症例詳細
Case detail
[ インビザライン ] 目立たないマウスピース矯正で、前歯のがたつきをきれいにしたい
治療症例の内容
- 診療科目
- 治療カテゴリ
- 担当医
- 大元洋佑(ドクタープロフィール)
- 患者様
- 20代女性
- 矯正装置
- インビザライン
- 治療期間
- 7ヶ月
- 治療回数
- 5-10回
- 治療計画
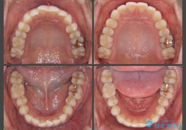
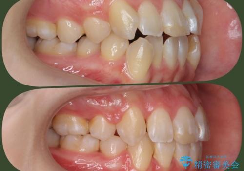
- 前歯のがたつきを「装置の目立つワイヤーではなく、マウスピースで治療したい。」と希望され来院されました。
 シミュレーションを作成した結果、26枚以下のリーズナブルなモデレートプランが適応であることがわかりました。
 軽度ながたつきの場合、費用を抑えたプランでマウスピース矯正治療を行うことができる場合がありますのでぜひご相談ください。
- 費用(概算)
- 60.5万円 (55万円+10%消費税) インビザライン26枚 モデレートプラン費用は治療当時の料金となります
治療について
費用を抑えられただけでなく、治療期間も約半年と短期間で治療を終了することができました。
マウスピース矯正の注意事項(リスク・副作用など)
- 口腔内・歯並びの状態によっては対応できない場合があります
- マウスピース型矯正装置の長時間装着(1日20時間以上)が必須です
- 治療計画通りに進めるためには、患者様の意志が重要になります
- 矯正治療後の保定が不十分だと後戻り(元の位置に戻ろうとする動き)をします
- 薬機法対象外の矯正歯科装置のため医薬品副作用被害救済制度の対象外となる場合があります
- 自費診療(保険適用外)となります
当サイトの内容、テキスト、画像等の無断転載、複製、複写、盗用を固く禁じます。








 
                       
                                                          ![[ インビザライン ]  目立たないマウスピース矯正で、前歯のがたつきをきれいにしたいの治療前](https://seimitsushinbi.jp/wp/wp-content/uploads/2024/04/IMG_3912-500x350.jpg?v=1711960039)
![[ インビザライン ]  目立たないマウスピース矯正で、前歯のがたつきをきれいにしたいの治療中](https://seimitsushinbi.jp/wp/wp-content/uploads/2024/04/cd64e6566cc0683feee2abf20f8241f9-1-500x350.jpg?v=1711960210)
![[ インビザライン ]  目立たないマウスピース矯正で、前歯のがたつきをきれいにしたいの治療後](https://seimitsushinbi.jp/wp/wp-content/uploads/2024/04/cd64e6566cc0683feee2abf20f8241f9-500x350.jpg?v=1711960118)
![[ インビザライン ]  目立たないマウスピース矯正で、前歯のがたつきをきれいにしたいの治療前](https://seimitsushinbi.jp/wp/wp-content/uploads/2024/04/IMG_3913-500x350.jpg?v=1711960040)
![[ インビザライン ]  目立たないマウスピース矯正で、前歯のがたつきをきれいにしたいの治療中](https://seimitsushinbi.jp/wp/wp-content/uploads/2024/04/c9ed206988751311e679c0e36714d83f-1-500x350.jpg?v=1711960208)
![[ インビザライン ]  目立たないマウスピース矯正で、前歯のがたつきをきれいにしたいの治療後](https://seimitsushinbi.jp/wp/wp-content/uploads/2024/04/c9ed206988751311e679c0e36714d83f-500x350.jpg?v=1711960116)
![[ インビザライン ]  目立たないマウスピース矯正で、前歯のがたつきをきれいにしたいの治療前](https://seimitsushinbi.jp/wp/wp-content/uploads/2024/04/IMG_3914-500x350.jpg?v=1711960042)
![[ インビザライン ]  目立たないマウスピース矯正で、前歯のがたつきをきれいにしたいの治療中](https://seimitsushinbi.jp/wp/wp-content/uploads/2024/04/286b45869d8895039e1bbeabcf333014-1-500x350.jpg?v=1711960212)
![[ インビザライン ]  目立たないマウスピース矯正で、前歯のがたつきをきれいにしたいの治療後](https://seimitsushinbi.jp/wp/wp-content/uploads/2024/04/286b45869d8895039e1bbeabcf333014-500x350.jpg?v=1711960120)
![[ インビザライン ]  目立たないマウスピース矯正で、前歯のがたつきをきれいにしたいの治療前](https://seimitsushinbi.jp/wp/wp-content/uploads/2024/04/IMG_3915-500x350.jpg?v=1711960044)
![[ インビザライン ]  目立たないマウスピース矯正で、前歯のがたつきをきれいにしたいの治療中](https://seimitsushinbi.jp/wp/wp-content/uploads/2024/04/aee3ae9605c22253b0f4412d22376277-1-500x350.jpg?v=1711960206)
![[ インビザライン ]  目立たないマウスピース矯正で、前歯のがたつきをきれいにしたいの治療後](https://seimitsushinbi.jp/wp/wp-content/uploads/2024/04/aee3ae9605c22253b0f4412d22376277-500x350.jpg?v=1711960115)
![[ インビザライン ]  目立たないマウスピース矯正で、前歯のがたつきをきれいにしたいの治療前](https://seimitsushinbi.jp/wp/wp-content/uploads/2024/04/IMG_3916-500x350.jpg?v=1711960045)
![[ インビザライン ]  目立たないマウスピース矯正で、前歯のがたつきをきれいにしたいの治療中](https://seimitsushinbi.jp/wp/wp-content/uploads/2024/04/1d890551214e59a5e6e20ace47df9637-1-500x350.jpg?v=1711960213)
![[ インビザライン ]  目立たないマウスピース矯正で、前歯のがたつきをきれいにしたいの治療後](https://seimitsushinbi.jp/wp/wp-content/uploads/2024/04/1d890551214e59a5e6e20ace47df9637-500x350.jpg?v=1711960121)
 
                   
                  ![[ 正中離開の改善 ] マウスピース矯正で行う前歯の審美改善](https://seimitsushinbi.jp/wp/wp-content/uploads/2022/12/IMG_5237-500x350.jpg?v=1670479797) 
                  