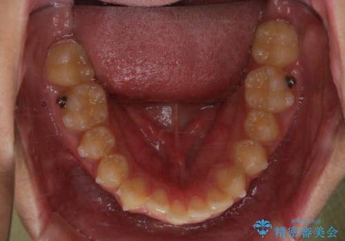
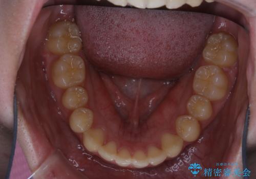
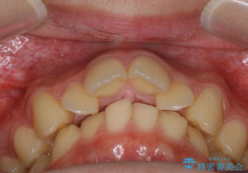
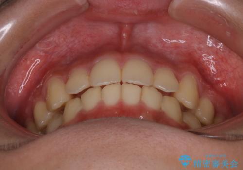
- 患者様、出っ歯のお悩みで来院されました。
骨格の分析を行ったところ上顎も出てはいるのですが、下顎が引っ込んでいる状態であるということがわかりました。
よって上顎の歯を抜いて治療をするのではなく、カリエールという器具を使用して下顎を前に引っ張り出しながら上顎を引っ込めるという治療を行うことにしました。
- 費用(概算)
- 99万円費用は治療当時の料金となります
治療について
ひと口に出っ歯(上顎前突)といっても原因は多様です。
骨格的な問題があるのか、歯だけの問題なのか、上顎が出ているのか、下顎が出ているのか。あるいはその両方か。
きちんと原因を見極めたうえで治療を開始しないと仕上がりは理想的になりません。
矯正検査を行い、しっかりと矯正診断を行った上で治療を開始することが大事です。
マウスピース矯正の注意事項(リスク・副作用など)
- 口腔内・歯並びの状態によっては対応できない場合があります
- マウスピース型矯正装置の長時間装着(1日20時間以上)が必須です
- 治療計画通りに進めるためには、患者様の意志が重要になります
- 矯正治療後の保定が不十分だと後戻り(元の位置に戻ろうとする動き)をします
- 薬機法対象外の矯正歯科装置のため医薬品副作用被害救済制度の対象外となる場合があります
- 自費診療(保険適用外)となります
当サイトの内容、テキスト、画像等の無断転載、複製、複写、盗用を固く禁じます。























