症例詳細
Case detail
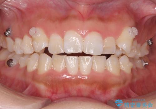
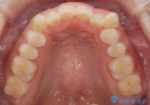
八重歯を非抜歯で マウスピースで治療 奥歯を後ろに下げてすき間を確保
治療症例の内容
- 診療科目
- 担当医
- 井上季実子(ドクタープロフィール)
- 患者様
- 20代女性
- 矯正装置
- インビザライン
- 治療期間
- 1年4ヶ月
- 治療回数
- 10-30回
- 治療計画
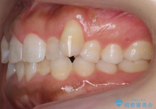
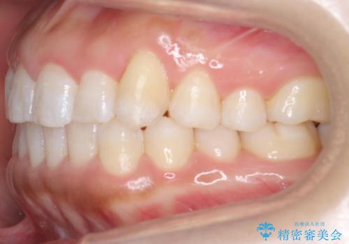
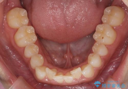
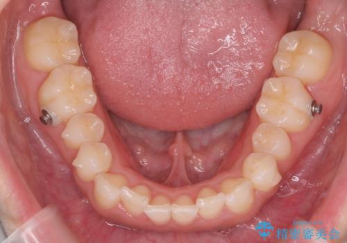
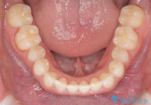
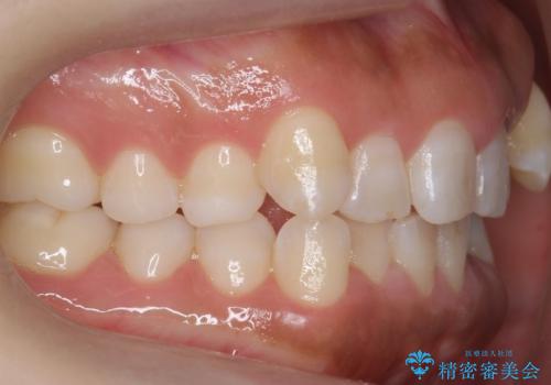
- 八重歯を主訴に来院。
仕事柄ワイヤーが見えるよりはマウスピースで目立たなく歯並びを良くしていきたいとのことでした。
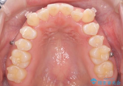
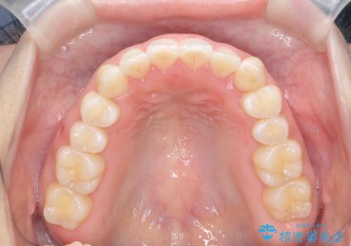
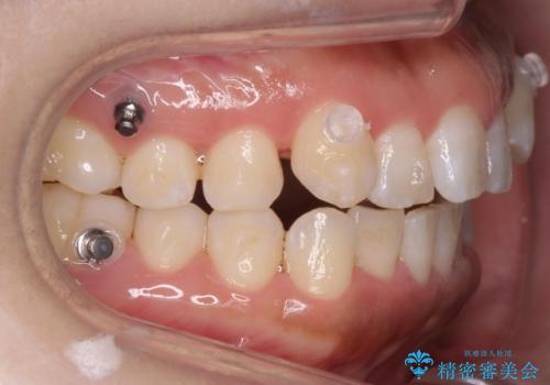
奥歯を後ろに下げてすき間を確保し、八重歯を引っ込めて並べる治療を行いました。
- 費用(概算)
- 104.5万円費用は治療当時の料金となります
治療について
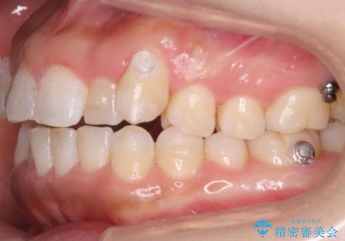
奥歯を後ろに下げるために、矯正用のミニスクリューを使用しています。
かなり真面目に使っていただいた印象で、綺麗に動きました。
装着時間や、チューイーの使用頻度を含む協力度もかなり治療の成否に関係があります。
マウスピース矯正の注意事項(リスク・副作用など)
- 口腔内・歯並びの状態によっては対応できない場合があります
- マウスピース型矯正装置の長時間装着(1日20時間以上)が必須です
- 治療計画通りに進めるためには、患者様の意志が重要になります
- 矯正治療後の保定が不十分だと後戻り(元の位置に戻ろうとする動き)をします
- 薬機法対象外の矯正歯科装置のため医薬品副作用被害救済制度の対象外となる場合があります
- 自費診療(保険適用外)となります
当サイトの内容、テキスト、画像等の無断転載、複製、複写、盗用を固く禁じます。





















