症例詳細
Case detail
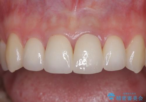
【オールセラミッククラウン】前歯の見た目が気になる!
治療症例の内容
- 診療科目
- 治療カテゴリ
- 担当医
- 河野豊嘉(ドクタープロフィール)
- 患者様
- 20代男性
- 治療期間
- 2ヶ月
- 治療回数
- 2-5回
- 治療計画
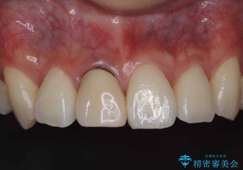
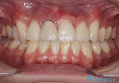
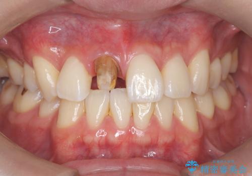
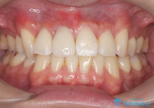
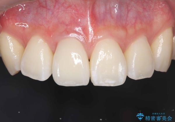
- 前歯の見た目が気になるを主訴に来院された患者様です。
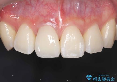
根管の充填物も不十分だったため根管治療からやり直しオールセラミッククラウンで治療を行いました。
- 費用(概算)
- 297,000円(精密根管治療11万円+ファイバーコア2万2千円+仮歯1万1千円+オールセラミッククラウンスペシャル15万4千円)費用は治療当時の料金となります
治療について
根管の中が空洞のままで被せ物と歯のきわも合っておらず適合が悪い状態でした。根尖部付近にはパーフォレーションリペア修復の痕がありました。バイオシーシーラーを使用しシングルポイント法で充填しました。空洞があると細菌が増える環境になってしまうので、根管治療からやり直し、緊密に充填しました。被せ物の見た目も大変満足していただけました。
セラミック治療の注意事項(リスク・副作用など)
- 天然歯を削ります
- 硬い素材は天然歯を傷つけてしまう場合があります
- かみ合わせや歯ぎしりが強すぎる方はセラミックが割れてしまう可能性があります
- 自費診療(保険適用外治療)となります
当サイトの内容、テキスト、画像等の無断転載、複製、複写、盗用を固く禁じます。












